Достигаем цен, ниже на 20% чем у конкурентов!
- собственная зуботехническая лаборатория;
- работаем без посредников и накруток — закупаем материалы напрямую у производителей;
- не переплачиваем за аренду — все наши кабинеты работают с максимальной загрузкой;
- врачи заинтересованы в результате — мы не гонимся за количеством, а строим долгосрочные отношения с пациентами.
Симптомы сопутствующие заболеванию
Гуттаперчевые штифты. Изготовлены из природного материала — гуттаперчи. Они обладают высокой биосовместимостью и долговечностью. Гуттаперча позволяет надежно заполнить и герметизировать корневые каналы.
Гуттаперчевые пасты. Используются в сочетании с штифтами для более полного заполнения пространства корневого канала.
Эпоксидные. Обладают высокой прочностью и устойчивостью к механическим воздействиям. Они обеспечивают герметичность и долговечность пломбирования.
Кальцийсодержащие. Способствуют регенерации костной ткани и обладают антимикробными свойствами.
Стеклоиономерные. Используются в качестве временных пломбировочных материалов. Обладают хорошей адгезией к тканям зуба.
Фосфатные. Применяются реже из-за меньшей прочности и долговечности.
Техника "горячей гуттаперчи". Позволяет заполнить даже самые мелкие и изогнутые каналы, обеспечивая максимальную герметичность.
Отзывы и рейтинги
Отзывы
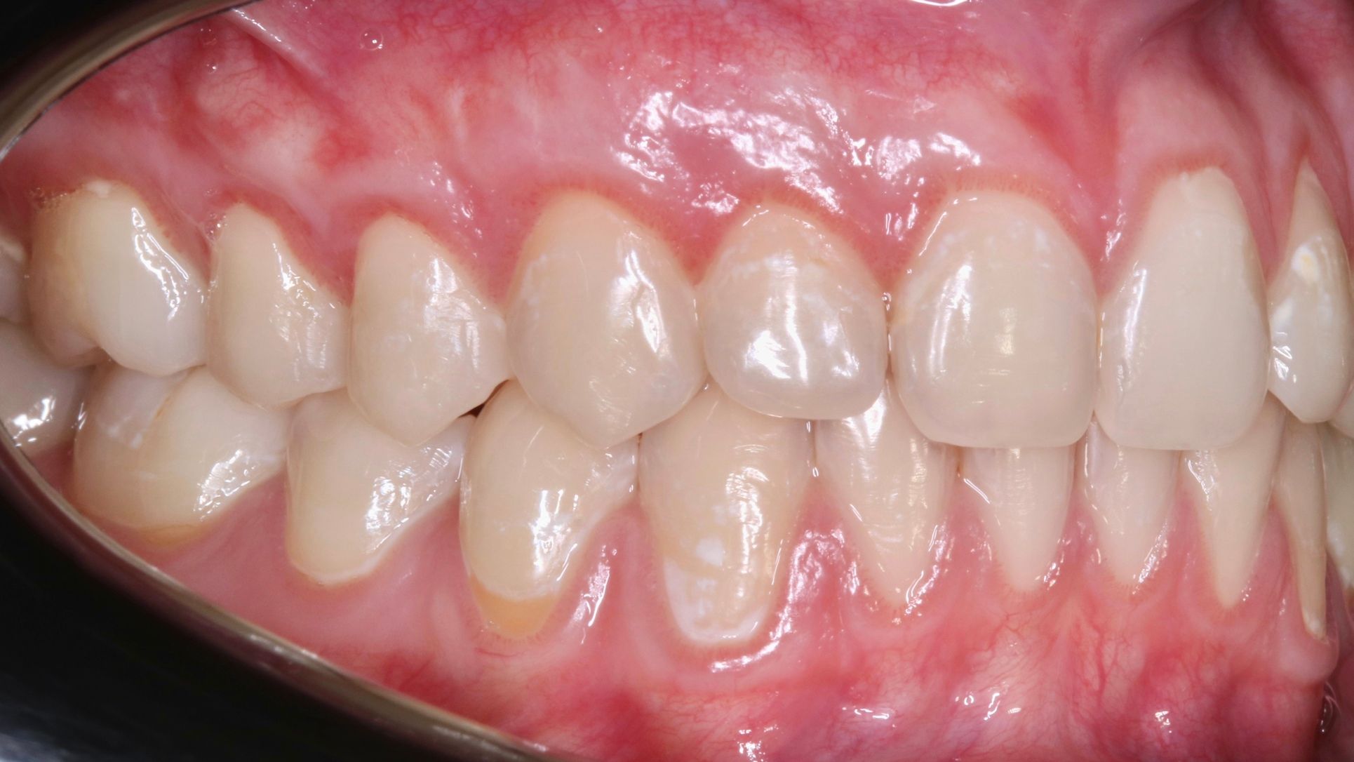
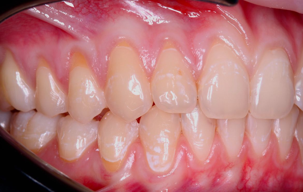
Степени и виды рецессии десны
Врачи
Ср 16.00 - 19.00
Сб 12.00 - 18.00
Пн 9.00-21.00
Ср 9.00-21.00
Пт 9.00-15.00
Сложно разобраться в плане лечения? Мы всё объясним по-человечески. Менеджер клиники «УлыбкаPRO»:
- ● расскажет, за что именно вы платите, и нет ли скрытых услуг;
- ● объяснит, почему в плане лечения именно такие позиции, зачем они нужны и можно ли что-то отложить;
- ● поможет сократить расходы, разделить оплату и подобрать удобный формат лечения;
- ● ответит на любые вопросы — без медицинского жаргона.
Почему оголяются корни зубов?
Вернём до 13% от стоимости лечения
Лечение может не только улучшить здоровье, но и вернуть часть потраченных средств!
Наша клиника имеет лицензию, которая позволяет получить налоговый вычет 13% на имплантацию, протезирование и другие виды лечения.
- Заключаем официальный договор;
- Готовим весь пакет документов;
- Предоставляем все чеки для налоговой.
Или свяжитесь с нами по телефону +7 (495) 032-10-17 ежедневно с 9:00 до 21:00.
Стоимость
Имплантация
Консультация
Коронки
Хирургия
Этапы лечения
-
Консультация и диагностика
На первом этапе проводится полное обследование полости рта, включающее осмотр десен, зубов и костной ткани. Для точной диагностики используются рентгеновские снимки (КТ) и фотопротокол. -
Консервативное лечение
На ранних стадиях рецессии десны возможно консервативное лечение, включающее наблюдение, профессиональную чистку зубов и улучшение гигиены полости рта. Врач может рекомендовать специальные зубные пасты и ополаскиватели для снижения чувствительности зубов и укрепления десен. -
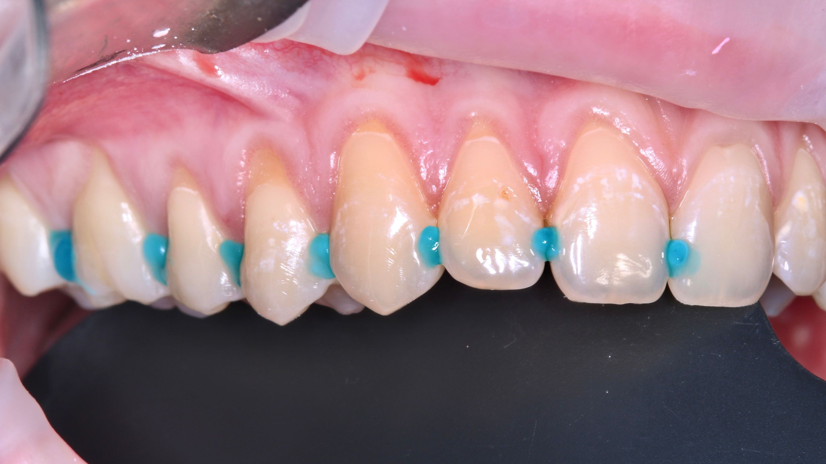
Хирургическое вмешательство
При более серьезных степенях рецессии может потребоваться хирургическое вмешательство. Основные методы включают:
Методика с использованием коронарно/апикально смещенного лоскута. В этой методике слизисто-надкостничный лоскут перемещается и фиксируется над оголенными корнями зубов для их закрытия.Туннельная методика. Создание туннеля, через который перемещается трансплантат с неба/бугра верхней челюсти для закрытия рецессии. -
Реабилитация и поддерживающая терапия
После хирургического вмешательства важно соблюдать рекомендации врача по уходу за ротовой полостью. Регулярные осмотры и профессиональная чистка помогут поддерживать здоровье десен и предотвратить рецессию в будущем.
Наши преимущества







