Размер шрифта
Цвет фона и шрифта
Изображения
Озвучивание текста
Обычная версия сайта
Стоматология «УлыбкаPRO»
УлыбкаPRO
Цифровая стоматология
+7 (495) 032-10-17
+7 (495) 032-10-17
E-mail
info@ulybka.pro
Адрес
УлыбкаPRO: г. Москва, 3-й Автозаводский проезд, 4
УлыбкаPRO'fi: г. Москва, ул. Автозаводская, 7
Режим работы
пн-вс 9:00-21:00
Мы в соцсетях
Онлайн оплата Онлайн запись
Запись онлайн
Услуги
  • Протезирование зубов
    • Протезы на имплантатах
    • Виниры
    • Керамические накладки
    • Коронки
    • Мостовидные протезы
    • Съемные протезы
    • Накладки на зубы
    • Сплинт-терапия
  • Имплантация зубов
    • Имплантаты Dentium
    • Имплантаты Straumann (швейцарские)
    • Система имплантатов Osstem implant
    • Одномоментная имплантация
    • Имплантация по шаблону
    • Зубы за 1 день
    • Имплантация одного зуба
    • Имплантация двух зубов
    • Имплантация передних зубов
    • Имплантаты Astra Tech
    • Имплантаты Anyone (Корея)
    • Имплантаты NeoBiotech (Корея)
    • Имплантаты AlfaBio (Израиль)
    • Имплантаты Nobel Biocare
    • Имплантаты Ankylos (Германия)
    • Имплантаты MIS (Израиль)
    • Имплантаты SGS (Швейцария)
    • Имплантаты XIVE (Германия)
    • Имплантация Inno
    • Скуловая имплантация
  • Консультация врача-стоматолога
    • По направлениям
    • Онлайн консультация стоматолога
    • Первичная консультация
  • Профессиональная гигиена и отбеливание
    • Отбеливание зубов
    • Профессиональная гигиена (чистка зубов)
  • Эстетическая стоматология
    • Винир композитный терапевтический
    • Восстановление зубов вкладками
    • Голливудская улыбка
    • Реставрация зубов
  • Ортодонтия
    • Исправление прикуса
    • Лечение на брекет-системе
    • Лечение на элайнерах
    • Ретенционные каппы
  • Терапевтическая стоматология
    • Лечение зубов
    • Лечение каналов (эндодонтия)
    • Лечение зубов под микроскопом
    • Лечение клиновидного дефекта
    • Эндодонтическое лечение зубов
  • Пародонтология
    • Кюретаж пародонтальных карманов
    • Закрытие рецессии десны
    • Лечение пародонтита
    • Увеличение объема мягких тканей
  • Лечение зубов в кредит
    • Виниры в кредит
    • Коронки в кредит
    • Протезирование зубов в кредит
  • Хирургическая стоматология
    • Зубосохраняющие операции
    • Костнопластические операции
    • Удаление зубов
  • Диагностика
    • Рентгенологическое исследование
    • Цифровое сканирование зубов
  • Лечение зубов у молодого специалиста
  • Детская стоматология
    • Гигиена и профилактика для детей
    • Детская стоматологическая хирургия
    • Лечение болезней зубов и десен
    • Ортодонтия (исправление прикуса)
  • Лечение зубов в рассрочку
    • Имплантация зубов в рассрочку
    • Протезирование зубов в рассрочку
    • Имплантация All-on-4 в рассрочку
    • Брекеты в рассрочку
    • Рассрочка на виниры
    • Лечение зубов детям в рассрочку
    • Коронки в рассрочку
    • Элайнеры в рассрочку
О клинике
  • О нас
  • Блог
  • Лицензии
  • Гарантии
  • Партнеры и поставщики
  • Отзывы
  • Реквизиты
  • ДМС
  • Налоговый вычет
  • Корпоративная программа
  • Новости
  • Вакансии
Команда
Акции
Цены
Наши работы
Контакты
Видео
Детская стоматология
Мы в соцсетях
Стоматология «УлыбкаPRO»
УлыбкаPRO
Цифровая стоматология
  • Пациенту
  • Карта сайта
  • 👨‍⚕️ Курсы для стоматологов
  • ...
    +7 (495) 032-10-17
    +7 (495) 032-10-17
    E-mail
    info@ulybka.pro
    Адрес
    УлыбкаPRO: г. Москва, 3-й Автозаводский проезд, 4
    УлыбкаPRO'fi: г. Москва, ул. Автозаводская, 7
    Режим работы
    пн-вс 9:00-21:00
    Мы в соцсетях
    Онлайн оплата Онлайн запись
    Услуги
    • Протезирование зубов
      • Протезы на имплантатах      
        • All-on-4 имплантация (полный на 4 имплантах)
        • Имплантация All-on-6
      • Виниры      
        • Виниры e.max
        • Керамические виниры на зубы
        • Циркониевые виниры
      • Керамические накладки
      • Коронки      
        • Временные зубные коронки
        • Циркониевые коронки на зубы
      • Мостовидные протезы
      • Съемные протезы      
        • Акриловый протез
        • Бюгельный протез
      • Накладки на зубы
      • Сплинт-терапия
      • Еще
    • Имплантация зубов
      • Имплантаты Dentium
      • Имплантаты Straumann (швейцарские)
      • Система имплантатов Osstem implant
      • Одномоментная имплантация
      • Имплантация по шаблону
      • Зубы за 1 день
      • Имплантация одного зуба
      • Имплантация двух зубов
      • Имплантация передних зубов
      • Имплантаты Astra Tech
      • Имплантаты Anyone (Корея)
      • Имплантаты NeoBiotech (Корея)
      • Имплантаты AlfaBio (Израиль)
      • Имплантаты Nobel Biocare
      • Имплантаты Ankylos (Германия)
      • Имплантаты MIS (Израиль)
      • Имплантаты SGS (Швейцария)
      • Имплантаты XIVE (Германия)
      • Имплантация Inno
      • Скуловая имплантация
      • Еще
    • Консультация врача-стоматолога
      • По направлениям      
        • Консультация гигиениста
        • Консультация детского ортодонта
        • Консультация имплантолога
        • Консультация ортодонта
        • Консультация стоматолога-ортопеда
        • Консультация стоматолога-терапевта
        • Консультация стоматолога-хирурга
      • Онлайн консультация стоматолога
      • Первичная консультация
    • Профессиональная гигиена и отбеливание
      • Отбеливание зубов      
        • Домашнее отбеливание
        • Отбеливание зубов системой WhiteSpeed Zoom 4
      • Профессиональная гигиена (чистка зубов)      
        • Air Flow
        • Механическая чистка зубов
        • Полировка пастами
        • Ультразвуковая чистка зубов
        • Чистка зубов на аппарате Prophylaxis Master
        • Чистка и удаление зубного камня
    • Эстетическая стоматология
      • Винир композитный терапевтический
      • Восстановление зубов вкладками
      • Голливудская улыбка
      • Реставрация зубов
    • Ортодонтия
      • Исправление прикуса      
        • Исправление глубокого прикуса
        • Исправление дистального прикуса
        • Исправление мезиального прикус
        • Исправление открытого прикуса
        • Исправление перекрестного прикуса
      • Лечение на брекет-системе      
        • Лигатурные брекеты
        • Самолигирующие брекеты
      • Лечение на элайнерах      
        • Элайнеры 3D Smile
        • Элайнеры Flexilinger
        • Элайнеры Invisalign (Инвизилайн)
        • Элайнеры Spark
        • Элайнеры Star Smile (СтарСмайл)
        • Элайнеры Ulybainers
      • Ретенционные каппы
    • Терапевтическая стоматология
      • Лечение зубов      
        • Герметизация фиссур зубов
        • Лечение кариеса
        • Лечение некариозных дефектов
      • Лечение каналов (эндодонтия)      
        • Лечение кисты зуба
        • Лечение периодонтита
        • Лечение пульпита зуба
        • Пломбирование каналов зуба
        • Удаление зубного нерва
        • Чистка каналов зуба
      • Лечение зубов под микроскопом
      • Лечение клиновидного дефекта
      • Эндодонтическое лечение зубов
    • Пародонтология
      • Кюретаж пародонтальных карманов      
        • Закрытый кюретаж
        • Лазерный кюретаж
        • Лоскутная операция
        • Открытый кюретаж
      • Закрытие рецессии десны
      • Лечение пародонтита
      • Увеличение объема мягких тканей
    • Лечение зубов в кредит
      • Виниры в кредит
      • Коронки в кредит
      • Протезирование зубов в кредит
    • Хирургическая стоматология
      • Зубосохраняющие операции      
        • Аутотрансплантация зубов
        • Резекция верхушки корня зуба
      • Костнопластические операции      
        • Наращивание костной ткани
        • Синус-лифтинг
      • Удаление зубов      
        • Удаление зуба мудрости
    • Диагностика
      • Рентгенологическое исследование
      • Цифровое сканирование зубов
    • Лечение зубов у молодого специалиста
    • Детская стоматология
      • Гигиена и профилактика для детей      
        • Герметизация фиссур у детей
        • Диагностика состояния зубов у детей
        • Профессиональная гигиена зубов у детей по протоколу GBT
        • Профилактические осмотры ребенка у стоматолога
        • Фторирование зубов и ремотерапия
      • Детская стоматологическая хирургия      
        • Пластика уздечек с использованием лазерных технологий
        • Пластика уздечки губы ребенку
        • Пластика уздечки языка у ребенка
        • Удаление зубов мудрости у подростков
        • Удаление молочных зубов у детей
      • Лечение болезней зубов и десен      
        • Лечение гингивита у детей
        • Лечение зубов детям под микроскопом
        • Лечение кариеса молочных зубов
        • Лечение некариозных поражений и флюороза у детей
        • Лечение периодонтита у детей
        • Лечение постоянных зубов у детей, подростков
        • Лечение пульпита у детей
        • Реставрация молочных зубов и коронки на молочные зубы
      • Ортодонтия (исправление прикуса)      
        • Брекеты для детей и подростков
        • Исправление прикуса у детей
        • Капы для выравнивания зубов у подростков
        • Мини-винты и пластины при брекет-лечении
        • Ортодонтические аппараты для детей
    • Лечение зубов в рассрочку
      • Имплантация зубов в рассрочку
      • Протезирование зубов в рассрочку
      • Имплантация All-on-4 в рассрочку
      • Брекеты в рассрочку
      • Рассрочка на виниры
      • Лечение зубов детям в рассрочку
      • Коронки в рассрочку
      • Элайнеры в рассрочку
      • Еще
    О клинике
    • О нас
    • Блог
    • Лицензии
    • Гарантии
    • Партнеры и поставщики
    • Отзывы
    • Реквизиты
    • ДМС
    • Налоговый вычет
    • Корпоративная программа
    • Новости
    • Вакансии
    Команда
    Акции
    Цены
    Наши работы
    Контакты
    Видео
    Детская стоматология
      "/>
      Запись онлайн
      Стоматология «УлыбкаPRO»
      +7 (495) 032-10-17
      Стоматология «УлыбкаPRO»
      • Услуги
        • Услуги
        • Протезирование зубов
          • Протезирование зубов
          • Протезы на имплантатах
            • Протезы на имплантатах
            • All-on-4 имплантация (полный на 4 имплантах)
            • Имплантация All-on-6
          • Виниры
            • Виниры
            • Виниры e.max
            • Керамические виниры на зубы
            • Циркониевые виниры
          • Керамические накладки
          • Коронки
            • Коронки
            • Временные зубные коронки
            • Циркониевые коронки на зубы
          • Мостовидные протезы
          • Съемные протезы
            • Съемные протезы
            • Акриловый протез
            • Бюгельный протез
          • Накладки на зубы
          • Сплинт-терапия
        • Имплантация зубов
          • Имплантация зубов
          • Имплантаты Dentium
          • Имплантаты Straumann (швейцарские)
          • Система имплантатов Osstem implant
          • Одномоментная имплантация
          • Имплантация по шаблону
          • Зубы за 1 день
          • Имплантация одного зуба
          • Имплантация двух зубов
          • Имплантация передних зубов
          • Имплантаты Astra Tech
          • Имплантаты Anyone (Корея)
          • Имплантаты NeoBiotech (Корея)
          • Имплантаты AlfaBio (Израиль)
          • Имплантаты Nobel Biocare
          • Имплантаты Ankylos (Германия)
          • Имплантаты MIS (Израиль)
          • Имплантаты SGS (Швейцария)
          • Имплантаты XIVE (Германия)
          • Имплантация Inno
          • Скуловая имплантация
        • Консультация врача-стоматолога
          • Консультация врача-стоматолога
          • По направлениям
            • По направлениям
            • Консультация гигиениста
            • Консультация детского ортодонта
            • Консультация имплантолога
            • Консультация ортодонта
            • Консультация стоматолога-ортопеда
            • Консультация стоматолога-терапевта
            • Консультация стоматолога-хирурга
          • Онлайн консультация стоматолога
          • Первичная консультация
        • Профессиональная гигиена и отбеливание
          • Профессиональная гигиена и отбеливание
          • Отбеливание зубов
            • Отбеливание зубов
            • Домашнее отбеливание
            • Отбеливание зубов системой WhiteSpeed Zoom 4
          • Профессиональная гигиена (чистка зубов)
            • Профессиональная гигиена (чистка зубов)
            • Air Flow
            • Механическая чистка зубов
            • Полировка пастами
            • Ультразвуковая чистка зубов
            • Чистка зубов на аппарате Prophylaxis Master
            • Чистка и удаление зубного камня
        • Эстетическая стоматология
          • Эстетическая стоматология
          • Винир композитный терапевтический
          • Восстановление зубов вкладками
          • Голливудская улыбка
          • Реставрация зубов
        • Ортодонтия
          • Ортодонтия
          • Исправление прикуса
            • Исправление прикуса
            • Исправление глубокого прикуса
            • Исправление дистального прикуса
            • Исправление мезиального прикус
            • Исправление открытого прикуса
            • Исправление перекрестного прикуса
          • Лечение на брекет-системе
            • Лечение на брекет-системе
            • Лигатурные брекеты
            • Самолигирующие брекеты
          • Лечение на элайнерах
            • Лечение на элайнерах
            • Элайнеры 3D Smile
            • Элайнеры Flexilinger
            • Элайнеры Invisalign (Инвизилайн)
            • Элайнеры Spark
            • Элайнеры Star Smile (СтарСмайл)
            • Элайнеры Ulybainers
          • Ретенционные каппы
        • Терапевтическая стоматология
          • Терапевтическая стоматология
          • Лечение зубов
            • Лечение зубов
            • Герметизация фиссур зубов
            • Лечение кариеса
            • Лечение некариозных дефектов
          • Лечение каналов (эндодонтия)
            • Лечение каналов (эндодонтия)
            • Лечение кисты зуба
            • Лечение периодонтита
            • Лечение пульпита зуба
            • Пломбирование каналов зуба
            • Удаление зубного нерва
            • Чистка каналов зуба
          • Лечение зубов под микроскопом
          • Лечение клиновидного дефекта
          • Эндодонтическое лечение зубов
        • Пародонтология
          • Пародонтология
          • Кюретаж пародонтальных карманов
            • Кюретаж пародонтальных карманов
            • Закрытый кюретаж
            • Лазерный кюретаж
            • Лоскутная операция
            • Открытый кюретаж
          • Закрытие рецессии десны
          • Лечение пародонтита
          • Увеличение объема мягких тканей
        • Лечение зубов в кредит
          • Лечение зубов в кредит
          • Виниры в кредит
          • Коронки в кредит
          • Протезирование зубов в кредит
        • Хирургическая стоматология
          • Хирургическая стоматология
          • Зубосохраняющие операции
            • Зубосохраняющие операции
            • Аутотрансплантация зубов
            • Резекция верхушки корня зуба
          • Костнопластические операции
            • Костнопластические операции
            • Наращивание костной ткани
            • Синус-лифтинг
          • Удаление зубов
            • Удаление зубов
            • Удаление зуба мудрости
        • Диагностика
          • Диагностика
          • Рентгенологическое исследование
          • Цифровое сканирование зубов
        • Лечение зубов у молодого специалиста
        • Детская стоматология
          • Детская стоматология
          • Гигиена и профилактика для детей
            • Гигиена и профилактика для детей
            • Герметизация фиссур у детей
            • Диагностика состояния зубов у детей
            • Профессиональная гигиена зубов у детей по протоколу GBT
            • Профилактические осмотры ребенка у стоматолога
            • Фторирование зубов и ремотерапия
          • Детская стоматологическая хирургия
            • Детская стоматологическая хирургия
            • Пластика уздечек с использованием лазерных технологий
            • Пластика уздечки губы ребенку
            • Пластика уздечки языка у ребенка
            • Удаление зубов мудрости у подростков
            • Удаление молочных зубов у детей
          • Лечение болезней зубов и десен
            • Лечение болезней зубов и десен
            • Лечение гингивита у детей
            • Лечение зубов детям под микроскопом
            • Лечение кариеса молочных зубов
            • Лечение некариозных поражений и флюороза у детей
            • Лечение периодонтита у детей
            • Лечение постоянных зубов у детей, подростков
            • Лечение пульпита у детей
            • Реставрация молочных зубов и коронки на молочные зубы
          • Ортодонтия (исправление прикуса)
            • Ортодонтия (исправление прикуса)
            • Брекеты для детей и подростков
            • Исправление прикуса у детей
            • Капы для выравнивания зубов у подростков
            • Мини-винты и пластины при брекет-лечении
            • Ортодонтические аппараты для детей
        • Лечение зубов в рассрочку
          • Лечение зубов в рассрочку
          • Имплантация зубов в рассрочку
          • Протезирование зубов в рассрочку
          • Имплантация All-on-4 в рассрочку
          • Брекеты в рассрочку
          • Рассрочка на виниры
          • Лечение зубов детям в рассрочку
          • Коронки в рассрочку
          • Элайнеры в рассрочку
      • О клинике
        • О клинике
        • О нас
        • Блог
        • Лицензии
        • Гарантии
        • Партнеры и поставщики
        • Отзывы
        • Реквизиты
        • ДМС
        • Налоговый вычет
        • Корпоративная программа
        • Новости
        • Вакансии
      • Команда
      • Акции
      • Цены
      • Наши работы
      • Контакты
      • Видео
      • Детская стоматология
      Запись онлайн
      • 0 Корзина
      • +7 (495) 032-10-17
        • Телефоны
        • +7 (495) 032-10-17
        • Заказать звонок
      • УлыбкаPRO: г. Москва, 3-й Автозаводский проезд, 4
        УлыбкаPRO'fi: г. Москва, ул. Автозаводская, 7
      • info@ulybka.pro
      • пн-вс 9:00-21:00
      Онлайн оплата Онлайн запись

      Лечение кариеса

      Главная
      —
      Наши работы
      —Лечение кариеса


      Начать просмотр
      #Врач #Виниры
      Что-то замечталась
      2858 просмотров •
      1 месяц назад
      Начать просмотр
      #Врач #Юмор
      Ну было же?
      3383 просмотров •
      1 месяц назад
      Начать просмотр
      #ЛюбимыйСтоматолог
      Вернуться никуда не поздно ❤️
      1778 просмотров •
      2 месяца назад
      Начать просмотр
      #Микроскоп #ЧтоВидитСтоматолог
      Как найти внутренний покой?
      2508 просмотров •
      2 месяца назад
      Начать просмотр
      #ДеньРожденье #НатальяАлексеевна
      Самый лучший день. Поздравление врача
      3311 просмотров •
      2 месяца назад
      Начать просмотр
      #ВрачТерапевт #КурсоковаТатьяна
      Наш врач Терапевт - Курсакова Татьяна Николаевна
      2016 просмотров •
      2 месяца назад
      Начать просмотр
      #ПодарочныйСертификат
      Создай свой дизайн
      2003 просмотров •
      2 месяца назад
      Начать просмотр
      #Лечение зубов #Микроскоп
      Лечение с микроскопом
      3438 просмотров •
      2 месяца назад
      Начать просмотр
      #Имплантация #Акция
      Акция на имплантацию
      2957 просмотров •
      9 месяцев назад
      Начать просмотр
      #Кабинет стоматолога #За кадром
      А вы смотрите камеры?
      2941 просмотров •
      2 месяца назад
      Начать просмотр
      #Скол зуба #Лечение
      Не делайте так
      1366 просмотров •
      3 месяца назад
      Начать просмотр
      #Здоровые зубы #УлыбкаPRO
      Сильные зубы — сильный дух!
      2099 просмотров •
      2 месяца назад
      Начать просмотр
      #Комфортное лечение #Фильмы
      А что смотрите вы?
      2338 просмотров •
      2 месяца назад
      Начать просмотр
      #Зубы #Лечение
      Кто тут высверливает зубы?
      3114 просмотров •
      2 месяца назад
      Начать просмотр
      #Выходные #Стоматология
      А как проходят ваши выходные
      1454 просмотров •
      2 месяца назад
      Начать просмотр
      #врачи #Юмор
      Когда нанял болтливого ассистента
      2361 просмотров •
      2 месяца назад
      Начать просмотр
      #врачи
      Наш замечательный врач Марина Алексеевна
      2384 просмотров •
      2 месяца назад
      Начать просмотр
      #врачи
      Наш врач Оразова Лейли
      2992 просмотров •
      2 месяца назад
      Начать просмотр
      #врачи #Инфо
      Теперь еще проще!
      3504 просмотров •
      2 месяца назад
      Начать просмотр
      #врачи
      Видеоприветствие Инны Владимировны
      2373 просмотров •
      3 месяца назад
      Начать просмотр
      #врачи
      Видеоприветствие Марины
      1229 просмотров •
      3 месяца назад
      Начать просмотр
      #врачи
      Виды ортодонтических Апаратов !
      2393 просмотров •
      3 месяца назад
      Начать просмотр
      #врачи
      Видеоприветствие Аниты
      3473 просмотров •
      3 месяца назад
      Начать просмотр
      #врачи
      Наш врач-хирург Антон Александрович
      3473 просмотров •
      4 месяца назад
      Начать просмотр
      #врачи
      Видеоприветствие Вадима Ивановича
      2573 просмотров •
      4 месяца назад
      Начать просмотр
      #врачи #Инфо
      Коронка на мёртвый зуб ?!
      2115 просмотров •
      4 месяца назад
      Начать просмотр
      #врачи #полезное
      Как сэкономить в стоматологии?
      1679 просмотров •
      4 месяца назад
      Начать просмотр
      #врачи #Инфо
      Почему не действует анестезия?
      3462 просмотров •
      5 месяцев назад
      Начать просмотр
      #врачи
      Приветствие Хамидовой Марины
      1339 просмотров •
      5 месяцев назад
      Начать просмотр
      #врачи
      Благушина Наталия Алексеевна
      1005 просмотров •
      5 месяцев назад
      Начать просмотр
      #врачи
      Анита Георгиевна
      873 просмотров •
      6 месяцев назад
      Начать просмотр
      #врачи
      Кинзебулатова Анастасия Денисовна
      1229 просмотров •
      6 месяцев назад
      Начать просмотр
      #врачи
      Рудометова Марина Алексеевна
      2348 просмотров •
      6 месяцев назад
      Начать просмотр
      #врачи
      Зятева Инна Владимировна
      1549 просмотров •
      7 месяцев назад
      Начать просмотр
      #врачи #Юмор
      Много ли мы зарабатываем?
      1763 просмотров •
      7 месяцев назад
      Начать просмотр
      #ЗубныеЩетки #ДетскиеЗубныеЩетки
      Друзья, у нас отличная новость!
      6521 просмотров •
      7 месяцев назад
      Начать просмотр
      #Отзыв #ЛечениеЗубов
      Наши пациенты - наша гордость!
      6663 просмотров •
      8 месяцев назад
      Начать просмотр
      #СтоматологияБудущего #AI
      Искусственный интеллект в стоматологии
      4859 просмотров •
      8 месяцев назад
      Начать просмотр
      #ЗдоровьеЗубов #КрасиваяУлыбка
      В любую погоду!
      3860 просмотров •
      8 месяцев назад
      Начать просмотр
      #Брекеты #Инфо
      Замена дуг при лечении на брекетах
      4747 просмотров •
      9 месяцев назад
      Начать просмотр
      #врачи #Кейс #работы
      Кейс врача-ортопеда УлыбкаPRO Вадима Ивановича
      809 просмотров •
      10 месяцев назад
      Начать просмотр
      #врачи #Кейс
      Кейс протезирования зубов
      4751 просмотров •
      10 месяцев назад
      Начать просмотр
      #врачи
      Клинический случай
      4771 просмотров •
      10 месяцев назад
      Начать просмотр
      #врачи #Полезное
      Анита Георгиевна о личной истории ношения брекетов
      3865 просмотров •
      11 месяцев назад
      Начать просмотр
      #врачи #Кейс
      Кейс врача-пародонтолога УлыбкаPRO Лейли Юсуповны
      2642 просмотров •
      11 месяцев назад
      Начать просмотр
      #врачи #Полезное
      Рассказываем о синус-лифтинге
      4838 просмотров •
      11 месяцев назад
      Начать просмотр
      #врачи #Полезное
      Накладки vs. пломбы
      4233 просмотров •
      1 год назад
      Начать просмотр
      #врачи #Юмор
      Что было вчера?
      2499 просмотров •
      1 год назад
      Начать просмотр
      #врачи #Инфо
      Металл или керамика?
      3772 просмотров •
      1 год назад
      Начать просмотр
      #врачи
      Зачем мы вас фоткаем?
      4258 просмотров •
      1 год назад
      Начать просмотр
      #врачи #Полезное #Инфо
      Брекеты или элайнеры?
      4419 просмотров •
      1 год назад
      Начать просмотр
      #врачи #Полезное
      Дорожный набор от Curaprox
      3938 просмотров •
      1 год назад
      Начать просмотр
      #врачи #Инфо
      Виды коронок
      3874 просмотров •
      1 год назад
      Начать просмотр
      #врачи #Инфо
      Красивая улыбка - это быстро и предсказуемо
      886 просмотров •
      1 год назад
      Начать просмотр
      #врачи #Полезное
      Подготовка к установке брекетов: 4 простых шага
      3859 просмотров •
      1 год назад
      Начать просмотр
      #врачи #Инфо
      Зачем нужен микроскоп?
      2992 просмотров •
      1 год назад
      Начать просмотр
      #врачи #Инфо #Полезное
      А вы видите разницу?
      3706 просмотров •
      1 год назад
      Начать просмотр
      #врачи #Юмор
      Заряжаемся весенним позитивом!
      2848 просмотров •
      1 год назад
      Начать просмотр
      #врачи #Полезное
      Восстановление за один день при переломе зуба
      2868 просмотров •
      1 год назад
      Начать просмотр
      #врачи #Оборудование
      Все, что нужно знать о КТ
      1766 просмотров •
      1 год назад
      Начать просмотр
      #врачи #Асмр
      Ортодонтический АСМР
      748 просмотров •
      1 год назад
      Начать просмотр
      #врачи #Полезное
      Виниры: советы стоматолога по уходу
      3494 просмотров •
      1 год назад
      Начать просмотр
      #врачи #Инфо
      Немного расскажем про наш сканер
      997 просмотров •
      1 год назад
      Начать просмотр
      #врачи #Инфо
      Что такое близко от метро? Показываем на примере УлыбкаPRO
      880 просмотров •
      1 год назад
      Начать просмотр
      #врачи #Инфо
      Что вас ждет после брекетов?
      1058 просмотров •
      1 год назад
      Начать просмотр
      #врачи #Полезное
      Яблочный сезон!
      1695 просмотров •
      2 года назад
      Начать просмотр
      #доктор #врачи #Кейс
      Протезирование. Кейс Масенкова В.И.
      1835 просмотров •
      2 года назад
      Начать просмотр
      #врачи #Инфо
      Прицельный снимок!
      586 просмотров •
      2 года назад
      Начать просмотр
      #врачи #Кейс
      Трофей эндодонтиста. Штифт!
      950 просмотров •
      2 года назад
      Начать просмотр
      #врачи #Инфо
      Ортодонтические винты
      940 просмотров •
      2 года назад
      Начать просмотр
      #врачи #Кейс
      Кейс на All-on-4
      1763 просмотров •
      8 месяцев назад



      Содержание
      Цена
      Цена
      Цена
      Цена
      Цена
      Цена
      Цена
      Цена
      Цена
      Цена
      Цена
      Цена
      Цена
      Цена
      Цена
      Цена
      Цена
      Цена
      Цена
      Цена
      Цена
      Цена
      Цена
      Цена
      Цена
      Цена
      Цена
      Цена
      Цена
      Цена
      Цена
      Цена
      Цена
      Цена
      Цена
      Цена
      Цена
      Цена
      Цена
      Цена
      Цена
      Цена
      Цена
      Цена
      Цена
      Цена
      Цена

      Кинзебулатова Анастасия Денисовна Врач стоматолог-терапевт

      Рудометова Марина Алексеевна Стоматолог-терапевт, эндодонтист, врач-эксперт

      Курсакова Татьяна Николаевна Врач стоматолог-терапевт

      Ибрагимли Эльшад Нарманович Врач терапевт-микроскопист, реставратор

      Гогичайшвили Анита Георгиевна Ортодонт

      Оразова Лейли Юсуповна пародонтолог, хирург

      Крамчанинов Иван Николаевич Стоматолог-хирург

      Зятева Инна Владимировна Врач стоматолог-ортопед

      Благушина Наталия Алексеевна Хирург-имплантолог, к.м.н., врач-эксперт, главный врач

      Волкова Мария Юрьевна Хирург-имплантолог

      Стойко Оксана Анатольевна Администратор

      Аммор Светлана Владимировна Координатор лечения

      Дмитровская Мария Гигиенист, хирург-ординатор

      Гаджиева Соня Гигиенист, хирург-ординатор

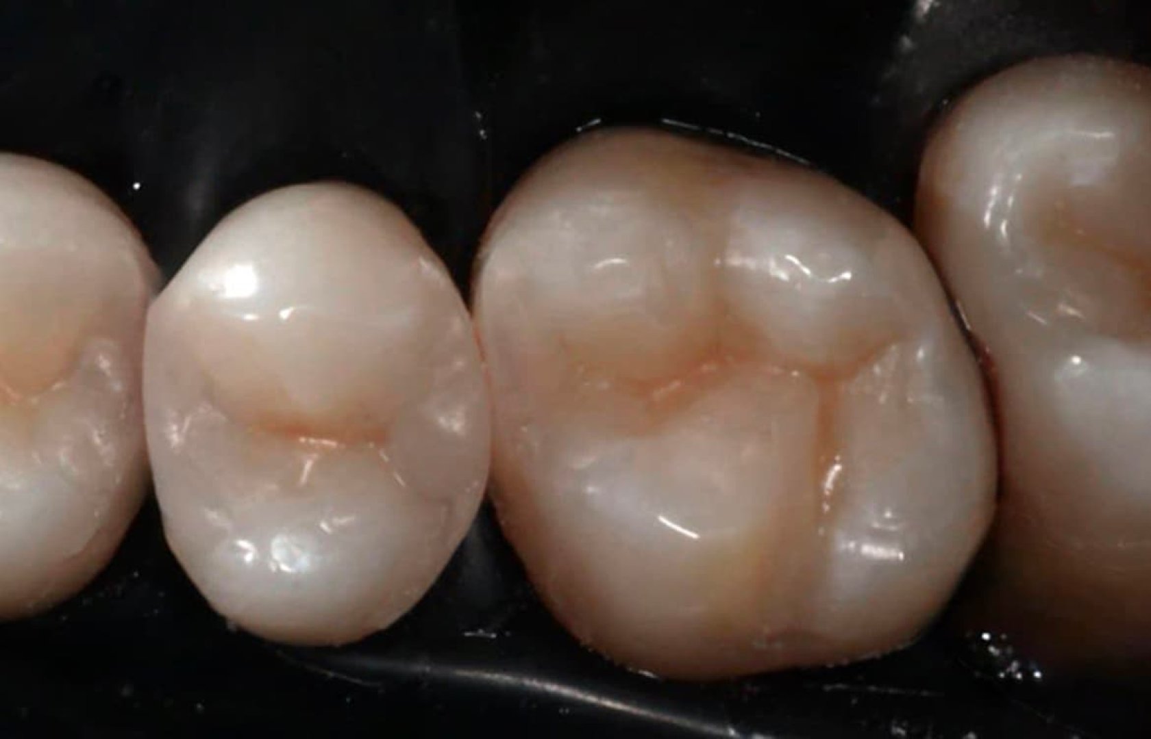
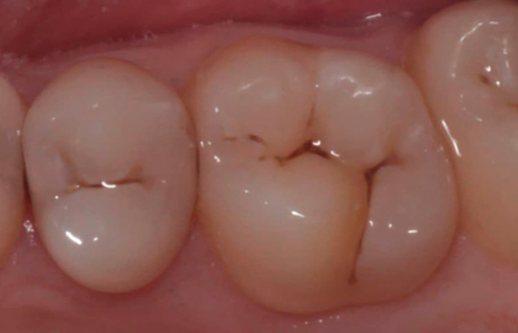
      После детальной диагностики и изоляции коффердамом были удалены все поражённые ткани с сохранением здоровых структур. Затем по послойной технике внесения композита воссоздали анатомическую форму и фиссуры, завершив лечение шлифовкой и полировкой. Процедуру провела врач-стоматолог-терапевт Кинзебулатова Анастасия Денисовна.

      ДО

      ПОСЛЕ

      Назад к списку
      Имеются противопоказания. Необходима консультация специалиста
      Компания
      О нас
      Блог
      Лицензии
      Гарантии
      Партнеры и поставщики
      Отзывы
      Реквизиты
      ДМС
      Налоговый вычет
      Корпоративная программа
      Новости
      Вакансии
      Услуги
      Протезирование зубов
      Имплантация зубов
      Консультация врача-стоматолога
      Профессиональная гигиена и отбеливание
      Эстетическая стоматология
      Ортодонтия
      Терапевтическая стоматология
      Пародонтология
      Лечение зубов в кредит
      Хирургическая стоматология
      Диагностика
      Лечение зубов у молодого специалиста
      Детская стоматология
      Лечение зубов в рассрочку
      Правовая информация
      +7 (495) 032-10-17
      +7 (495) 032-10-17
      Заказать звонок
      E-mail
      info@ulybka.pro
      Адрес
      УлыбкаPRO: г. Москва, 3-й Автозаводский проезд, 4
      УлыбкаPRO'fi: г. Москва, ул. Автозаводская, 7
      Режим работы
      пн-вс 9:00-21:00
      Мы в соцсетях
      Онлайн оплата Онлайн запись
      Заказать звонок
      info@ulybka.pro
      УлыбкаPRO: г. Москва, 3-й Автозаводский проезд, 4
      УлыбкаPRO'fi: г. Москва, ул. Автозаводская, 7
      Онлайн оплата Онлайн запись

      Исключительные права на материалы сайта ulybkamsk.ru в соответствии со ст. 1229 Гражданского кодекса РФ принадлежат их правообладателю. Любое использование данных материалов возможно только с письменного согласия правообладателя. При неправомерном использовании материалов сайта третьими лицами без вышеуказанного письменного согласия правообладателя влечет ответственность в соответствии с действующим законодательством РФ о защите исключительных прав. Информация на сайте носит исключительно ознакомительный характер. Все материалы и цены, размещенные на сайте, не являются публичной офертой, определяемой положениями ст. 437 ГК РФ.
      Мы используем файлы cookie (файлы с данными о прошлых посещениях сайта) для Вашего удобства и нормального функционирования сайта. Порядок обработки персональных данных содержится в Политике обработки персональных данных.

      © 2025 ООО "СТОМАТОЛОГИИ МСК". ОГРН 1167746456151
      Версия для слабовидящих
      0

      Корзина

      Очистить корзину

      Ваша корзина пуста

      Исправить это просто: выберите в каталоге интересующий товар и нажмите кнопку «В корзину»
      В каталог
      Услуги Врачи Акции Цены Записаться

      Подождите

      Предлагаем закрепить стоимость лечения за Вами!

      В дальнейшем Вы сможете пройти лечение по текущим ценам!

      Нажимая на кнопку “Закрепить цены”, вы даете согласие на обработку своих данных

      Или позвоните нам

      +7 (495) 032-10-17


      Спасибо за заявку!