Виниры E.max — это современное решение в эстетической стоматологии, позволяющее вернуть зубам идеальную форму, цвет и прочность. Они изготавливаются из стеклокерамики (дисиликата лития) и относятся к категории премиальных керамических виниров, известных под брендом E.max. Они изготавливаются из литий-дисиликатной керамики, которая обладает уникальными эстетическими свойствами и высокой биосовместимостью. В данной статье мы подробно рассмотрим, что такое виниры E-max, их преимущества и недостатки, показания и противопоказания к установке, этапы установки, срок службы и рекомендации по уходу за ними.
Что это?
Литий-дисиликатная керамика, используемая для изготовления
виниров E-max, отличается высокой прочностью и устойчивостью к сколам и трещинам. Благодаря этому, виниры E-max можно устанавливать на передние зубы, обеспечивая им долгий срок службы и максимальную эстетику. Виниры E-max имеют естественный оттенок и прозрачность, что делает их незаметными на зубах и позволяет создать красивую улыбку.
Виниры. Стаж, знания, подход — в 3 раза выше, чем в обычных клиниках
Обычная стоматология
Цена на керамический винир e.max
Врач
Страна квалификации
Технологии
Гарантия

УлыбкаPROцифровая стоматология
Цена на керамический винир e.max
Врач
Страна квалификации
Технологии
Гарантия

Хорошее место:
Честный рейтинг 5 из 5 на основе 1000+ отзывов
Отзывы и рейтинги
Отзывы
Преимущества и недостатки виниров E-max
Преимущества виниров E-max
Недостатки виниров E-max
Однако будьте уверены, что в нашей клинике УлыбкаPRO вы сможете пройти установку виниров E-max по доступной цене, особенно в период проведения акций и спецпредложений!
Виниры
Создаем идеальную улыбку с первого раза – без боли и дискомфорта
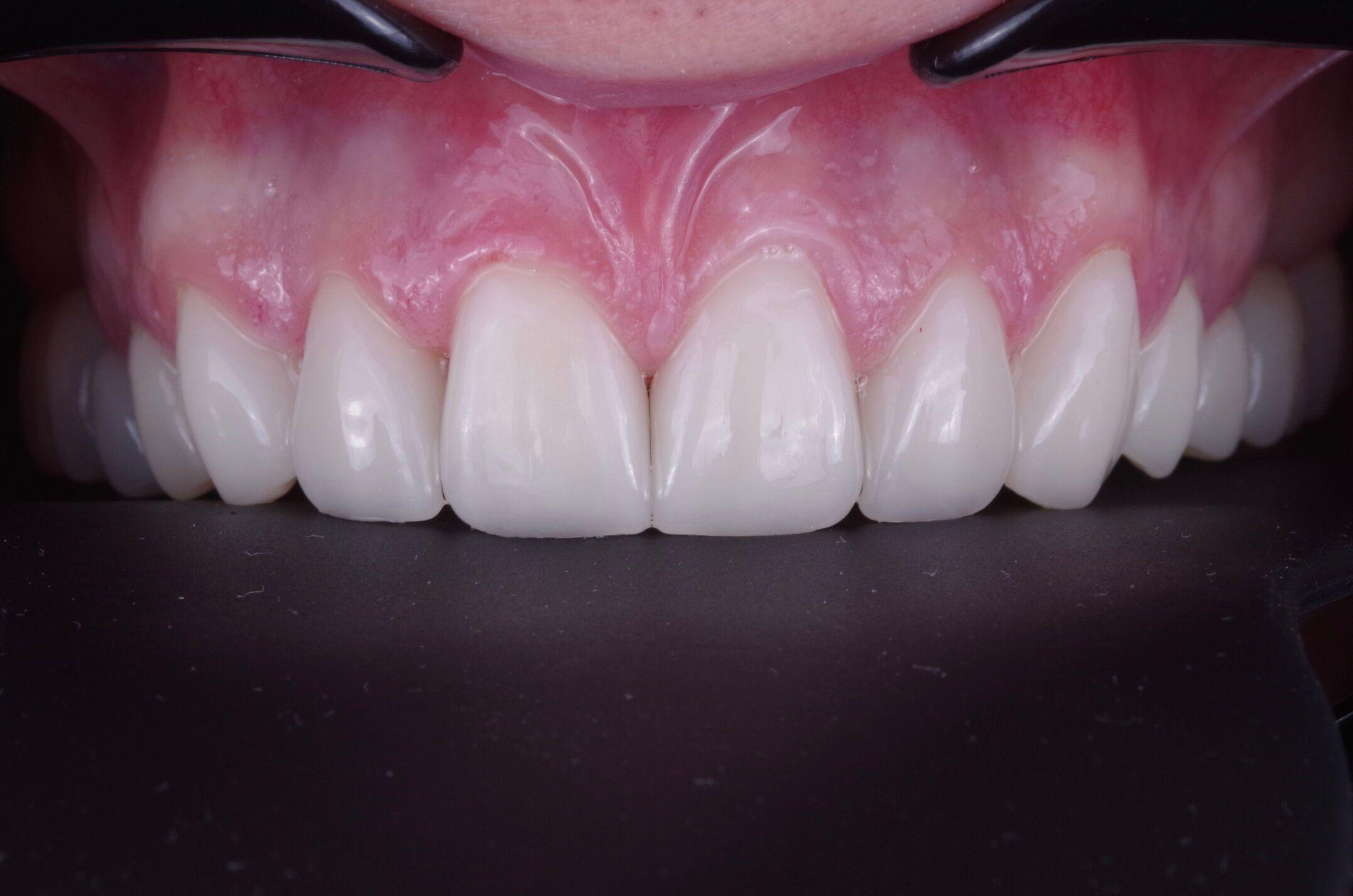
Мы используем ультратонкие прессованные керамические виниры последнего поколения – инновационное решение, которое обеспечивает идеальную эстетику и максимальную естественность. Благодаря современным технологиям мы добиваемся безупречного результата, сохраняя здоровье зубов и минимизируя необходимость обточки.
Высокая эстетика
Виниры имитируют естественный блеск и прозрачность эмали, создавая эффект «своих зубов».
Минимальная обточка
Сохраняем до 90% здоровых тканей зуба за счет ультратонкой структуры виниров.
Долговечность
Керамические виниры служат более 15 лет без потери цвета и оттенка.
Мгновенный эффект
Новая улыбка уже через 5–7 дней после начала лечения.
Показания и противопоказания
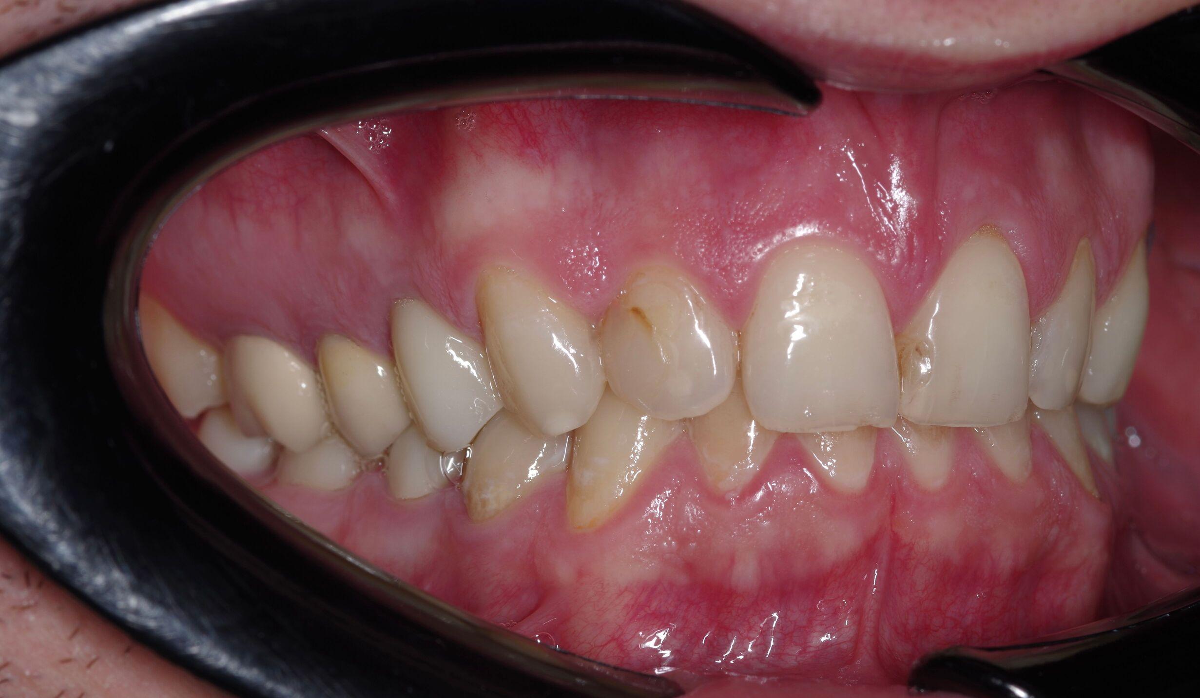
- Эстетические дефекты. Виниры E.max с работой под ключ особенно эффективны при эстетических дефектах передних зубов: диастемах, сколах, трещинах, неравномерной форме.
- Неправильная форма зубов. Коррекция формы зубов для улучшения их внешнего вида.
- Изменение цвета зубов. Виниры E-max могут использоваться для маскировки стойких пятен и изменения цвета зубов, которые не поддаются отбеливанию.
- Тяжелые заболевания десен и костной ткани. Перед установкой виниров необходимо вылечить все воспалительные процессы и стабилизировать состояние десен.
- Бруксизм. Сильное сжатие и скрежетание зубов может привести к повреждению виниров. В таких случаях необходимо предварительное лечение.
- Недостаточный объем зубной эмали. Для установки виниров требуется достаточный объем зубной эмали, чтобы обеспечить надежную фиксацию.
- Неправильный прикус. В некоторых случаях неправильный прикус может быть противопоказанием для установки виниров, так как это может привести к их быстрому износу или повреждению.
Достигаем цен, ниже на 20% чем у конкурентов!
- собственная зуботехническая лаборатория;
- работаем без посредников и накруток — закупаем материалы напрямую у производителей;
- не переплачиваем за аренду — все наши кабинеты работают с максимальной загрузкой;
- врачи заинтересованы в результате — мы не гонимся за количеством, а строим долгосрочные отношения с пациентами.
Стоимость
Консультация
Вернём до 13% от стоимости лечения
Лечение может не только улучшить здоровье, но и вернуть часть потраченных средств!
Наша клиника имеет лицензию, которая позволяет получить налоговый вычет 13% на имплантацию, протезирование и другие виды лечения.
- Заключаем официальный договор;
- Готовим весь пакет документов;
- Предоставляем все чеки для налоговой.
Или свяжитесь с нами по телефону +7 (495) 032-10-17 ежедневно с 9:00 до 21:00.
Врачи
Ср 16.00 - 19.00
Сб 12.00 - 18.00
Пн 9.00-21.00
Ср 9.00-21.00
Пт 9.00-15.00
Этапы установки
- Первичная консультация и диагностика
Пациент посещает стоматолога для осмотра и обсуждения желаемого результата. Врач проводит диагностику, КТ-снимки, цифровое сканирование, а также виртуальное цифровое моделирование будущей улыбки. Вы сможете оценить и увидеть своими глазами замечательный результат вашего лечения уже на первой консультации! Виниры E.max — это не просто керамические пластинки, а результат цифрового планирования, выверенной подготовки и ручной работы. Установка виниров E.max включает цифровое моделирование, изготовление в лаборатории и профессиональную фиксацию. - Подготовка зубов
Зубы подготавливаются к установке виниров. Этот этап включает минимальную обточку зубов для создания пространства под виниры. - Снятие слепков
Снимаются точные цифровые сканы зубов, которые отправляются в зуботехническую лабораторию для виртуального моделирования конструкции, а после - уже для изготовления индивидуальных виниров E-max, которыми занимаются мастера своего дела - обученные и опытные зубные техники, используя передовое оборудование. Такие цифровые виниры особенно точно повторяют индивидуальные особенности зубов и придают улыбке натуральный вид. - Временные виниры (Mock-up)
На время изготовления постоянных виниров пациенту устанавливаются временные накладки (“макет” будущей постоянной работы) для защиты подготовленных зубов и поддержания эстетики улыбки. - Примерка и установка
Готовые виниры примеряются на зубы пациента для проверки посадки и цвета. После одобрения пациентом виниры фиксируются на зубах с помощью специального стоматологического цемента. - Финальная полировка
После установки виниры полируются для достижения идеальной гладкости и естественного блеска.
Сложно разобраться в плане лечения? Мы всё объясним по-человечески. Менеджер клиники «УлыбкаPRO»:
- ● расскажет, за что именно вы платите, и нет ли скрытых услуг;
- ● объяснит, почему в плане лечения именно такие позиции, зачем они нужны и можно ли что-то отложить;
- ● поможет сократить расходы, разделить оплату и подобрать удобный формат лечения;
- ● ответит на любые вопросы — без медицинского жаргона.
Наши преимущества
Срок службы
Рекомендации врача по уходу за винирами E-max
- Гигиена полости рта
Регулярная чистка зубов, использование зубной нити и антисептических ополаскивателей помогут предотвратить накопление налета и развитие кариеса. - Избегайте чрезмерных нагрузок
Не используйте зубы для открытия бутылок или разгрызания твердых предметов (да-да, бывает и такое). Это поможет избежать повреждения виниров. - Регулярные визиты к стоматологу
Посещайте стоматолога не реже одного раза в полгода для профессиональной гигиены полости рта и контроля состояния виниров. - Избегайте окрашивающих продуктов
Старайтесь ограничить потребление продуктов и напитков, которые могут окрашивать виниры, таких как кофе, чай, красное вино и табак. - Используйте защитные капы
Если вы страдаете бруксизмом, используйте ночные капы для защиты виниров от износа и повреждений.







