Циркониевые коронки (диоксид циркония) — когда выбрать и сколько стоят в Москве
Циркониевые коронки — несъёмные протезы из диоксида циркония, который по прочности близок к металлу, а по эстетике — к живому зубу. Коронки из диоксида циркония подходят для фронтальной эстетики, жевательного отдела и протезирования на имплантах. Цвет подбирается по шкале VITA, каркас фрезеруется по цифровому слепку на CAD/CAM.
В УлыбкеPRO мы делаем два типа циркониевых конструкций: монолитные коронки (максимальная прочность, жевательная зона) и коронки с керамической облицовкой (эстетика фронта). Для протезирования на имплантах используется отдельная посадочная — циркониевые коронки на имплантах.
Если нужна классическая имплантация с отдельными коронками — см. страницу имплантации. При полной адентии чаще выбирают All-on-4 или All-on-6 с циркониевым протезом. Альтернативные методы реабилитации описаны в разделе протезирование на имплантах.
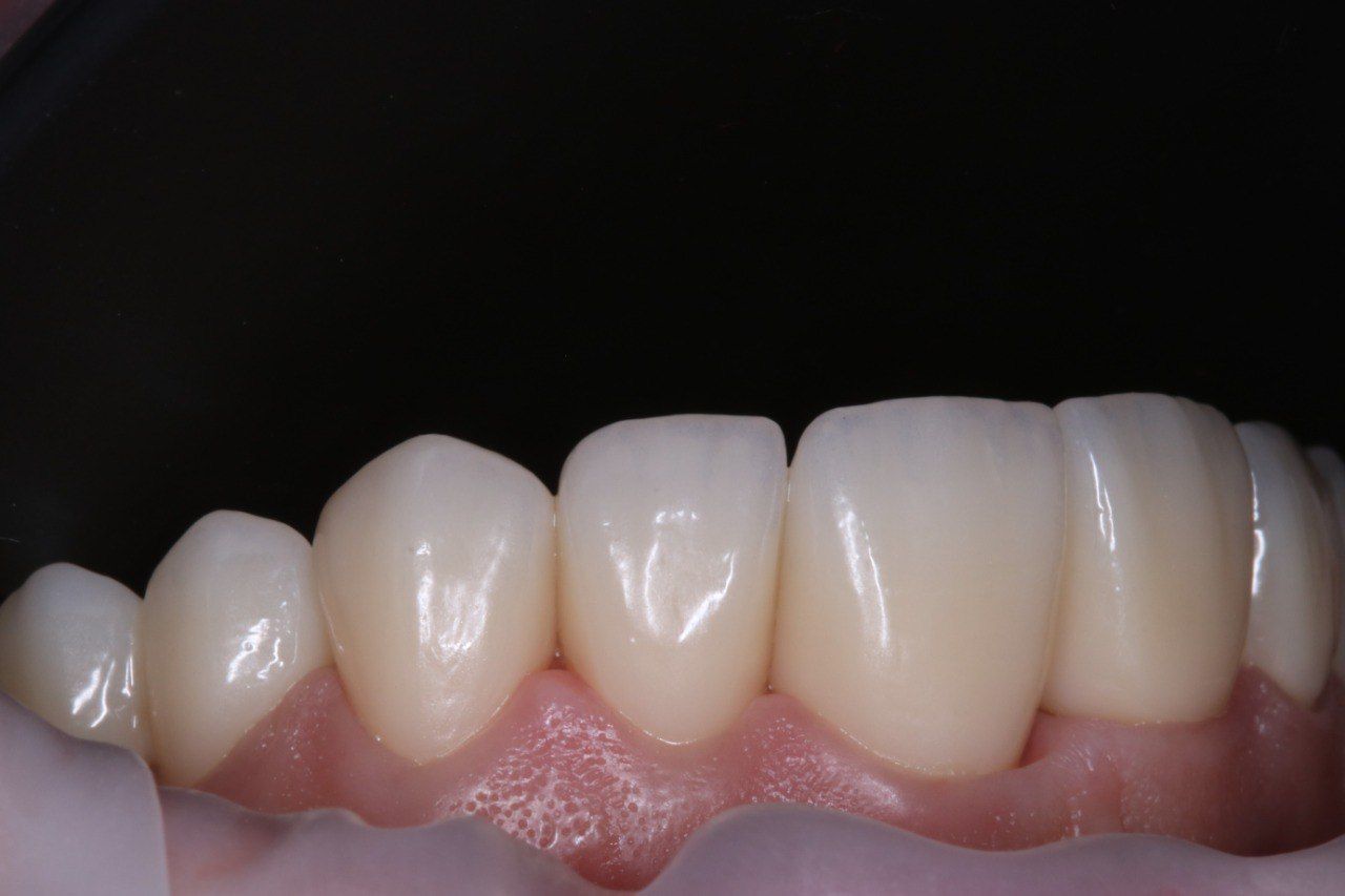
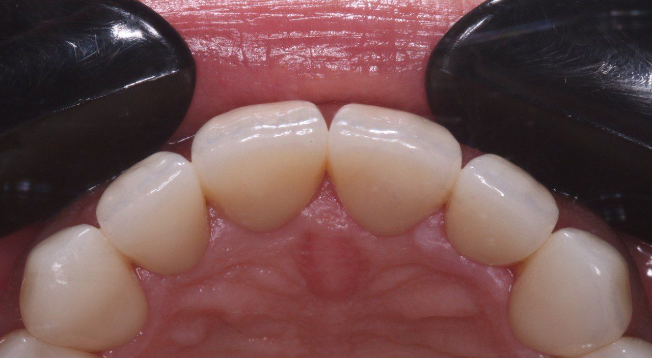
Наши работы
Фото наших циркониевых коронок
Показываем настоящие коронки из диоксида циркония, изготовленные в нашей клинике. Качество материала, точность посадки, естественный вид — всё видно на фото.










Циркониевые коронки — не «искусственный зуб», а улучшенная версия вашего
Прочность и долговечность
Эстетика и натуральность
А выглядят? Стоматолог с первого взгляда не отличит от своих.
Цвет подбираем индивидуально — не «унитазно-белый», а под ваши зубы. Прозрачность, переливы, естественные оттенки — всё как у натуральной эмали. Никакого «пластикового» вида.
Только диоксид циркония
Металлокерамику не ставим с 2020
Сканер Sirona Primescan
никакой «ложки»
Срок изготовления
CAD/CAM, своя лаборатория
Отзывы пациентов
15 последних отзывов наших пациентов в хронологическом порядке.
Виды циркониевых коронок
Монолитные
Вырезаны из цельного блока диоксида циркония. Прочность 1200 МПа — выдерживают любую нагрузку. Нет риска скола. Подходят для жевательных зубов (6–7–8) и бруксизма. Немного менее прозрачны, но это не заметно на задних зубах.
С керамической облицовкой
Циркониевый каркас + слой керамики. Максимальная эстетика: прозрачность, переливы, оттенки как у натуральной эмали. Идеальны для фронтальных зубов (1–5) и зоны улыбки. При бруксизме — только монолит.
На имплантах
Коронка фиксируется на абатмент — промежуточный элемент, соединяющий имплант и протез. Посадка — винтовая или цементная. Используем только диоксид циркония или E.max. Подробнее — страница циркониевых коронок на имплантах.
Мнение эксперта

Цитата врача«Коронки — это как «второе дыхание» для ваших зубов. Если зуб сильно повреждён, коронка станет его надёжной защитой, возвращая не только эстетику, но и функциональность. Современные коронки настолько естественно выглядят, что никто даже не заметит, что это не ваши родные зубы. К тому же, благодаря материалам — цирконию или керамике, они невероятно прочные и долговечные. Это идеальный выбор, если нужно восстановить зубы после травм или серьёзных разрушений — коронка защищает зуб от дальнейшего разрушения, улучшая его внешний вид.»
Почему мы не ставим металлокерамику
Многие клиники предлагают — дешевле на 10–15 000₽. Но вот о чём не говорят.
Цирконий: почему он лучше
— белый цвет по всей толщине. Навсегда.
— биоинертный материал, как титан.
— подходит 99,9% пациентов.
— пропускает свет, как родная эмаль.
— цирконий в 3 раза прочнее металлокерамики, поэтому зуб стачивается меньше.
— больше здоровых тканей остается, ниже риски и дольше срок службы.
Наша позиция:
металлокерамику не ставим. Только цирконий и керамика e.max.
Когда лучше выбрать цирконий, а когда e.max
Оба материала — лучшие на рынке. Но у каждого своя зона идеального применения.
Если важна максимальная прочность
Если важна максимальная прочность — выбирайте цирконий. Он в 3 раза прочнее e.max, идеален для жевательных зубов и высоких нагрузок.
Что выбрать при бруксизме
Что выбрать при бруксизме — монолитный цирконий. Он выдерживает повышенную нагрузку без риска сколов. E.max при сильном скрежетании может дать трещину.
Если важна максимальная эстетика во фронте
Если важна максимальная эстетика во фронте — выбирайте e.max. Его прозрачность максимально близка к натуральной эмали, идеален для передних зубов и зоны улыбки.
Не уверены, что подходит именно вам? На консультации врач покажет примеры работ, оценит ваш клинический случай и поможет выбрать оптимальный вариант.
Наши работы
Цены на циркониевые коронки
Актуальные цены на циркониевые коронки и связанные позиции
Добиваемся цен ниже,
чем у конкурентов
Сравнили ключевые услуги со средней ценой по Москве. Видно, где и на сколько вы экономите.
от цены Москвы
выгода
средней по Москве
| Услуга | Наша цена | Средняя по Москве | |
|---|---|---|---|
|
Циркониевая коронка, полноанатомическая, устойчивая к сколам
Рассрочка от 6 500₽ в мес. |
39 000 ₽
|
44 900 ₽
+5 900 ₽ · 13%
|
Записаться |
|
Коронка диоксид циркония на имплантате
Рассрочка от 4 500₽ в мес. Сейчас проходит акция |
53 900 ₽
|
60 400 ₽
+6 500 ₽ · 11%
|
Записаться |
|
Коронка циркониевая (промежуточная часть мостовидного протеза)
Рассрочка от 6 000₽ в мес. |
35 900 ₽
|
— | Записаться |
|
Постоянный протез с зубами из диоксида циркония в полную анатомию на титановой балке с винтовой фиксацией на 4 имплантатах
|
539 000 ₽
|
— | Записаться |
|
Постоянный протез с зубами из диоксида циркония с нанесением на титановой балке с винтовой фиксацией на 4 имплантатах
|
590 000 ₽
|
— | Записаться |
|
Постоянный протез с зубами из диоксида циркония с нанесением на титановой балке с винтовой фиксацией на 6 имплантатах
|
659 000 ₽
|
— | Записаться |
Точную цену для вашего случая назовем на консультации после осмотра и диагностики
Монолит или с керамикой — что выбрать?
Два варианта. Оба из диоксида циркония. Разница — в структуре и применении.
Вырезаны из цельного блока. 1200 МПа — выдерживают любую нагрузку. Немного менее прозрачные, но для «шестёрок» и «семёрок» это не критично. Их всё равно никто не видит.
Циркониевый каркас + слой керамики сверху. Максимальная эстетика: прозрачность, переливы, оттенки как у настоящей эмали. Идеально для резцов, клыков, премоляров.
Как выбрать?
- • Жевательные зубы (6–7–8)
- • Бруксизм (скрежетание)
- • Прочность важнее красоты
- • Передние зубы (1–5)
- • Зона улыбки
- • Нужна идеальная эстетика
Этапы установки коронки
Консультация и диагностика
Осматриваем зуб, снимаем КЛКТ или рентген, обсуждаем план лечения. Определяем, нужна ли предварительная подготовка (лечение каналов, нарощение культи).
Подготовка зуба
Депульпирование (удаление нерва) — если нерв воспалён или зуб сильно разрушен. Нарощение культи — чтобы создать достаточную опору для коронки.
Цифровой слепок и временная коронка
Сканируем Sirona Primescan — 15 секунд без рвотного рефлекса. Точность до 20 микрон. На период изготовления устанавливаем временную коронку.
Изготовление в лаборатории
Фрезерование по CAD/CAM из блока диоксида циркония. Подбор оттенка по шкале VITA. При необходимости — нанесение керамической облицовки.
Примерка и установка постоянной коронки
Проверяем посадку, цвет, прикус. Пациент оценивает результат. Фиксируем на профессиональный цемент. Коронка готова к полноценной нагрузке.
Цифровой протокол
| Параметр | Слепки (прошлый век) | Sirona Primescan (у нас) |
|---|---|---|
| Комфорт | Рвотный рефлекс — 5–7 минут мучений | Без рвотного рефлекса — 15 секунд сканирования |
| Точность | ±50–100 микрон (усадка материала) | ±20 микрон (лазерное сканирование) |
| Визуализация | Искажения при отливке модели Техник работает «на глаз» |
3D-модель сразу на экране — можете посмотреть CAD/CAM фрезерование — точность до микрона |
| Срок изготовления | 10–14 дней | 5–7 дней |
Итог: коронка садится точнее, служит дольше, делается быстрее. Это не маркетинг — просто современный стандарт. Мы работаем только так.
Точная посадка коронки: зачем нужны сканер и CAD/CAM
Как цифровой слепок повышает точность
SIRONA PRIMESCAN
20 МИКРОН
Как цифровой слепок повышает точность
Сканер Sirona Primescan создает 3D-модель с точностью до 20 микрон. Это в разы точнее, чем обычный слепок из массы.
Почему точная посадка влияет на срок службы
ДОЛГОВЕЧНОСТЬ
БЕЗ МИКРОТРЕЩИН
Почему точная посадка влияет на срок службы
Коронка, которая сидит идеально, не расшатывается, не дает микротрещин, не создает постоянной нагрузки на край. Результат — служит годами без проблем.
Как это связано с комфортом и герметичностью
НЕТ ЗАЗОРОВ
ЗАЩИТА ОТ КАРИЕСА
Как это связано с комфортом и герметичностью
Нет зазоров = нет набивания еды, нет риска вторичного кариеса, нет дискомфорта при жевании. Коронка ощущается как свой зуб.
Сколько времени занимает
Сколько служит циркониевая коронка
15–20 лет службы: реально?
Да, если соблюдать простые правила. Нет — если игнорировать.
Препарирование, цемент, посадка — сделано правильно = десятилетия службы.
Щётка 2 раза в день + нить или ирригатор. Под краем коронки не должно быть налёта.
Гигиенист чистит там, куда щётка не достаёт. Обязательно.
Скрежетание зубами? Капа на ночь обязательна. Иначе скол.
Грызть твёрдое — орехи, кости, лёд. Нет.
Игнорировать профгигиену — кариес под коронкой.
Бруксизм без капы — скол керамики гарантирован.
Курение — воспаление дёсен, рецессия.
Плохая изначальная посадка — тут уже не спасти.
Наши гости
Знаменитости, которые доверяют нам свою улыбку
Вопросы и ответы
Срок службы циркониевых коронок
Циркониевые коронки служат обычно 15–20 лет и дольше при правильном уходе. Всё зависит от гигиены, прикуса и регулярных визитов к стоматологу.
Виды циркониевых коронок
Монолитные — вырезаны из цельного блока циркония. Максимальная прочность (1200 МПа). Идеальны для жевательных зубов (6–7–8), при бруксизме, когда нагрузка выше средней.
С керамическим покрытием — циркониевый каркас + слой керамики. Максимальная эстетика, прозрачность и естественный вид. Лучший выбор для передних зубов и зоны улыбки (1–5).
Также коронки различаются по назначению: одиночные, мостовидные (замена нескольких зубов подряд), на имплантах (фиксация на абатмент).
Какой вариант подойдет вам — врач определит на консультации после осмотра и диагностики.
Темнеет ли циркониевая коронка со временем?
Может ли быть аллергия на циркониевые коронки?
Как ухаживать за циркониевыми коронками?
Можно ли нарастить циркониевую коронку?
Желтеют ли циркониевые коронки?
Может ли треснуть или отколоться циркониевая коронка?
Когда лучше выбрать монолитную циркониевую коронку, а когда E.max?
Наши работы
Частые вопросы
Сколько стоит циркониевая коронка в Москве?
Цена циркониевой коронки в клинике УлыбкаPRO зависит от типа (монолитная или с керамической облицовкой), зоны (фронт или жевательная), объёма работ и того, есть ли необходимость препарирования/лечения опорного зуба. Подробнее — в разделе «От чего зависит цена» ниже на странице. Если речь о протезировании на импланте, смотрите циркониевые коронки на имплантах.
Чем циркониевые коронки отличаются от керамических и металлокерамики?
Диоксид циркония прочнее керамики и не содержит металлического каркаса, который даёт серую «полоску» у десны со временем. По сравнению с металлокерамикой — выигрывает в эстетике и биосовместимости, по сравнению с прессованной керамикой E.max — сильнее в жевательной зоне. Подробное сравнение — в разделе «Сравнение циркониевых коронок с другими материалами».
Сколько служит циркониевая коронка?
При правильной гигиене и отсутствии перегрузки — 10–15+ лет. Срок службы зависит от качества фрезеровки каркаса, точности посадки и прикуса. Подробности — в блоке «Срок службы» ниже.
Можно ли поставить циркониевую коронку на имплант?
Да, и это один из самых популярных вариантов постоянного протеза. Для таких случаев у нас есть отдельная страница — циркониевые коронки на имплантах: там подробно разбираем винтовую/цементную фиксацию, этапы и цены.
Больно ли ставить циркониевые коронки?
Все этапы — под местной анестезией. Препарирование опорного зуба безболезненно, при повышенной чувствительности подбираем подходящий анестетик. В день установки постоянной коронки — никакого дискомфорта.
Какие противопоказания?
Относительные противопоказания: сильный бруксизм без ночной каппы, невозможность обеспечить адекватную опору, активное воспаление пародонта. Абсолютных противопоказаний к цирконию как материалу нет — это биосовместимый материал. Подробности — в разделе «Противопоказания».