Циркониевые коронки на импланты
Циркониевые коронки на имплантах — когда это оптимальный выбор
Циркониевые коронки на имплантах — долговечное и эстетичное решение для протезирования одного или нескольких зубов на имплантах. Каркас из диоксида циркония фрезеруется по цифровому слепку и точно садится на абатмент импланта, облицовка выполняется керамикой для естественного цвета и прозрачности.
В клинике УлыбкаPRO циркониевая коронка на имплант выполняется по цифровому протоколу: внутриротовое сканирование, проектирование в CAD/CAM и фрезерование каркаса. Поддерживаем два типа фиксации — винтовую и цементную; выбор — по клинической ситуации (подробно в разделе «Этапы установки» ниже).
Если нужна сама имплантация — см. страницу имплантации или общие схемы протезирования на имплантах. При полной адентии чаще всего фиксируем циркониевый протез на All-on-4 или All-on-6. Если коронка нужна на живой зуб — смотрите циркониевые коронки (диоксид циркония).
Запросы по SEO-панели: циркониевая коронка на имплант, циркониевые коронки на имплантах, цирконий на имплант цена, циркониевые коронки для зубов.
Наши работы
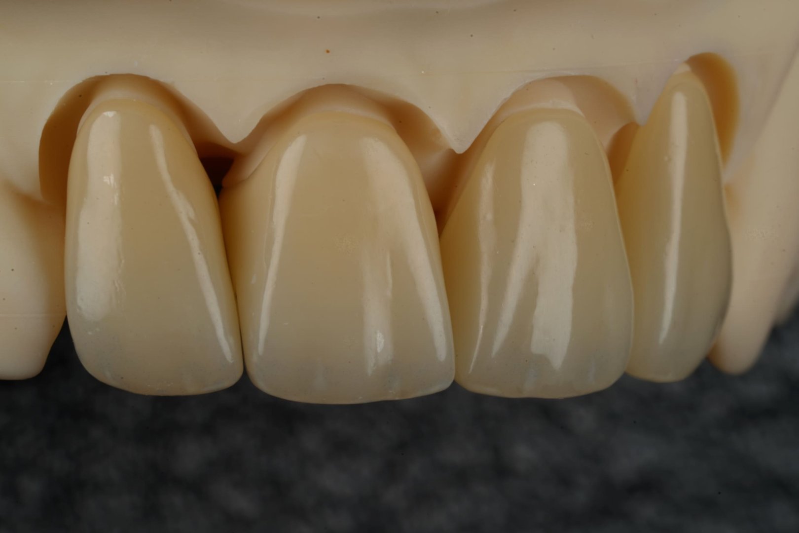
Фото наших циркониевых коронок
Показываем настоящие коронки из диоксида циркония, изготовленные в нашей клинике. Качество материала, точность посадки, естественный вид — всё видно на фото.






Что такое циркониевая коронка на имплант
Циркониевая коронка на имплант — это искусственный зуб из диоксида циркония. Её ставят на абатмент, который соединяется непосредственно с имплантом, вживлённым в кость.
Диоксид циркония — материал, который выдерживает большие нагрузки, поэтому коронки из него ставят чаще на жевательные зубы. Он не раздражает десну, редко вызывает аллергию и позволяет десневому краю оставаться ровным и здоровым.
Цирконий ценят не только за прочность. Он позволяет добиться не просто цвета, а прозрачности, характерной для живой эмали. В сочетании с цифровым моделированием коронка копирует соседние зубы — по форме, контуру, посадке. Это даёт и комфорт при жевании, и естественный вид.
Цифровые технологии и гарантии
Мы работаем с цифровыми технологиями — CAD/CAM системы позволяют делать абатменты и коронки точно под конкретного человека, под его анатомию. Все детали, включая план лечения и гарантии, заранее фиксируем в договоре.
Виды циркониевых коронок на импланты
Монолитные циркониевые коронки
Полностью делаются из диоксида циркония — никакой керамической облицовки сверху, только сам материал. Достаточно прочные, чтобы справляться с нагрузкой при пережевывании пищи. Чаще всего выбирают для жевательных зубов, на которые приходится основное давление.
Циркониевые коронки с керамическим покрытием
Конструкция комбинированная. Внутри — прочный циркониевый каркас, снаружи — слой керамики, который отвечает за внешний вид. За счет этого хорошо подходят для передних зубов, где важна эстетика.
Разница между ними в основном сводится к тому, что важнее для конкретного зуба — прочность или эстетика.
Абатмент для коронки на имплант: зачем он нужен
Что такое абатмент
Абатмент — это соединительный элемент между имплантом (искусственным корнем) и коронкой (видимой частью зуба). Коронка не ставится прямо на имплант — сначала фиксируется абатмент, а уже на него — коронка. От абатмента зависят точность посадки, эстетика десневого края и общий комфорт конструкции.
Когда нужен индивидуальный абатмент
3D-МОДЕЛИРОВАНИЕ
ИДЕАЛЬНАЯ ПОСАДКА
Стандартный абатмент подходит не всегда. Индивидуальный изготавливают по 3D-модели вашей челюсти, чтобы:
- • обеспечить идеальную посадку коронки
- • сформировать естественный контур десны
- • добиться максимальной эстетики, особенно в зоне улыбки
Что выбрать: циркониевый или титановый абатмент
ЦИРКОНИЙ
ТИТАН
Зона улыбки — белый цвет, не просвечивает, максимальная эстетика
Жевательные зубы — высокая прочность, цена ниже
Почему абатмент влияет на цену и результат
От абатмента зависят:
На консультации врач подберет оптимальный вариант под вашу клиническую ситуацию.
Как крепится циркониевая коронка на имплант
Коронка фиксируется на абатмент одним из двух способов. Выбор зависит от клинической ситуации, расположения зуба и конструкции импланта.
Винтовая фиксация
Коронка крепится винтом, который проходит через коронку и абатмент и вкручивается в имплант. Отверстие под винт закрывается пломбировочным материалом.
- ✓ Конструкция получается разборной — при необходимости коронку можно снять без повреждения
- ✓ Нет риска остатков цемента под десной
- ✓ Легче контролировать герметичность соединения
- — Эстетика чуть ниже — есть место доступа под винт
- — Требует точного расчета положения импланта
Цементная фиксация
Коронка фиксируется на абатмент с помощью стоматологического цемента. Соединение получается неразборным.
- ✓ Максимальная эстетика — нет видимого отверстия
- ✓ Технически проще в исполнении
- ✓ Подходит для большинства клинических случаев
- — При необходимости снять коронку сложнее (требуется распилить)
- — Излишки цемента, если не удалить, могут вызвать воспаление десны
Какой вариант лучше в вашем случае
Врач выбирает способ фиксации на этапе планирования, учитывая:
передний или жевательный
В УлыбкаPRO мы используем оба метода и всегда объясняем, почему в вашем случае выбран именно этот вариант.
Если имплант уже установлен: можно ли сразу поставить коронку?
Да. Если имплант уже стоит, циркониевую коронку можно установить в любой момент.
Главное — убедиться, что имплант в хорошем состоянии и готов к нагрузке.
Когда коронка ставится сразу
БЕЗ ОСЛОЖНЕНИЙЕсли имплант установлен давно, полностью интегрирован в кость, нет воспалений и разрушений — можно переходить к протезированию. Врач проверит состояние импланта, сделает 3D-сканирование и приступит к изготовлению коронки.
Когда нужна дополнительная диагностика
ЧЕК-ЛИСТПеред установкой коронки важно убедиться, что:
Для этого проводится осмотр, рентген или КТ. В 95% случаев проблем не возникает.
Когда требуется замена старой коронки
ОБНОВЛЕНИЕЕсли у вас уже стояла коронка на импланте, но она:
Циркониевая коронка станет надежной заменой. Врач снимет старую конструкцию, оценит состояние абатмента и импланта, затем изготовит новую коронку.
Важно: если абатмент был установлен под старую коронку, может потребоваться его замена — особенно если новый материал требует других параметров посадки. Это уточняется на диагностике.
Не уверены, подойдет ли цирконий на ваш имплант? Приходите на консультацию — врач проверит состояние и скажет точно.
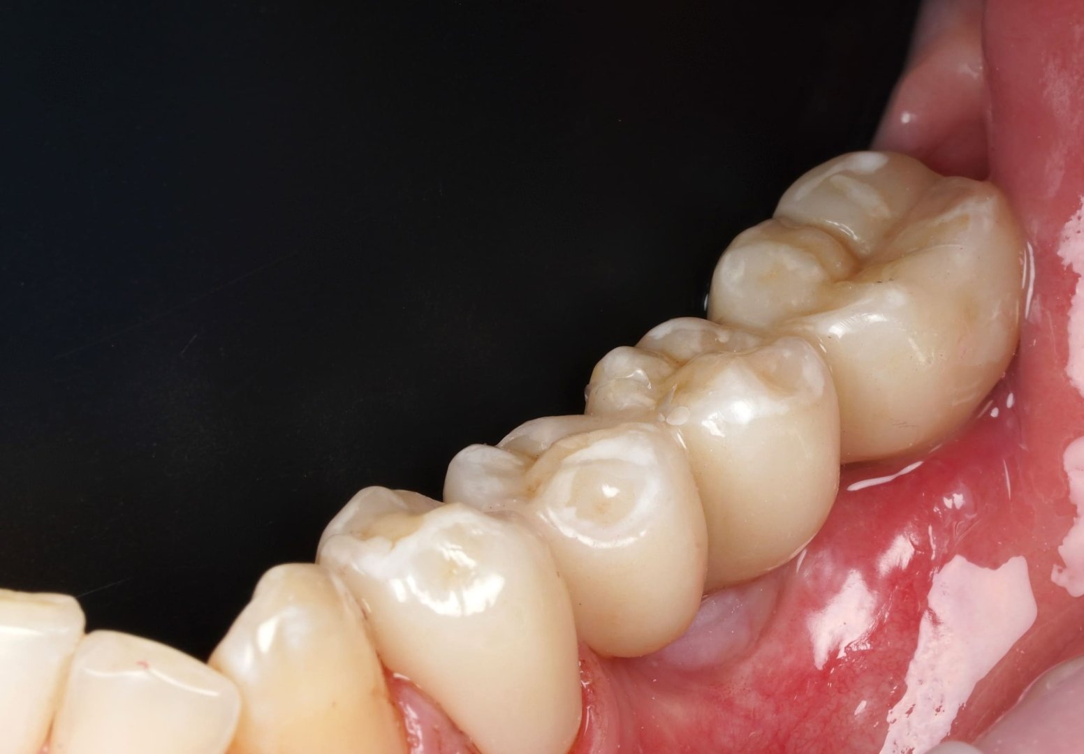
Наши работы
Коронка из диоксида циркония на имплантате
В несколько посещений
Показания к установке циркониевой коронки на имплант
Отсутствие зуба или требуется восстановление. Имплант — оптимальное решение по сроку службы и надёжности.
Полная или частичная адентия, когда съёмные протезы неудобны или плохо фиксируются.
Зона улыбки, где важна естественная эстетика и гармония цвета зубов.
Жевательные зубы, где нужна максимальная прочность конструкции.
Противопоказания и временные ограничения
Воспаления в полости рта — требуется санация.
Дефицит костной ткани — показана костная пластика.
Тяжёлые хронические болезни — только после консультации с врачом.
Острые инфекции — до стабилизации состояния.
Преимущества циркониевых коронок на имплантах
Эстетика
По цвету такие коронки практически не отличить от настоящих зубов. Материал передаёт прозрачность живой эмали.
Прочность и долговечность
Выдерживает высокие жевательные нагрузки. Срок службы — много лет без повреждений.
Отсутствие металла
Десна остаётся здоровой, не возникает раздражений и аллергических реакций. Нет серого ободка у линии десны.
Точная посадка
Абатмент и коронка идеально совмещаются благодаря цифровому расчёту и CAD/CAM технологиям.
Биосовместимость
Материал безопасен, не вызывает воспаления и не раздражает мягкие ткани.
Дополнительные преимущества циркониевых коронок на имплантах
Стабильность цвета
Цирконий не темнеет со временем и сохраняет естественный оттенок даже при длительной эксплуатации.
Надежность для импланта
Конструкция хорошо распределяет нагрузку и подходит для постоянного протезирования на имплантах.
Гигиеничность
Гладкая поверхность меньше задерживает налет, поэтому ухаживать за коронкой проще.
Точная анатомия
Цифровое моделирование помогает воспроизвести форму зуба и добиться комфортного смыкания.
Недостатки циркониевых коронок
Стоимость
Циркониевые коронки дороже металлокерамических. Разница обусловлена качеством материала и методом изготовления.
Требования к точности
Установка требует аккуратной работы врача и лаборатории для идеальной посадки.
Особенности ремонта
Восстановление повреждённой коронки сложнее, чем у металлокерамики.
Сравнение циркониевых коронок с другими материалами
| Критерий | Цирконий | Металлокерамика |
|---|---|---|
| Прочность | Высокая, не трескается под нагрузкой и подходит даже для жевательных зубов | Средняя, со временем может скалываться |
| Эстетика | Высокая, десна выглядит естественно | Средняя, есть металлический ободок |
| Влияние на десну | Не раздражает мягкие ткани, снижая риск воспалений | Может давать серый оттенок |
| Срок службы | 15+ лет | 8-10 лет |
| Рекомендуемая зона | Все зубы | Жевательные |
Цирконий — универсальное решение для любой зоны. Для передних зубов также хороша керамика, для жевательных — цирконий оптимален по прочности.
Керамические коронки
Керамика — прозрачнее, естественнее, лучше для передних зубов.
Фронтальная зона, только для низкой нагрузки.
Этапы установки циркониевой коронки на имплант
Осмотр и диагностика
30-40 минВрач осматривает состояние импланта, десны и соседних зубов. Оценивает готовность к протезированию.
3D-сканирование и планирование
20-30 минЦифровое сканирование для точного расчёта. На модели подбирают коронку по размеру и форме, чтобы она идеально легла на абатмент и вписалась в соседние зубы.
Изготовление в зуботехнической лаборатории
7-14 днейПо цифровым данным моделируют коронку из диоксида циркония с помощью CAD/CAM технологии.
Примерка и коррекция
20-30 минВрач примеряет готовую конструкцию, проверяет смыкание с соседними зубами, при необходимости корректирует.
Фиксация коронки
30-40 минКоронка фиксируется на абатмент с помощью специального цемента или винтового соединения. Врач следит, чтобы посадка была плотной, а контакт с десной — мягким и естественным.
В УлыбкаPRO все этапы проводятся с использованием цифрового оборудования и современного анестезиологического обеспечения. Это гарантирует точность установки, комфорт пациента и долгий срок службы коронки.
Срок службы импланта и коронки: в чем разница
Важно понимать: имплант и коронка — это две части одной конструкции, но у них разный жизненный цикл.
Сколько служит имплант
Сам имплант (искусственный корень) при правильной установке и уходе служит 20+ лет. Многие пациенты носят импланты десятилетиями без замены. Титан биоинертен, не разрушается и не требует замены, если нет осложнений.
Сколько служит коронка
Циркониевая коронка на импланте служит 15–20 лет. Это срок самой конструкции, которая подвергается жевательной нагрузке, контакту с пищей и внешним воздействиям.
Когда коронку меняют раньше импланта
Коронка может потребовать замены раньше, чем имплант, в следующих случаях:
Важно: сам имплант при этом остается на месте. Заменяется только коронка — это проще, быстрее и дешевле, чем повторная имплантация.
Как продлить срок службы
- ✓ Регулярная гигиена (щетка + нить/ирригатор)
- ✓ Контрольные осмотры каждые 6 месяцев
- ✓ Бережное отношение (не грызть твердое)
- ✓ Своевременное обращение при дискомфорте
Итог
Имплант — долгосрочная основа на десятилетия. Коронка — сменяемая часть, которая при правильном уходе служит 15–20 лет.
Гарантия на коронку и контроль после установки
Мы фиксируем все условия в договоре — никаких устных обещаний.
Целостность коронки
отсутствие сколов, трещин, деформаций
Качество фиксации
коронка надежно закреплена, не шатается
Герметичность посадки
нет зазоров между коронкой и абатментом
Срок гарантии и условия прописаны в договоре индивидуально под клинический случай.
Почему важен контроль после фиксации
После установки коронки мы назначаем контрольный визит. Это не формальность, а важный этап:
проверяем, как вы привыкли к коронке, нет ли дискомфорта, корректируем прикус при необходимости
оцениваем состояние десны, герметичность соединения, отсутствие воспалений
осмотр для продления срока службы конструкции
Что делать, если что-то пошло не так
Если вы заметили:
- • коронка шатается
- • появился дискомфорт или боль
- • изменился прикус
- • покраснела десна вокруг коронки
Не ждите планового осмотра. Позвоните — мы назначим визит, проверим и исправим. В большинстве случаев проблема решается без замены коронки.
Гарантия работает, когда вы соблюдаете рекомендации по уходу и приходите на контрольные осмотры. Мы всегда на связи.
Рекомендации по уходу за циркониевой коронкой
Чистите зубы мягкой щёткой дважды в день, используйте зубную нить или ирригатор
Контрольные осмотры — каждые 6 месяцев. Врач оценивает состояние импланта, коронки, окружающих тканей
Не грызите твердые предметы, не открывайте зубами упаковки. Берегите коронки от перегрузок
Заметили трещину, дискомфорт, смещение — обратитесь к врачу. Чем раньше, тем лучше
Циркониевая коронка на имплант: цена и что входит
Входит в стоимость
- Консультация и осмотр врача
- 3D-сканирование и компьютерное моделирование
- Изготовление циркониевой коронки (CAD/CAM)
- Стандартный абатмент (или индивидуальный — при необходимости)
- Фиксация коронки на имплант (винтовая или цементная)
- Контрольные осмотры после установки
Оплачивается отдельно
- Установка импланта — оплачивается отдельно, это хирургический этап
- Костная пластика — если требуется наращивание костной ткани
- Лечение сопутствующих заболеваний полости рта (кариес, воспаление десен)
- Профессиональная гигиена перед протезированием
В УлыбкаPRO стоимость обсуждается заранее — в смете учитываются все этапы: от консультации до контрольных визитов. Пациент видит полную картину до начала лечения.
От чего зависит цена
Тип коронки
СильноМонолитная дешевле, с керамическим покрытием — дороже
Абатмент
СреднеСтандартный — дешевле, индивидуальный — дороже
Система импланта
СильноРазные бренды имеют разную стоимость
Сложность клинического случая
СреднеАнатомические особенности, состояние десны
Лечение без финансовых забот
Когда предстоит серьёзное лечение, вопрос денег часто висит в воздухе и мешает спокойно дышать. Выход есть: беспроцентная рассрочка, которая оформляется прямо в клинике.
Никаких лишних звонков и походов по банкам — только вы, договор и чёткие гарантии на всё, что сделает хирург.
Частые вопросы
Сколько стоит циркониевая коронка на имплант?
В стоимость входит абатмент, каркас из циркония, керамическая облицовка и фиксация (винтовая или цементная). Точная цена рассчитывается после осмотра — подробности в разделах «Что входит в цену» и «От чего зависит цена» ниже.
Винтовая или цементная фиксация — что лучше?
Винтовая фиксация удобнее для коррекции и обслуживания, цементная — эстетичнее в зоне улыбки при определённом положении импланта. Выбор зависит от позиции импланта, прикуса и клинической задачи. Разбираем оба варианта в разделе «Этапы установки».
Чем циркониевая коронка на импланте лучше металлокерамики?
Диоксид циркония биосовместим, не даёт серой полоски у десны со временем и прочнее керамики на металле в долгосрочной перспективе. Металлокерамика остаётся рабочим вариантом, но в эстетической зоне большинство пациентов выбирают цирконий. Обычные циркониевые коронки на живой зуб работают по той же логике.
Сколько служит циркониевая коронка на импланте?
Сам имплант Straumann/Nobel — 20+ лет при нормальной гигиене. Коронка на циркониевом каркасе — 10–15+ лет. Ключевое условие — профгигиена каждые 6 месяцев и правильная окклюзия.
Можно ли поставить коронку сразу после имплантации?
Какая гарантия?
Гарантия на имплант Straumann/Nobel — пожизненная от производителя, на работу клиники — 2 года при соблюдении графика профгигиены. Подробности — на консультации.