Консультация стоматолога. Стаж, знания, подход — в 3 раза выше, чем в обычных клиниках
Обычная стоматология
Формат консультации
План лечения
Страна квалификации
Опыт врачей
Прозрачность стоимости

УлыбкаPROцифровая стоматология
Формат консультациии
План лечения
Страна квалификации
Опыт врачей
Прозрачность стоимости

Хорошее место:
Честный рейтинг 5 из 5 на основе 1000+ отзывов
Отзывы и рейтинги
Отзывы
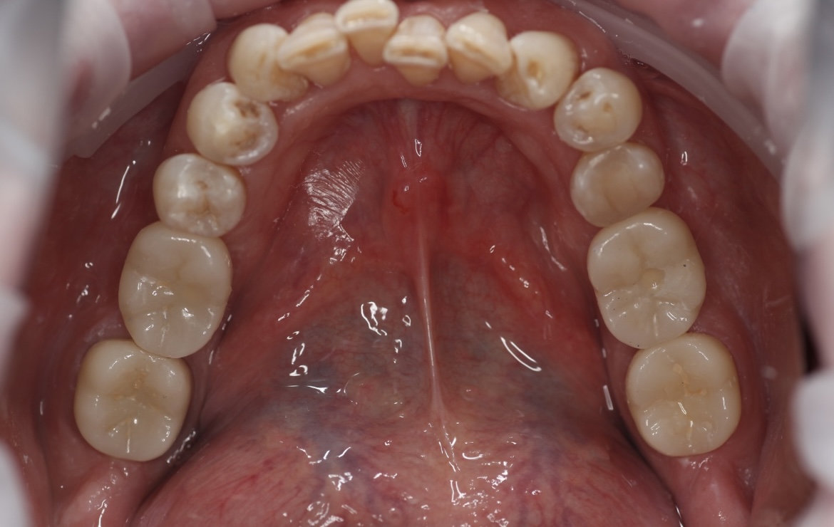
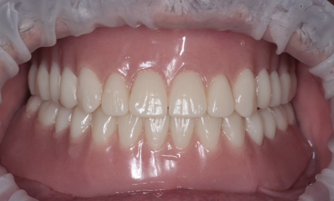
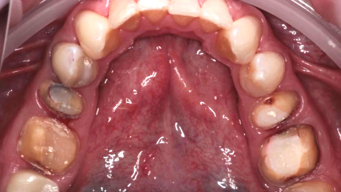
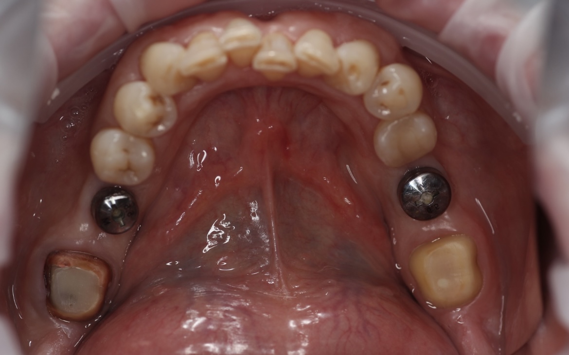
Кто такой стоматолог-ортопед и чем он занимается
Достигаем цен, ниже на 20% чем у конкурентов!
- собственная зуботехническая лаборатория;
- работаем без посредников и накруток — закупаем материалы напрямую у производителей;
- не переплачиваем за аренду — все наши кабинеты работают с максимальной загрузкой;
- врачи заинтересованы в результате — мы не гонимся за количеством, а строим долгосрочные отношения с пациентами.
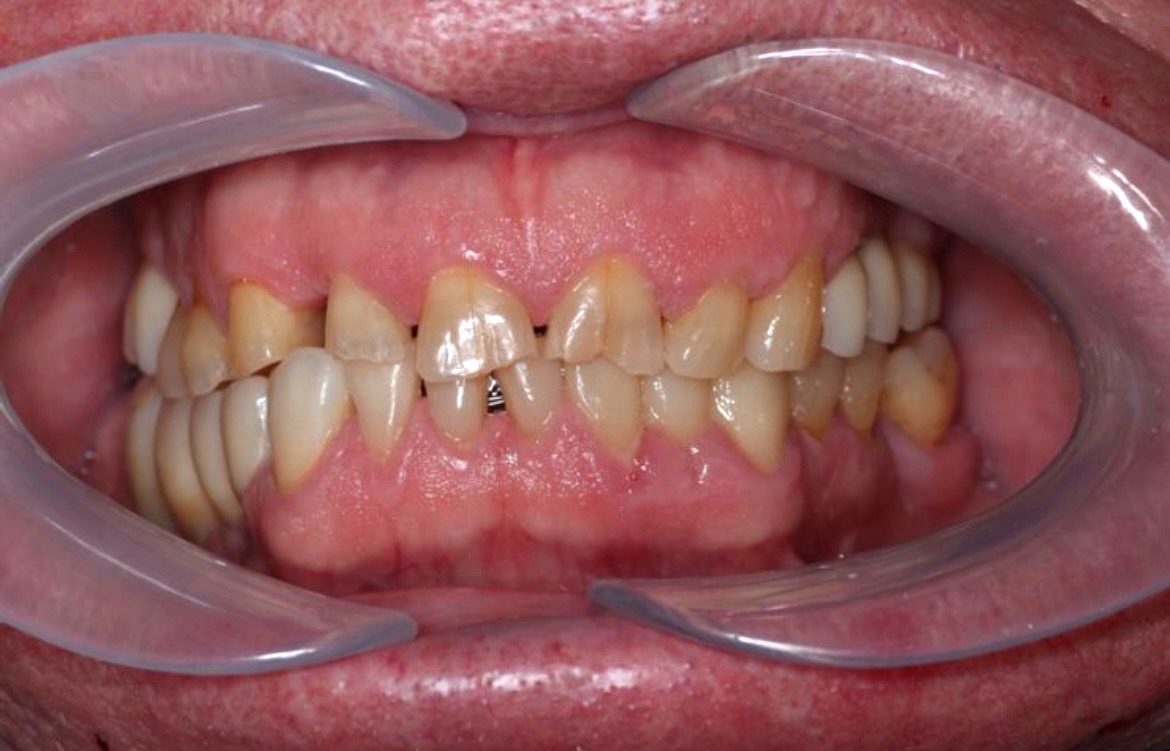
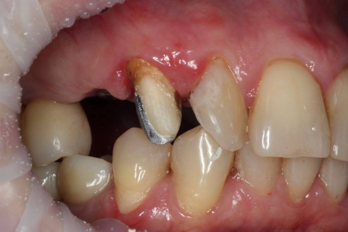
Когда необходима консультация стоматолога-ортопеда
Симптомы и проблемы, требующие обращения к ортопеду
Стоимость
Консультация
Вернём до 13% от стоимости лечения
Лечение может не только улучшить здоровье, но и вернуть часть потраченных средств!
Наша клиника имеет лицензию, которая позволяет получить налоговый вычет 13% на имплантацию, протезирование и другие виды лечения.
- Заключаем официальный договор;
- Готовим весь пакет документов;
- Предоставляем все чеки для налоговой.
Или свяжитесь с нами по телефону +7 (495) 032-10-17 ежедневно с 9:00 до 21:00.
Как проходит прием стоматолога-ортопеда
Подготовка к приему: что нужно знать
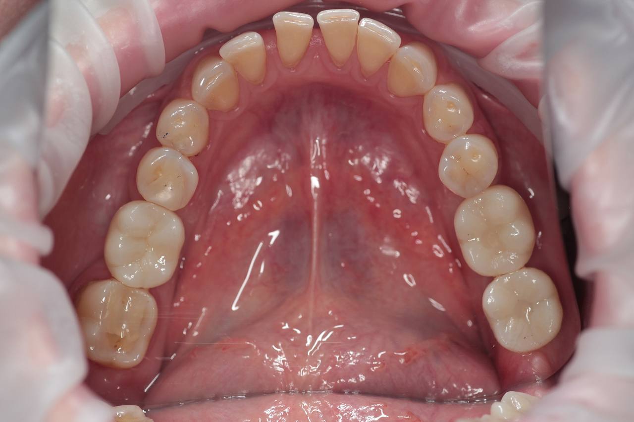
Этапы консультации и диагностики
- Сбор анамнеза и жалоб пациента.
- Визуальный осмотр и диагностика (рентген, 3D-сканирование).
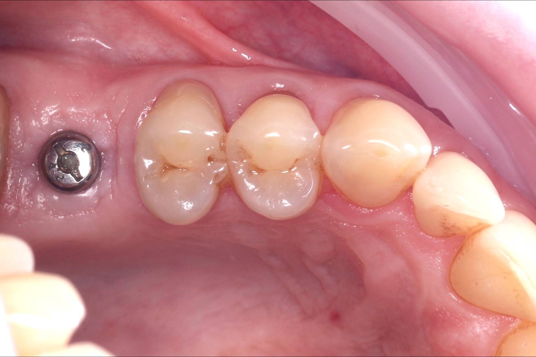
- Разработка плана лечения и подбор ортопедических конструкций.
Рекомендации после приема
Наши преимущества
Наши преимущества консультации у стоматолога-ортопеда
Сложно разобраться в плане лечения? Мы всё объясним по-человечески. Менеджер клиники «УлыбкаPRO»:
- ● расскажет, за что именно вы платите, и нет ли скрытых услуг;
- ● объяснит, почему в плане лечения именно такие позиции, зачем они нужны и можно ли что-то отложить;
- ● поможет сократить расходы, разделить оплату и подобрать удобный формат лечения;
- ● ответит на любые вопросы — без медицинского жаргона.







