Размер шрифта
Цвет фона и шрифта
Изображения
Озвучивание текста
Обычная версия сайта
Стоматология «УлыбкаPRO»
УлыбкаPRO
Цифровая стоматология
+7 (495) 032-10-17
+7 (495) 032-10-17
E-mail
info@ulybka.pro
Адрес
УлыбкаPRO: г. Москва, 3-й Автозаводский проезд, 4
УлыбкаPRO'fi: г. Москва, ул. Автозаводская, 7
Режим работы
пн-вс 9:00-21:00
Мы в соцсетях
Онлайн оплата Онлайн запись
Запись онлайн
Услуги
  • Протезирование зубов
    • Протезы на имплантатах
    • Виниры
    • Керамические накладки
    • Коронки
    • Мостовидные протезы
    • Съемные протезы
    • Накладки на зубы
    • Сплинт-терапия
  • Имплантация зубов
    • Имплантаты Dentium
    • Имплантаты Straumann (швейцарские)
    • Система имплантатов Osstem implant
    • Одномоментная имплантация
    • Имплантация по шаблону
    • Зубы за 1 день
    • Имплантация одного зуба
    • Имплантация двух зубов
    • Имплантация передних зубов
    • Имплантаты Astra Tech
    • Имплантаты Anyone (Корея)
    • Имплантаты NeoBiotech (Корея)
    • Имплантаты AlfaBio (Израиль)
    • Имплантаты Nobel Biocare
    • Имплантаты Ankylos (Германия)
    • Имплантаты MIS (Израиль)
    • Имплантаты SGS (Швейцария)
    • Имплантаты XIVE (Германия)
    • Имплантация Inno
    • Скуловая имплантация
  • Консультация врача-стоматолога
    • По направлениям
    • Онлайн консультация стоматолога
    • Первичная консультация
  • Профессиональная гигиена и отбеливание
    • Отбеливание зубов
    • Профессиональная гигиена (чистка зубов)
  • Эстетическая стоматология
    • Винир композитный терапевтический
    • Восстановление зубов вкладками
    • Голливудская улыбка
    • Реставрация зубов
  • Ортодонтия
    • Исправление прикуса
    • Лечение на брекет-системе
    • Лечение на элайнерах
    • Ретенционные каппы
  • Терапевтическая стоматология
    • Лечение зубов
    • Лечение каналов (эндодонтия)
    • Лечение зубов под микроскопом
    • Лечение клиновидного дефекта
    • Эндодонтическое лечение зубов
  • Пародонтология
    • Кюретаж пародонтальных карманов
    • Закрытие рецессии десны
    • Лечение пародонтита
    • Увеличение объема мягких тканей
  • Лечение зубов в кредит
    • Виниры в кредит
    • Коронки в кредит
    • Протезирование зубов в кредит
  • Хирургическая стоматология
    • Зубосохраняющие операции
    • Костнопластические операции
    • Удаление зубов
  • Диагностика
    • Рентгенологическое исследование
    • Цифровое сканирование зубов
  • Лечение зубов у молодого специалиста
  • Детская стоматология
    • Гигиена и профилактика для детей
    • Детская стоматологическая хирургия
    • Лечение болезней зубов и десен
    • Ортодонтия (исправление прикуса)
  • Лечение зубов в рассрочку
    • Имплантация зубов в рассрочку
    • Протезирование зубов в рассрочку
    • Имплантация All-on-4 в рассрочку
    • Брекеты в рассрочку
    • Рассрочка на виниры
    • Лечение зубов детям в рассрочку
    • Коронки в рассрочку
    • Элайнеры в рассрочку
О клинике
  • О нас
  • Блог
  • Лицензии
  • Гарантии
  • Партнеры и поставщики
  • Отзывы
  • Реквизиты
  • ДМС
  • Налоговый вычет
  • Корпоративная программа
  • Новости
  • Вакансии
Команда
Акции
Цены
Наши работы
Контакты
Видео
Детская стоматология
Мы в соцсетях
Стоматология «УлыбкаPRO»
УлыбкаPRO
Цифровая стоматология
  • Пациенту
  • Карта сайта
  • 👨‍⚕️ Курсы для стоматологов
  • ...
    +7 (495) 032-10-17
    +7 (495) 032-10-17
    E-mail
    info@ulybka.pro
    Адрес
    УлыбкаPRO: г. Москва, 3-й Автозаводский проезд, 4
    УлыбкаPRO'fi: г. Москва, ул. Автозаводская, 7
    Режим работы
    пн-вс 9:00-21:00
    Мы в соцсетях
    Онлайн оплата Онлайн запись
    Услуги
    • Протезирование зубов
      • Протезы на имплантатах      
        • All-on-4 имплантация (полный на 4 имплантах)
        • Имплантация All-on-6
      • Виниры      
        • Виниры e.max
        • Керамические виниры на зубы
        • Циркониевые виниры
      • Керамические накладки
      • Коронки      
        • Временные зубные коронки
        • Циркониевые коронки на зубы
      • Мостовидные протезы
      • Съемные протезы      
        • Акриловый протез
        • Бюгельный протез
      • Накладки на зубы
      • Сплинт-терапия
      • Еще
    • Имплантация зубов
      • Имплантаты Dentium
      • Имплантаты Straumann (швейцарские)
      • Система имплантатов Osstem implant
      • Одномоментная имплантация
      • Имплантация по шаблону
      • Зубы за 1 день
      • Имплантация одного зуба
      • Имплантация двух зубов
      • Имплантация передних зубов
      • Имплантаты Astra Tech
      • Имплантаты Anyone (Корея)
      • Имплантаты NeoBiotech (Корея)
      • Имплантаты AlfaBio (Израиль)
      • Имплантаты Nobel Biocare
      • Имплантаты Ankylos (Германия)
      • Имплантаты MIS (Израиль)
      • Имплантаты SGS (Швейцария)
      • Имплантаты XIVE (Германия)
      • Имплантация Inno
      • Скуловая имплантация
      • Еще
    • Консультация врача-стоматолога
      • По направлениям      
        • Консультация гигиениста
        • Консультация детского ортодонта
        • Консультация имплантолога
        • Консультация ортодонта
        • Консультация стоматолога-ортопеда
        • Консультация стоматолога-терапевта
        • Консультация стоматолога-хирурга
      • Онлайн консультация стоматолога
      • Первичная консультация
    • Профессиональная гигиена и отбеливание
      • Отбеливание зубов      
        • Домашнее отбеливание
        • Отбеливание зубов системой WhiteSpeed Zoom 4
      • Профессиональная гигиена (чистка зубов)      
        • Air Flow
        • Механическая чистка зубов
        • Полировка пастами
        • Ультразвуковая чистка зубов
        • Чистка зубов на аппарате Prophylaxis Master
        • Чистка и удаление зубного камня
    • Эстетическая стоматология
      • Винир композитный терапевтический
      • Восстановление зубов вкладками
      • Голливудская улыбка
      • Реставрация зубов
    • Ортодонтия
      • Исправление прикуса      
        • Исправление глубокого прикуса
        • Исправление дистального прикуса
        • Исправление мезиального прикус
        • Исправление открытого прикуса
        • Исправление перекрестного прикуса
      • Лечение на брекет-системе      
        • Лигатурные брекеты
        • Самолигирующие брекеты
      • Лечение на элайнерах      
        • Элайнеры 3D Smile
        • Элайнеры Flexilinger
        • Элайнеры Invisalign (Инвизилайн)
        • Элайнеры Spark
        • Элайнеры Star Smile (СтарСмайл)
        • Элайнеры Ulybainers
      • Ретенционные каппы
    • Терапевтическая стоматология
      • Лечение зубов      
        • Герметизация фиссур зубов
        • Лечение кариеса
        • Лечение некариозных дефектов
      • Лечение каналов (эндодонтия)      
        • Лечение кисты зуба
        • Лечение периодонтита
        • Лечение пульпита зуба
        • Пломбирование каналов зуба
        • Удаление зубного нерва
        • Чистка каналов зуба
      • Лечение зубов под микроскопом
      • Лечение клиновидного дефекта
      • Эндодонтическое лечение зубов
    • Пародонтология
      • Кюретаж пародонтальных карманов      
        • Закрытый кюретаж
        • Лазерный кюретаж
        • Лоскутная операция
        • Открытый кюретаж
      • Закрытие рецессии десны
      • Лечение пародонтита
      • Увеличение объема мягких тканей
    • Лечение зубов в кредит
      • Виниры в кредит
      • Коронки в кредит
      • Протезирование зубов в кредит
    • Хирургическая стоматология
      • Зубосохраняющие операции      
        • Аутотрансплантация зубов
        • Резекция верхушки корня зуба
      • Костнопластические операции      
        • Наращивание костной ткани
        • Синус-лифтинг
      • Удаление зубов      
        • Удаление зуба мудрости
    • Диагностика
      • Рентгенологическое исследование
      • Цифровое сканирование зубов
    • Лечение зубов у молодого специалиста
    • Детская стоматология
      • Гигиена и профилактика для детей      
        • Герметизация фиссур у детей
        • Диагностика состояния зубов у детей
        • Профессиональная гигиена зубов у детей по протоколу GBT
        • Профилактические осмотры ребенка у стоматолога
        • Фторирование зубов и ремотерапия
      • Детская стоматологическая хирургия      
        • Пластика уздечек с использованием лазерных технологий
        • Пластика уздечки губы ребенку
        • Пластика уздечки языка у ребенка
        • Удаление зубов мудрости у подростков
        • Удаление молочных зубов у детей
      • Лечение болезней зубов и десен      
        • Лечение гингивита у детей
        • Лечение зубов детям под микроскопом
        • Лечение кариеса молочных зубов
        • Лечение некариозных поражений и флюороза у детей
        • Лечение периодонтита у детей
        • Лечение постоянных зубов у детей, подростков
        • Лечение пульпита у детей
        • Реставрация молочных зубов и коронки на молочные зубы
      • Ортодонтия (исправление прикуса)      
        • Брекеты для детей и подростков
        • Исправление прикуса у детей
        • Капы для выравнивания зубов у подростков
        • Мини-винты и пластины при брекет-лечении
        • Ортодонтические аппараты для детей
    • Лечение зубов в рассрочку
      • Имплантация зубов в рассрочку
      • Протезирование зубов в рассрочку
      • Имплантация All-on-4 в рассрочку
      • Брекеты в рассрочку
      • Рассрочка на виниры
      • Лечение зубов детям в рассрочку
      • Коронки в рассрочку
      • Элайнеры в рассрочку
      • Еще
    О клинике
    • О нас
    • Блог
    • Лицензии
    • Гарантии
    • Партнеры и поставщики
    • Отзывы
    • Реквизиты
    • ДМС
    • Налоговый вычет
    • Корпоративная программа
    • Новости
    • Вакансии
    Команда
    Акции
    Цены
    Наши работы
    Контакты
    Видео
    Детская стоматология
      "/>
      Запись онлайн
      Стоматология «УлыбкаPRO»
      +7 (495) 032-10-17
      Стоматология «УлыбкаPRO»
      • Услуги
        • Услуги
        • Протезирование зубов
          • Протезирование зубов
          • Протезы на имплантатах
            • Протезы на имплантатах
            • All-on-4 имплантация (полный на 4 имплантах)
            • Имплантация All-on-6
          • Виниры
            • Виниры
            • Виниры e.max
            • Керамические виниры на зубы
            • Циркониевые виниры
          • Керамические накладки
          • Коронки
            • Коронки
            • Временные зубные коронки
            • Циркониевые коронки на зубы
          • Мостовидные протезы
          • Съемные протезы
            • Съемные протезы
            • Акриловый протез
            • Бюгельный протез
          • Накладки на зубы
          • Сплинт-терапия
        • Имплантация зубов
          • Имплантация зубов
          • Имплантаты Dentium
          • Имплантаты Straumann (швейцарские)
          • Система имплантатов Osstem implant
          • Одномоментная имплантация
          • Имплантация по шаблону
          • Зубы за 1 день
          • Имплантация одного зуба
          • Имплантация двух зубов
          • Имплантация передних зубов
          • Имплантаты Astra Tech
          • Имплантаты Anyone (Корея)
          • Имплантаты NeoBiotech (Корея)
          • Имплантаты AlfaBio (Израиль)
          • Имплантаты Nobel Biocare
          • Имплантаты Ankylos (Германия)
          • Имплантаты MIS (Израиль)
          • Имплантаты SGS (Швейцария)
          • Имплантаты XIVE (Германия)
          • Имплантация Inno
          • Скуловая имплантация
        • Консультация врача-стоматолога
          • Консультация врача-стоматолога
          • По направлениям
            • По направлениям
            • Консультация гигиениста
            • Консультация детского ортодонта
            • Консультация имплантолога
            • Консультация ортодонта
            • Консультация стоматолога-ортопеда
            • Консультация стоматолога-терапевта
            • Консультация стоматолога-хирурга
          • Онлайн консультация стоматолога
          • Первичная консультация
        • Профессиональная гигиена и отбеливание
          • Профессиональная гигиена и отбеливание
          • Отбеливание зубов
            • Отбеливание зубов
            • Домашнее отбеливание
            • Отбеливание зубов системой WhiteSpeed Zoom 4
          • Профессиональная гигиена (чистка зубов)
            • Профессиональная гигиена (чистка зубов)
            • Air Flow
            • Механическая чистка зубов
            • Полировка пастами
            • Ультразвуковая чистка зубов
            • Чистка зубов на аппарате Prophylaxis Master
            • Чистка и удаление зубного камня
        • Эстетическая стоматология
          • Эстетическая стоматология
          • Винир композитный терапевтический
          • Восстановление зубов вкладками
          • Голливудская улыбка
          • Реставрация зубов
        • Ортодонтия
          • Ортодонтия
          • Исправление прикуса
            • Исправление прикуса
            • Исправление глубокого прикуса
            • Исправление дистального прикуса
            • Исправление мезиального прикус
            • Исправление открытого прикуса
            • Исправление перекрестного прикуса
          • Лечение на брекет-системе
            • Лечение на брекет-системе
            • Лигатурные брекеты
            • Самолигирующие брекеты
          • Лечение на элайнерах
            • Лечение на элайнерах
            • Элайнеры 3D Smile
            • Элайнеры Flexilinger
            • Элайнеры Invisalign (Инвизилайн)
            • Элайнеры Spark
            • Элайнеры Star Smile (СтарСмайл)
            • Элайнеры Ulybainers
          • Ретенционные каппы
        • Терапевтическая стоматология
          • Терапевтическая стоматология
          • Лечение зубов
            • Лечение зубов
            • Герметизация фиссур зубов
            • Лечение кариеса
            • Лечение некариозных дефектов
          • Лечение каналов (эндодонтия)
            • Лечение каналов (эндодонтия)
            • Лечение кисты зуба
            • Лечение периодонтита
            • Лечение пульпита зуба
            • Пломбирование каналов зуба
            • Удаление зубного нерва
            • Чистка каналов зуба
          • Лечение зубов под микроскопом
          • Лечение клиновидного дефекта
          • Эндодонтическое лечение зубов
        • Пародонтология
          • Пародонтология
          • Кюретаж пародонтальных карманов
            • Кюретаж пародонтальных карманов
            • Закрытый кюретаж
            • Лазерный кюретаж
            • Лоскутная операция
            • Открытый кюретаж
          • Закрытие рецессии десны
          • Лечение пародонтита
          • Увеличение объема мягких тканей
        • Лечение зубов в кредит
          • Лечение зубов в кредит
          • Виниры в кредит
          • Коронки в кредит
          • Протезирование зубов в кредит
        • Хирургическая стоматология
          • Хирургическая стоматология
          • Зубосохраняющие операции
            • Зубосохраняющие операции
            • Аутотрансплантация зубов
            • Резекция верхушки корня зуба
          • Костнопластические операции
            • Костнопластические операции
            • Наращивание костной ткани
            • Синус-лифтинг
          • Удаление зубов
            • Удаление зубов
            • Удаление зуба мудрости
        • Диагностика
          • Диагностика
          • Рентгенологическое исследование
          • Цифровое сканирование зубов
        • Лечение зубов у молодого специалиста
        • Детская стоматология
          • Детская стоматология
          • Гигиена и профилактика для детей
            • Гигиена и профилактика для детей
            • Герметизация фиссур у детей
            • Диагностика состояния зубов у детей
            • Профессиональная гигиена зубов у детей по протоколу GBT
            • Профилактические осмотры ребенка у стоматолога
            • Фторирование зубов и ремотерапия
          • Детская стоматологическая хирургия
            • Детская стоматологическая хирургия
            • Пластика уздечек с использованием лазерных технологий
            • Пластика уздечки губы ребенку
            • Пластика уздечки языка у ребенка
            • Удаление зубов мудрости у подростков
            • Удаление молочных зубов у детей
          • Лечение болезней зубов и десен
            • Лечение болезней зубов и десен
            • Лечение гингивита у детей
            • Лечение зубов детям под микроскопом
            • Лечение кариеса молочных зубов
            • Лечение некариозных поражений и флюороза у детей
            • Лечение периодонтита у детей
            • Лечение постоянных зубов у детей, подростков
            • Лечение пульпита у детей
            • Реставрация молочных зубов и коронки на молочные зубы
          • Ортодонтия (исправление прикуса)
            • Ортодонтия (исправление прикуса)
            • Брекеты для детей и подростков
            • Исправление прикуса у детей
            • Капы для выравнивания зубов у подростков
            • Мини-винты и пластины при брекет-лечении
            • Ортодонтические аппараты для детей
        • Лечение зубов в рассрочку
          • Лечение зубов в рассрочку
          • Имплантация зубов в рассрочку
          • Протезирование зубов в рассрочку
          • Имплантация All-on-4 в рассрочку
          • Брекеты в рассрочку
          • Рассрочка на виниры
          • Лечение зубов детям в рассрочку
          • Коронки в рассрочку
          • Элайнеры в рассрочку
      • О клинике
        • О клинике
        • О нас
        • Блог
        • Лицензии
        • Гарантии
        • Партнеры и поставщики
        • Отзывы
        • Реквизиты
        • ДМС
        • Налоговый вычет
        • Корпоративная программа
        • Новости
        • Вакансии
      • Команда
      • Акции
      • Цены
      • Наши работы
      • Контакты
      • Видео
      • Детская стоматология
      Запись онлайн
      • 0 Корзина
      • +7 (495) 032-10-17
        • Телефоны
        • +7 (495) 032-10-17
        • Заказать звонок
      • УлыбкаPRO: г. Москва, 3-й Автозаводский проезд, 4
        УлыбкаPRO'fi: г. Москва, ул. Автозаводская, 7
      • info@ulybka.pro
      • пн-вс 9:00-21:00
      Онлайн оплата Онлайн запись

      Ортодонтия

      Главная
      —
      Услуги
      —Ортодонтия

      Исправление неправильного прикуса классическими и современными методами

      Исправление прикуса

      Исправление прикуса
      • — Исправление глубокого прикуса
      • — Исправление дистального прикуса
      • — Исправление мезиального прикус
      • — Исправление открытого прикуса
      • — Исправление перекрестного прикуса

      Лечение на брекет-системе

      Лечение на брекет-системе
      • — Лигатурные брекеты
      • — Самолигирующие брекеты
      • — Брекеты H4
      • — Металлические брекеты
      • — Установка керамических брекетов в Москве

      Лечение на элайнерах

      Лечение на элайнерах
      • — Элайнеры 3D Smile
      • — Элайнеры Flexilinger
      • — Элайнеры Invisalign (Инвизилайн)
      • — Элайнеры Spark
      • — Элайнеры Star Smile (СтарСмайл)
      • — Элайнеры Ulybainers

      Элайнеры Ulybainers

      Лечение на элайнерах
      Элайнеры Ulybainers

      Брекеты H4

      Самолигирующие брекеты
      Брекеты H4

      Исправление открытого прикуса

      Исправление прикуса
      Исправление открытого прикуса

      Исправление глубокого прикуса

      Исправление прикуса
      Исправление глубокого прикуса

      Исправление перекрестного прикуса

      Исправление прикуса
      Исправление перекрестного прикуса

      Исправление мезиального прикус

      Исправление прикуса
      Исправление мезиального прикус

      Исправление дистального прикуса

      Исправление прикуса
      Исправление дистального прикуса

      Элайнеры Spark

      Лечение на элайнерах
      Элайнеры Spark

      Элайнеры Flexilinger

      Лечение на элайнерах
      Элайнеры Flexilinger

      Ретенционные каппы

      Ортодонтия
      Ретенционные каппы

      Элайнеры Invisalign (Инвизилайн)

      Лечение на элайнерах
      Элайнеры Invisalign (Инвизилайн)

      Элайнеры 3D Smile

      Лечение на элайнерах
      Элайнеры 3D Smile

      Элайнеры Star Smile (СтарСмайл)

      Лечение на элайнерах
      Элайнеры Star Smile (СтарСмайл)

      Установка керамических брекетов в Москве

      Самолигирующие брекеты
      Установка керамических брекетов в Москве

      Металлические брекеты

      Самолигирующие брекеты
      Металлические брекеты

      Ортодонтия — это раздел стоматологии, занимающийся диагностикой, профилактикой и лечением неправильного прикуса, а также выравниванием зубов. Основная цель ортодонтии — улучшение функциональности зубочелюстной системы и эстетики улыбки. В ортодонтии используются различные методы коррекции прикуса, включая брекет-системы, элайнеры и другие ортодонтические аппараты. Современные технологии позволяют проводить лечение с минимальным дискомфортом для пациента, обеспечивая долговременные результаты.

      Достигаем цен, ниже на 20% чем у конкурентов!

      • собственная зуботехническая лаборатория;
      • работаем без посредников и накруток — закупаем материалы напрямую у производителей;
      • не переплачиваем за аренду — все наши кабинеты работают с максимальной загрузкой;
      • врачи заинтересованы в результате — мы не гонимся за количеством, а строим долгосрочные отношения с пациентами.
      Записаться онлайн
      Клиенты довольны

      Типы ортодонтического лечения

      Ортодонтия предлагает различные методы лечения в зависимости от возраста пациента и сложности клинического случая.
      Брекет-системы. Один из самых распространенных методов, используемый для коррекции прикуса у детей и взрослых. Брекеты могут быть металлическими либо керамическими.
      Элайнеры. Прозрачные съемные каппы, предназначенные для мягкого и постепенного выравнивания зубов. Они практически незаметны и подходят для пациентов, стремящихся к эстетичному виду во время лечения.
      Функциональные аппараты. Используются преимущественно для детей и подростков, направлены на коррекцию аномалий прикуса и стимулирование правильного развития челюстей.
      Ортодонтические пластины. Применяются для коррекции прикуса у детей, позволяют расширять челюсть и направлять рост зубов.

      Отзывы и рейтинги

      Яндекс
      Яндекс

      5.0 star.png

      2Gis
      2Gis

      5.0 star.png

      Flamp
      Flamp

      5.0 star.png

      Zoon
      Zoon

      4.6 star.png

      Yell
      Yell

      4.8 star.png

      TopDent
      TopDent

      4.9 star.png

      Doctu (рабочий)
      Doctu (рабочий)

      4.8 star.png

      32top (рабочий)
      32top (рабочий)

      5.0 star.png


      Отзывы
      АС
      2 мая 2024
      Аллан Сидоров
      Отзыв на Яндексе
      Оразова Лейли Юсуповна удалила мне все 4 зуба мудрости за несколько приемов. Доктор внимательный и профессиональный, процедуры прошли быстро и безболезненно. Даже укол обезболивающий я почти не почувствовал. По завершении процед...
      Подробнее
      АА
      24 апреля 2024
      Аминат А.
      Отзыв на Яндексе
      Обратилась в клинику “УлыбкаPRO” по поводу удаления зуба мудрости. Благодарна врачу Хамидовой Марине Мовсуровне за бережное и внимательное отношение. За время приёма объясняла что будет делать и для чего. После окончания личн...
      Подробнее
      КШ
      23 апреля 2024
      Кристина Ш.
      Отзыв на Яндексе
      Больше года хожу в клинику прямо в моем доме! Самый первый поход был с острой болью - администратор нашла подходящее ближайшее окошко и оперативно приняли, теперь хожу регулярно к терапевту Марине Алексеевне, все спокойно, терапев...
      Подробнее
      МА
      21 апреля 2024
      Мадина А.
      Отзыв на Яндексе
      Доктор Марина Хамидова - лучшее, что может случиться с вашими зубами мудрости, которые показаны к удалению. Чуткая, трепетная и профессиональная работа. При всей моей боязни всех хирургических вмешательств, все 4 мудрых зуба докто...
      Подробнее
      МК
      18 апреля 2024
      Максим Кузнецов
      Отзыв на Яндексе
      В клинике успешно пролечили все зубы и сделали чистку жене, и я сам хожу лечусь. У меня был сложный зуб, который перелечивали - в нем было 2 обломка сверла, и другие проблемы - в итоге всё отлично. Плюс отлично восстановили 2 зуба...
      Подробнее

      Этапы стоматологической ортодонтии

      1. Диагностика
        Первый этап включает консультацию с ортодонтом, сбор анамнеза, рентгенографию и цифровое сканирование для планирования лечения. Это важный шаг для выбора оптимальной методики коррекции.
      2. Планирование лечения
        На основе полученных данных ортодонт разрабатывает индивидуальный план лечения, который включает выбор ортодонтических аппаратов и расчет времени коррекции.
      3. Установка ортодонтических аппаратов
        Врач устанавливает брекеты, элайнеры или другие аппараты, в зависимости от выбранного плана лечения. Этот этап включает инструктаж пациента по уходу за ортодонтическими системами.
      4. Контроль и корректировка
        В течение всего периода лечения пациент регулярно посещает ортодонта для контроля и корректировки аппаратов. Эти визиты помогают обеспечить правильное движение зубов и достижение желаемого результата.
      5. Завершение лечения
        После завершения активной фазы лечения ортодонт снимает аппараты и назначает ретенционную терапию, которая включает ношение ретейнеров для закрепления результата.
      У нас в Улыбка PRO работают квалифицированные врачи-ортодонты, которые проведут полную консультацию, ответят на все ваши вопросы, а лечение будет проведено с высоким качеством.

      Вернём до 13% от стоимости лечения

      Лечение может не только улучшить здоровье, но и вернуть часть потраченных средств!

      Наша клиника имеет лицензию, которая позволяет получить налоговый вычет 13% на имплантацию, протезирование и другие виды лечения.

      • Заключаем официальный договор;
      • Готовим весь пакет документов;
      • Предоставляем все чеки для налоговой.
      Записаться

      Или свяжитесь с нами по телефону +7 (495) 032-10-17 ежедневно с 9:00 до 21:00.

      Инструменты стоматолога

      Врачи
      Хирург-имплантолог, к.м.н., врач-эксперт, главный врач
      Благушина Наталия Алексеевна
      Хирург-имплантолог, к.м.н., врач-эксперт, главный врач
      Благушина Наталия Алексеевна
      График работы:
      Ср 16.00 - 19.00
      Сб 12.00 - 18.00
      Запись онлайн
      Хирург-имплантолог
      Волкова Мария Юрьевна
      Хирург-имплантолог
      Волкова Мария Юрьевна
      График работы:
      Вт 15.00 - 21.00
      Вс 09.00 - 15.00
      Запись онлайн
      Стоматолог-терапевт, эндодонтист, врач-эксперт
      Рудометова Марина Алексеевна
      Стоматолог-терапевт, эндодонтист, врач-эксперт
      Рудометова Марина Алексеевна
      Вт 9:00-21:00 | Чт 9:00-21:00 | Пт 9:00-21:00
      с 9 до 19 по субботам
      Запись онлайн
      Врач стоматолог-терапевт
      Кинзебулатова Анастасия Денисовна
      Врач стоматолог-терапевт
      Кинзебулатова Анастасия Денисовна
      График работы:
      Пн 9.00-21.00
      Ср 9.00-21.00
      Пт 9.00-15.00
      Запись онлайн
      Врач терапевт-микроскопист, реставратор
      Ибрагимли Эльшад Нарманович
      Врач терапевт-микроскопист, реставратор
      Ибрагимли Эльшад Нарманович
      График работы:
      Чт 9:00-21:00
      Вс 9:00-21:00
      Запись онлайн
      Врач стоматолог-терапевт
      Курсакова Татьяна Николаевна
      Врач стоматолог-терапевт
      Курсакова Татьяна Николаевна
      График работы:
      Вт 9:00-17:00
      Пт 9:00-17:00
      Запись онлайн
      Врач стоматолог-ортопед
      Зятева Инна Владимировна
      Врач стоматолог-ортопед
      Зятева Инна Владимировна
      График работы:
      Вт 09.00-21.00
      Сб 9.00-21.00
      Запись онлайн
      Ортодонт
      Гогичайшвили Анита Георгиевна
      Ортодонт
      Гогичайшвили Анита Георгиевна
      График работы:
      Пт 15.00-21.00
      Вс 9.00-15.00
      Запись онлайн
      Стоматолог-хирург
      Крамчанинов Иван Николаевич
      Стоматолог-хирург
      Крамчанинов Иван Николаевич
      График работы доктора
      Пн 09:00-21:00
      В этом месяце — консультация бесплатно!
      Запись онлайн
      Пародонтолог, хирург
      Оразова Лейли Юсуповна
      Пародонтолог, хирург
      Оразова Лейли Юсуповна
      График работы доктора
      Чт 09:00-21:00
      Вс 09:00-15:00
      Запись онлайн

      Наши преимущества

      Гарантия на все услуги
      Гарантия на все услуги
      Прозрачный план лечения без доплат. Разумные цены
      Прозрачный план лечения без доплат. Разумные цены
      Сочетание цифровых технологий с уникальной подготовкой наших специалистов
      Сочетание цифровых технологий с уникальной подготовкой наших специалистов
      Полный спектр стоматологических услуг. Детская стоматология
      Полный спектр стоматологических услуг. Детская стоматология

      Почему стоит обратиться в клинику УлыбкаPRO в Москве

      Клиника УлыбкаPRO в Москве предлагает комплексное ортодонтическое лечение с использованием современных методов и технологий. Наши специалисты обладают высоким уровнем квалификации и большим опытом работы, что гарантирует отличные результаты лечения. Мы предлагаем услуги по коррекции прикуса как для детей, так и для взрослых, включая установку брекет-систем и лечение на элайнерах.
      В клинике созданы комфортные условия для пациентов, а также предлагаются различные программы лечения, которые адаптированы под индивидуальные потребности каждого пациента.
      Кроме того, в нашей клинике УлыбкаPRO регулярно проводятся акции, благодаря которым вы можете пройти ортодонтическое лечение по привлекательной цене!
      Выбирая клинику УлыбкаPRO в Москве, вы получаете качественное лечение, профессиональный подход и заботу о вашем здоровье. Запишитесь на консультацию и начните путь к идеальной улыбке с нашими специалистами.

      Сложно разобраться в плане лечения? Мы всё объясним по-человечески. Менеджер клиники «УлыбкаPRO»:

      • ● расскажет, за что именно вы платите, и нет ли скрытых услуг;
      • ● объяснит, почему в плане лечения именно такие позиции, зачем они нужны и можно ли что-то отложить;
      • ● поможет сократить расходы, разделить оплату и подобрать удобный формат лечения;
      • ● ответит на любые вопросы — без медицинского жаргона.

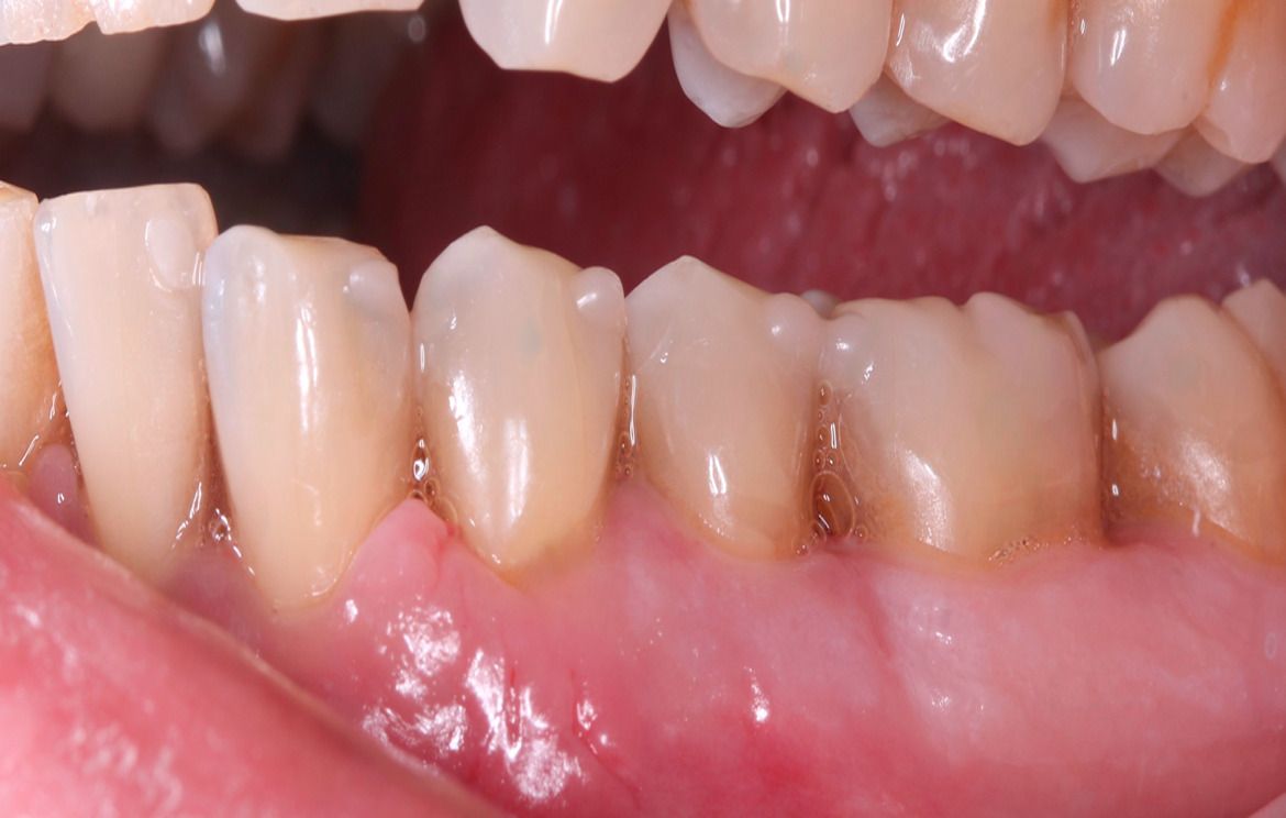
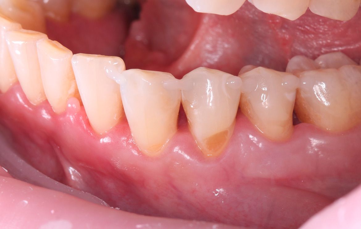
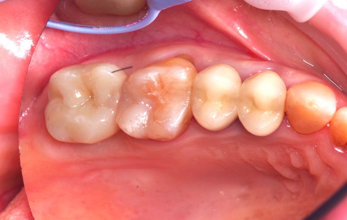
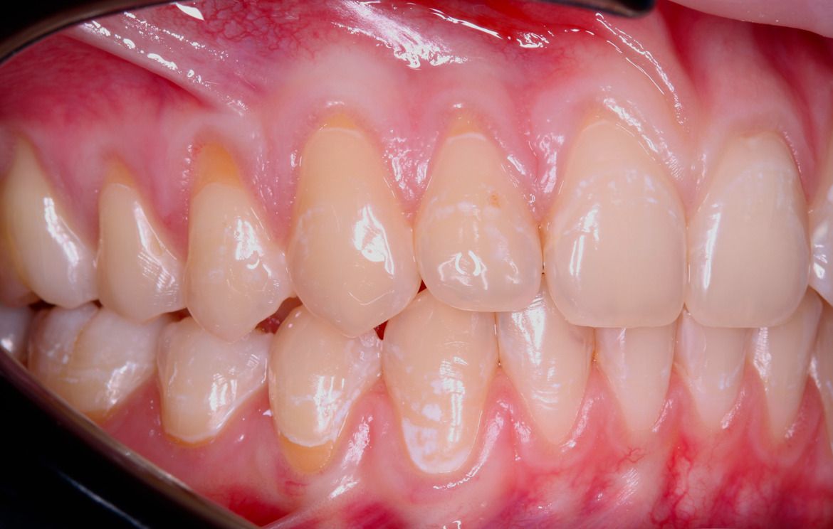
      Наши работы

      Новая улыбка за несколько дней!
      Прошло менее 2 недель!
      После
      До
      Ортопедическое лечение
      Зятева Инна Владимировна
      Врач стоматолог-ортопед
      Циркониевая коронка
      41 900 ₽
      Записаться
      Коронка на имплантате, 16 зуб
      В короткий срок
      После
      До
      Ортопедическое лечение
      Масенков Вадим Иванович
      Врач стоматолог-ортопед
      Хирургическое лечение
      Благушина Наталия Алексеевна
      Хирург-имплантолог, к.м.н., врач-эксперт, главный врач
      Циркониевая коронка на имплантате
      от 44 900 ₽
      Записаться
      Лечение на элайнерах. Кейс 3
      Лечение на элайнерах. Кейс 3
      После
      До
      Ортодонтическое лечение
      Гогичайшвили Анита Георгиевна
      Ортодонт
      Лечение на элайнерах (2 пары)
      от 9 900 ₽
      Записаться
      Лечение кариеса, восстановление контактного пункта зуба
      Быстрая и безболезненная процедура
      Смотреть подробнее
      После
      До
      Терапевтическое лечение
      Рудометова Марина Алексеевна
      Стоматолог-терапевт, эндодонтист, врач-эксперт
      Лечение кариеса
      от 5 300 ₽
      Записаться
      Кариес на жевательной поверхности (Зубы 2.6, 2.7)
      Кариес на жевательной поверхности (Зубы 2.6, 2.7)
      После
      До
      Терапевтическое лечение
      Кинзебулатова Анастасия Денисовна
      Врач стоматолог-терапевт
      Лечение кариеса
      от 5 300 ₽
      Записаться
      Восстановление фронтальной группы зубов
      Виниры e.max
      После
      До
      Ортопедическое лечение
      Зятева Инна Владимировна
      Врач стоматолог-ортопед
      Виниры e.max
      от 39 120 ₽
      Записаться
      Лечение кариеса, Восстановление анатомии зуба (2.7, 2.6)
      Лечение кариеса, Восстановление анатомии зуба (2.7, 2.6)
      После
      До
      Терапевтическое лечение
      Кинзебулатова Анастасия Денисовна
      Врач стоматолог-терапевт
      Лечение кариеса
      от 5 300 ₽
      Записаться
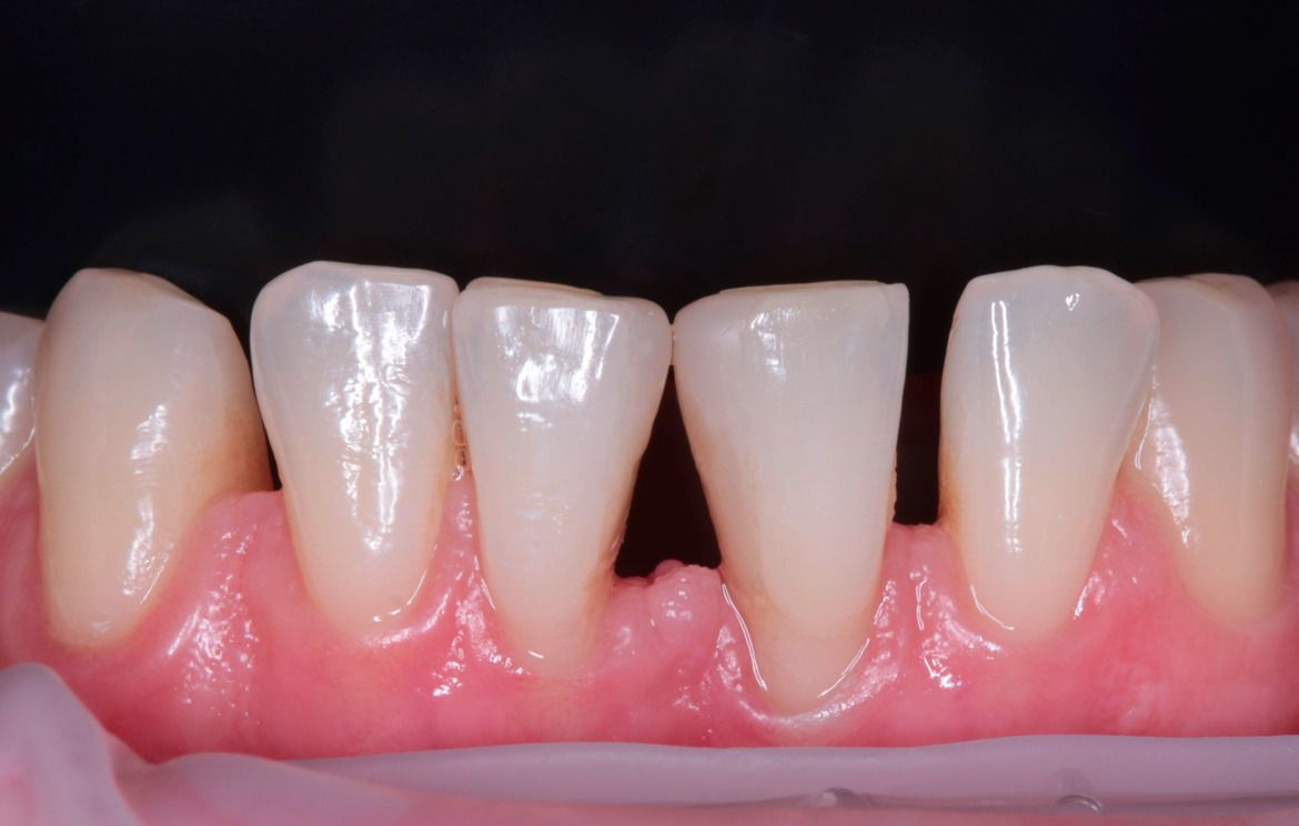
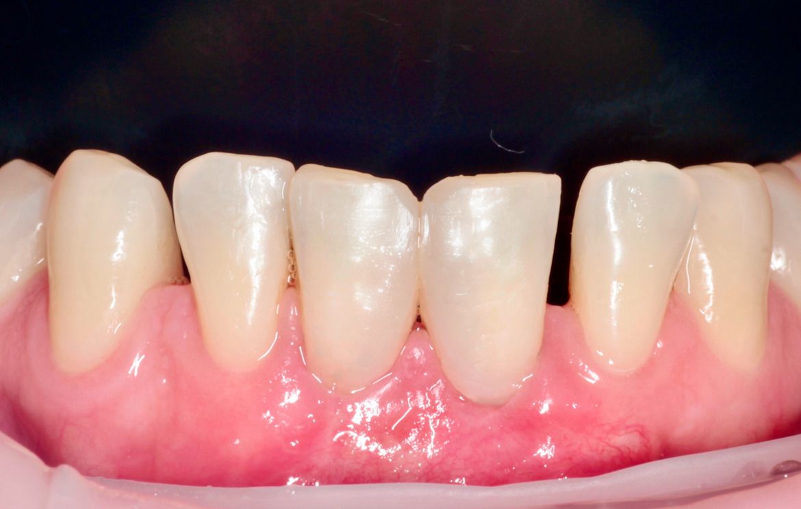
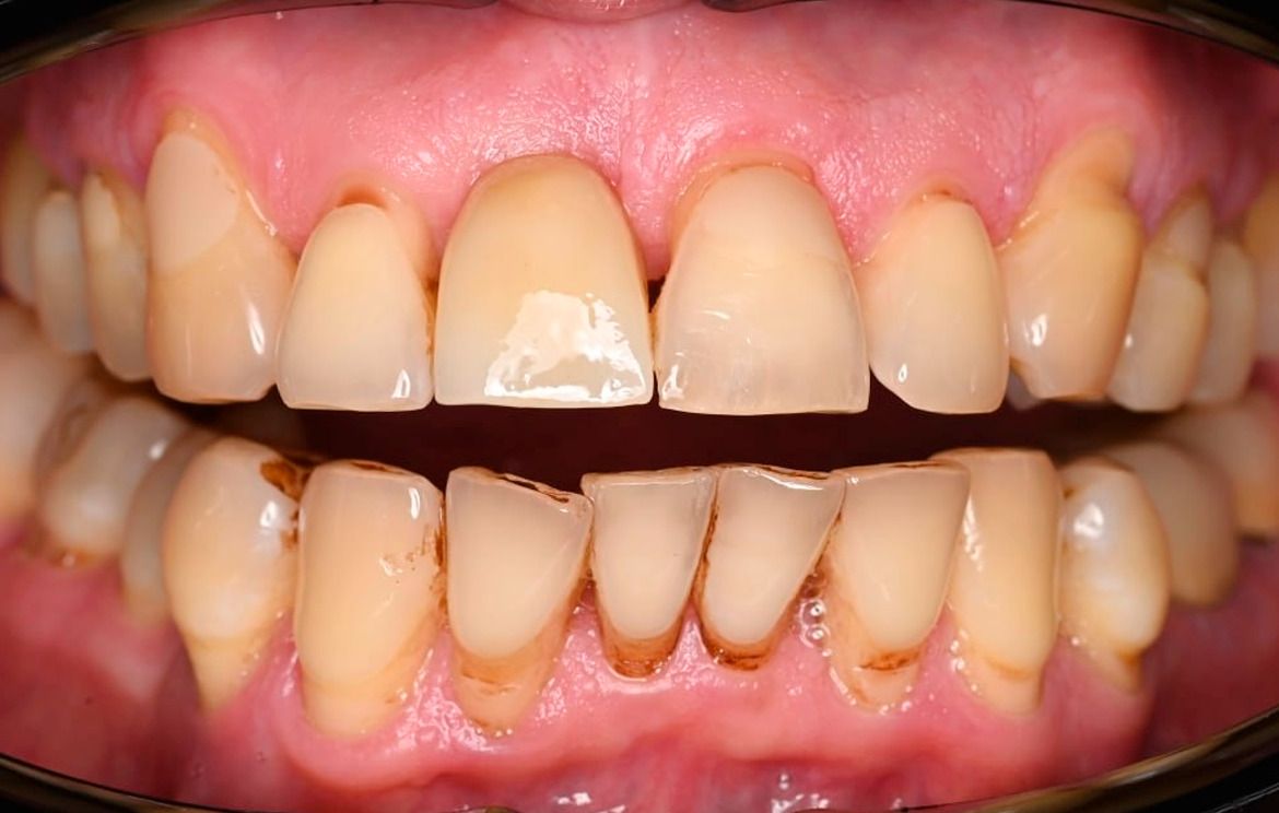
      Протезирование и устранение рецессий
      После манипуляций по устранению рецессий было проведено протезирование
      Смотреть подробнее
      После
      До
      Ортопедическое лечение
      Зятева Инна Владимировна
      Врач стоматолог-ортопед
      Циркониевая коронка
      41 900 ₽
      Записаться
      Лечение кариеса
      Пациент обратился с кариесом 36-го зуба (I класс).
      Смотреть подробнее
      После
      До
      Терапевтическое лечение
      Кинзебулатова Анастасия Денисовна
      Врач стоматолог-терапевт
      Лечение кариеса
      от 5 300 ₽
      Записаться
      Акриловый протез
      Сняты оттиски, определена ЦСЧ, подобран цвет зубов, изготовлены конструкции
      Смотреть подробнее
      После
      До
      Ортопедическое лечение
      Зятева Инна Владимировна
      Врач стоматолог-ортопед
      Акриловый протез
      от 53 900 ₽
      Записаться
      Лечение кариеса
      Пациент обратился с кариесом в области зуба 2.7,2.6,2.5.
      Смотреть подробнее
      После
      До
      Терапевтическое лечение
      Кинзебулатова Анастасия Денисовна
      Врач стоматолог-терапевт
      Лечение кариеса
      от 5 300 ₽
      Записаться
      Коронки на имплантатах
      Установлены коронки на имплантаты
      Смотреть подробнее
      После
      До
      Ортопедическое лечение
      Зятева Инна Владимировна
      Врач стоматолог-ортопед
      Циркониевая коронка на имплантате
      от 44 900 ₽
      Записаться
      Лечение кариеса
      -
      После
      До
      Терапевтическое лечение
      Кинзебулатова Анастасия Денисовна
      Врач стоматолог-терапевт
      Лечение кариеса
      от 5 300 ₽
      Записаться
      Перепротезирование зуба, имплантация
      Перепротезирование 13 зуба коронкой из диоксида циркония, имплантация 14 зуба Dentium с протезированием диоксид циркониевой коронкой на винтовой фиксации
      После
      До
      Ортопедическое лечение
      Зятева Инна Владимировна
      Врач стоматолог-ортопед
      Хирургическое лечение
      Благушина Наталия Алексеевна
      Хирург-имплантолог, к.м.н., врач-эксперт, главный врач
      Терапевтическое лечение
      Кинзебулатова Анастасия Денисовна
      Врач стоматолог-терапевт
      Циркониевая коронка
      41 900 ₽
      Записаться
      Лечение кариеса
      -
      Смотреть подробнее
      После
      До
      Терапевтическое лечение
      Кинзебулатова Анастасия Денисовна
      Врач стоматолог-терапевт
      Лечение кариеса
      от 5 300 ₽
      Записаться
      Протезирование коронками из диоксида циркония
      Протезирование ранее установленных и интегрированных имплантатов Dentium коронками из диоксида циркония с винтовой фиксацией 46, 36, 37 зубы
      Смотреть подробнее
      После
      До
      Ортопедическое лечение
      Зятева Инна Владимировна
      Врач стоматолог-ортопед
      Хирургическое лечение
      Благушина Наталия Алексеевна
      Хирург-имплантолог, к.м.н., врач-эксперт, главный врач
      Циркониевая коронка на имплантате
      от 44 900 ₽
      Записаться
      Перепротезирование фронтальной группы зубов
      Ввиду неудовлетовориетльной эстетики и жалоб на боль при накусывании пациенту было предложено перепротезирование фронтальной группы зубов.
      Смотреть подробнее
      После
      До
      Терапевтическое лечение
      Рудометова Марина Алексеевна
      Стоматолог-терапевт, эндодонтист, врач-эксперт
      Хирургическое лечение
      Благушина Наталия Алексеевна
      Хирург-имплантолог, к.м.н., врач-эксперт, главный врач
      Ортопедическое лечение
      Зятева Инна Владимировна
      Врач стоматолог-ортопед
      Циркониевая коронка
      41 900 ₽
      Записаться
      Временное протезирование PMMA коронкой
      Временное протезирование PMMA коронкой с опорой на имплантат Dentium с винтовой фиксацией для завершения ортодонтического лечения
      После
      До
      Ортопедическое лечение
      Зятева Инна Владимировна
      Врач стоматолог-ортопед
      Временная коронка
      от 6 190 ₽
      Записаться
      Комплексное ортопедическое и хирургическое лечение
      Установка имплантата Штрауман на 12 зуб, хирургическое удлинение с коррекцией десневого края, временное и постоянное протезирование коронкой с опорой на имплантат
      После
      До
      Хирургическое лечение
      Благушина Наталия Алексеевна
      Хирург-имплантолог, к.м.н., врач-эксперт, главный врач
      Хирургия
      Оразова Лейли Юсуповна
      пародонтолог, хирург
      Ортопедическое лечение
      Зятева Инна Владимировна
      Врач стоматолог-ортопед
      Имплантация зубов
      от 34 900 ₽
      Записаться
      Коронка из диоксида циркония на имплантате
      В несколько посещений
      После
      До
      Ортопедическое лечение
      Масенков Вадим Иванович
      Врач стоматолог-ортопед
      Хирургическое лечение
      Благушина Наталия Алексеевна
      Хирург-имплантолог, к.м.н., врач-эксперт, главный врач
      Циркониевая коронка на имплантате
      от 44 900 ₽
      Записаться
      Восстановление разрушенного 26 зуба
      Восстановление разрушенного 26 зуба с помощью стекловолоконного штифта и протезирование e.max коронкой
      После
      До
      Ортопедическое лечение
      Зятева Инна Владимировна
      Врач стоматолог-ортопед
      Хирургическое лечение
      Благушина Наталия Алексеевна
      Хирург-имплантолог, к.м.н., врач-эксперт, главный врач
      Терапевтическое лечение
      Кинзебулатова Анастасия Денисовна
      Врач стоматолог-терапевт
      Керамическая коронка
      от 39 120 ₽
      Записаться
      Циркониевая коронка на имплантате
      Быстро и качественно
      После
      До
      Ортопедическое лечение
      Масенков Вадим Иванович
      Врач стоматолог-ортопед
      Хирургическое лечение
      Благушина Наталия Алексеевна
      Хирург-имплантолог, к.м.н., врач-эксперт, главный врач
      Циркониевая коронка на имплантате
      от 44 900 ₽
      Записаться
      Лечение кариеса и художественная реставрация (кейс 1)
      Лечение кариеса и художественная реставрация зуба под микроскопом
      Смотреть подробнее
      После
      До
      Терапевтическое лечение
      Рудометова Марина Алексеевна
      Стоматолог-терапевт, эндодонтист, врач-эксперт
      Лечение кариеса
      от 5 300 ₽
      Записаться
      Имплантация зубов и пластика
      Пластика мягких тканей, восстановление объема десны вокруг имплантата
      После
      До
      Хирургия
      Хамидова Марина Мовсуровна
      врач первичного приема, хирург
      Имплантация зубов
      от 34 900 ₽
      Записаться
      Временная коронка
      На время изготовление постоянной циркониевой коронки
      После
      До
      Ортопедическое лечение
      Масенков Вадим Иванович
      Врач стоматолог-ортопед
      Временная коронка
      от 6 190 ₽
      Записаться
      Леч. кариеса 2х зубов и художественная реставрация (кейс 2)
      Лечение кариеса 2-х зубов и художественная реставрация под микроскопом
      Смотреть подробнее
      После
      До
      Терапевтическое лечение
      Рудометова Марина Алексеевна
      Стоматолог-терапевт, эндодонтист, врач-эксперт
      Лечение кариеса
      от 5 300 ₽
      Записаться
      Замена старой пломбы 4.7
      Пациент обратился со старой пломбой, установленной на изолирующую прокладку. Такие конструкции со временем становятся уязвимыми.
      После
      До
      Терапевтическое лечение
      Кинзебулатова Анастасия Денисовна
      Врач стоматолог-терапевт
      Пломба 1 поверхность
      10 100 ₽
      Записаться
      Коронки на зубы 45, 46
      Менее недели
      После
      До
      Ортопедическое лечение
      Зятева Инна Владимировна
      Врач стоматолог-ортопед
      Циркониевая коронка
      41 900 ₽
      Записаться
      Леч. кариеса 2-х зубов и художественное восст. их под микроскопом (кейс 3)
      Лечение кариеса 2-х зубов и художественное восстановление их под микроскопом
      После
      До
      Терапевтическое лечение
      Рудометова Марина Алексеевна
      Стоматолог-терапевт, эндодонтист, врач-эксперт
      Лечение кариеса
      от 5 300 ₽
      Записаться
      Восстановление и протезирование зубов диоксид-циркониевыми коронками
      Комплексное лечение передних зубов с восстановлением анатомии и установкой прочных коронок из диоксида циркония с керамическим покрытием цвета А2.
      Смотреть подробнее
      После
      До
      Ортопедическое лечение
      Зятева Инна Владимировна
      Врач стоматолог-ортопед
      Циркониевая коронка
      41 900 ₽
      Записаться
      Восстановление зубов циркониевыми коронками
      Функция и эстетика
      Смотреть подробнее
      После
      До
      Ортопедическое лечение
      Зятева Инна Владимировна
      Врач стоматолог-ортопед
      Терапевтическое лечение
      Рудометова Марина Алексеевна
      Стоматолог-терапевт, эндодонтист, врач-эксперт
      Циркониевая коронка на имплантате
      от 44 900 ₽
      Записаться
      Протезирование жевательной группы зубов на имплантатах
      Протезирование жевательной группы зубов на имплантатах
      После
      До
      Ортопедическое лечение
      Масенков Вадим Иванович
      Врач стоматолог-ортопед
      Хирургия
      Черепанов Антон Александрович
      хирург, врач первичного приема
      Имплантация зубов
      от 34 900 ₽
      Записаться
      Лечение кариеса и замена пломб перед ортодонтическим лечением
      Удалены старая пломба и ткани, поражённые кариесом. Эстетическая реставрация зуба композитом.
      Смотреть подробнее
      После
      До
      Терапевтическое лечение
      Рудометова Марина Алексеевна
      Стоматолог-терапевт, эндодонтист, врач-эксперт
      Лечение кариеса
      от 5 300 ₽
      Записаться
      Лечение на элайнерах. Кейс 1
      Лечение на элайнерах. Кейс 1.
      После
      До
      Ортодонтическое лечение
      Гогичайшвили Анита Георгиевна
      Ортодонт
      Лечение на элайнерах (2 пары)
      от 9 900 ₽
      Записаться
      Комплексное лечение жевательного отдела
      Восстановление зуба 4.7 с последующим планированием имплантации.
      Смотреть подробнее
      После
      До
      Терапевтическое лечение
      Кинзебулатова Анастасия Денисовна
      Врач стоматолог-терапевт
      Лечение кариеса
      от 5 300 ₽
      Записаться
      Циркониевые коронки на жевательные зубы. 3.5-3.6, 4.5-4.6
      Всего в несколько помещений
      После
      До
      Ортопедическое лечение
      Масенков Вадим Иванович
      Врач стоматолог-ортопед
      Циркониевая коронка
      41 900 ₽
      Записаться
      Лечение на элайнерах. Кейс 2
      Лечение на элайнерах. Кейс 2
      После
      До
      Ортодонтическое лечение
      Гогичайшвили Анита Георгиевна
      Ортодонт
      Лечение на элайнерах (2 пары)
      от 9 900 ₽
      Записаться
      Комплексное восстановление жевательных зубов
      Клинический случай комплексного восстановления жевательных зубов с использованием микроскопа и современных композитных материалов
      Смотреть подробнее
      После
      До
      Терапевтическое лечение
      Кинзебулатова Анастасия Денисовна
      Врач стоматолог-терапевт
      Лечение кариеса под микроскопом
      от 8 900 ₽
      Записаться
      Тотальная реабилитация
      Тотальная реабилитация керамокомпозитными протезами с фрезерованной балкой с опорой на 4 имплантата на верхней и 4 имплантата на нижней челюсти
      После
      До
      Ортопедическое лечение
      Зятева Инна Владимировна
      Врач стоматолог-ортопед
      Протезирование зубов
      от 39 120 ₽
      Записаться



      Как нас найти

      Лицензии



      • Протезирование зубов
        • Протезы на имплантатах
          • All-on-4 имплантация (полный на 4 имплантах)
          • Имплантация All-on-6
        • Виниры
          • Виниры e.max
          • Керамические виниры на зубы
          • Циркониевые виниры
        • Керамические накладки
        • Коронки
          • Временные зубные коронки
          • Циркониевые коронки на зубы
        • Мостовидные протезы
        • Съемные протезы
          • Акриловый протез
          • Бюгельный протез
        • Накладки на зубы
        • Сплинт-терапия
      • Имплантация зубов
        • Имплантаты Dentium
        • Имплантаты Straumann (швейцарские)
        • Система имплантатов Osstem implant
        • Одномоментная имплантация
        • Имплантация по шаблону
        • Зубы за 1 день
        • Имплантация одного зуба
        • Имплантация двух зубов
        • Имплантация передних зубов
        • Имплантаты Astra Tech
        • Имплантаты Anyone (Корея)
        • Имплантаты NeoBiotech (Корея)
        • Имплантаты AlfaBio (Израиль)
        • Имплантаты Nobel Biocare
        • Имплантаты Ankylos (Германия)
        • Имплантаты MIS (Израиль)
        • Имплантаты SGS (Швейцария)
        • Имплантаты XIVE (Германия)
        • Имплантация Inno
        • Скуловая имплантация
      • Консультация врача-стоматолога
        • По направлениям
          • Консультация гигиениста
          • Консультация детского ортодонта
          • Консультация имплантолога
          • Консультация ортодонта
          • Консультация стоматолога-ортопеда
          • Консультация стоматолога-терапевта
          • Консультация стоматолога-хирурга
        • Онлайн консультация стоматолога
        • Первичная консультация
      • Профессиональная гигиена и отбеливание
        • Отбеливание зубов
          • Домашнее отбеливание
          • Отбеливание зубов системой WhiteSpeed Zoom 4
        • Профессиональная гигиена (чистка зубов)
          • Air Flow
          • Механическая чистка зубов
          • Полировка пастами
          • Ультразвуковая чистка зубов
          • Чистка зубов на аппарате Prophylaxis Master
          • Чистка и удаление зубного камня
      • Эстетическая стоматология
        • Винир композитный терапевтический
        • Восстановление зубов вкладками
        • Голливудская улыбка
        • Реставрация зубов
      • Ортодонтия
        • Исправление прикуса
          • Исправление глубокого прикуса
          • Исправление дистального прикуса
          • Исправление мезиального прикус
          • Исправление открытого прикуса
          • Исправление перекрестного прикуса
        • Лечение на брекет-системе
          • Лигатурные брекеты
          • Самолигирующие брекеты
            • Брекеты H4
            • Металлические брекеты
            • Установка керамических брекетов в Москве
        • Лечение на элайнерах
          • Элайнеры 3D Smile
          • Элайнеры Flexilinger
          • Элайнеры Invisalign (Инвизилайн)
          • Элайнеры Spark
          • Элайнеры Star Smile (СтарСмайл)
          • Элайнеры Ulybainers
        • Ретенционные каппы
      • Терапевтическая стоматология
        • Лечение зубов
          • Герметизация фиссур зубов
          • Лечение кариеса
          • Лечение некариозных дефектов
        • Лечение каналов (эндодонтия)
          • Лечение кисты зуба
          • Лечение периодонтита
          • Лечение пульпита зуба
          • Пломбирование каналов зуба
          • Удаление зубного нерва
          • Чистка каналов зуба
        • Лечение зубов под микроскопом
        • Лечение клиновидного дефекта
        • Эндодонтическое лечение зубов
      • Пародонтология
        • Кюретаж пародонтальных карманов
          • Закрытый кюретаж
          • Лазерный кюретаж
          • Лоскутная операция
          • Открытый кюретаж
        • Закрытие рецессии десны
        • Лечение пародонтита
        • Увеличение объема мягких тканей
      • Лечение зубов в кредит
        • Виниры в кредит
        • Коронки в кредит
        • Протезирование зубов в кредит
      • Хирургическая стоматология
        • Зубосохраняющие операции
          • Аутотрансплантация зубов
          • Резекция верхушки корня зуба
        • Костнопластические операции
          • Наращивание костной ткани
          • Синус-лифтинг
        • Удаление зубов
          • Удаление зуба мудрости
      • Диагностика
        • Рентгенологическое исследование
        • Цифровое сканирование зубов
      • Лечение зубов у молодого специалиста
      • Детская стоматология
        • Гигиена и профилактика для детей
          • Герметизация фиссур у детей
          • Диагностика состояния зубов у детей
          • Профессиональная гигиена зубов у детей по протоколу GBT
          • Профилактические осмотры ребенка у стоматолога
          • Фторирование зубов и ремотерапия
        • Детская стоматологическая хирургия
          • Пластика уздечек с использованием лазерных технологий
          • Пластика уздечки губы ребенку
          • Пластика уздечки языка у ребенка
          • Удаление зубов мудрости у подростков
          • Удаление молочных зубов у детей
        • Лечение болезней зубов и десен
          • Лечение гингивита у детей
          • Лечение зубов детям под микроскопом
          • Лечение кариеса молочных зубов
          • Лечение некариозных поражений и флюороза у детей
          • Лечение периодонтита у детей
          • Лечение постоянных зубов у детей, подростков
          • Лечение пульпита у детей
          • Реставрация молочных зубов и коронки на молочные зубы
        • Ортодонтия (исправление прикуса)
          • Брекеты для детей и подростков
          • Исправление прикуса у детей
          • Капы для выравнивания зубов у подростков
          • Мини-винты и пластины при брекет-лечении
          • Ортодонтические аппараты для детей
      • Лечение зубов в рассрочку
        • Имплантация зубов в рассрочку
        • Протезирование зубов в рассрочку
        • Имплантация All-on-4 в рассрочку
        • Брекеты в рассрочку
        • Рассрочка на виниры
        • Лечение зубов детям в рассрочку
        • Коронки в рассрочку
        • Элайнеры в рассрочку

      Современная медицина без страха и боли. Наша клиника – на страже Вашего здоровья!

      Имеются противопоказания. Необходима консультация специалиста
      Компания
      О нас
      Блог
      Лицензии
      Гарантии
      Партнеры и поставщики
      Отзывы
      Реквизиты
      ДМС
      Налоговый вычет
      Корпоративная программа
      Новости
      Вакансии
      Услуги
      Протезирование зубов
      Имплантация зубов
      Консультация врача-стоматолога
      Профессиональная гигиена и отбеливание
      Эстетическая стоматология
      Ортодонтия
      Терапевтическая стоматология
      Пародонтология
      Лечение зубов в кредит
      Хирургическая стоматология
      Диагностика
      Лечение зубов у молодого специалиста
      Детская стоматология
      Лечение зубов в рассрочку
      Правовая информация
      +7 (495) 032-10-17
      +7 (495) 032-10-17
      Заказать звонок
      E-mail
      info@ulybka.pro
      Адрес
      УлыбкаPRO: г. Москва, 3-й Автозаводский проезд, 4
      УлыбкаPRO'fi: г. Москва, ул. Автозаводская, 7
      Режим работы
      пн-вс 9:00-21:00
      Мы в соцсетях
      Онлайн оплата Онлайн запись
      Заказать звонок
      info@ulybka.pro
      УлыбкаPRO: г. Москва, 3-й Автозаводский проезд, 4
      УлыбкаPRO'fi: г. Москва, ул. Автозаводская, 7
      Онлайн оплата Онлайн запись

      Исключительные права на материалы сайта ulybkamsk.ru в соответствии со ст. 1229 Гражданского кодекса РФ принадлежат их правообладателю. Любое использование данных материалов возможно только с письменного согласия правообладателя. При неправомерном использовании материалов сайта третьими лицами без вышеуказанного письменного согласия правообладателя влечет ответственность в соответствии с действующим законодательством РФ о защите исключительных прав. Информация на сайте носит исключительно ознакомительный характер. Все материалы и цены, размещенные на сайте, не являются публичной офертой, определяемой положениями ст. 437 ГК РФ.
      Мы используем файлы cookie (файлы с данными о прошлых посещениях сайта) для Вашего удобства и нормального функционирования сайта. Порядок обработки персональных данных содержится в Политике обработки персональных данных.

      © 2025 ООО "СТОМАТОЛОГИИ МСК". ОГРН 1167746456151
      Версия для слабовидящих
      0

      Корзина

      Очистить корзину

      Ваша корзина пуста

      Исправить это просто: выберите в каталоге интересующий товар и нажмите кнопку «В корзину»
      В каталог
      Услуги Врачи Акции Цены Записаться

      Подождите

      Предлагаем закрепить стоимость лечения за Вами!

      В дальнейшем Вы сможете пройти лечение по текущим ценам!

      Нажимая на кнопку “Закрепить цены”, вы даете согласие на обработку своих данных

      Или позвоните нам

      +7 (495) 032-10-17


      Спасибо за заявку!