УлыбкаPRO
УлыбкаPRO
Цифровая стоматология

Исправление прикуса с помощью брекетов H4: выравнивание зубов

Достигнуто полное исправление прикуса и выравнивание зубного ряда в точном соответствии с виртуальным 3D-планированием. Зубы заняли правильное положение, что нормализовало жевательную функцию. Улыбка обрела естественную красоту и гармонию, как и было спланировано заранее.

Результат лечения

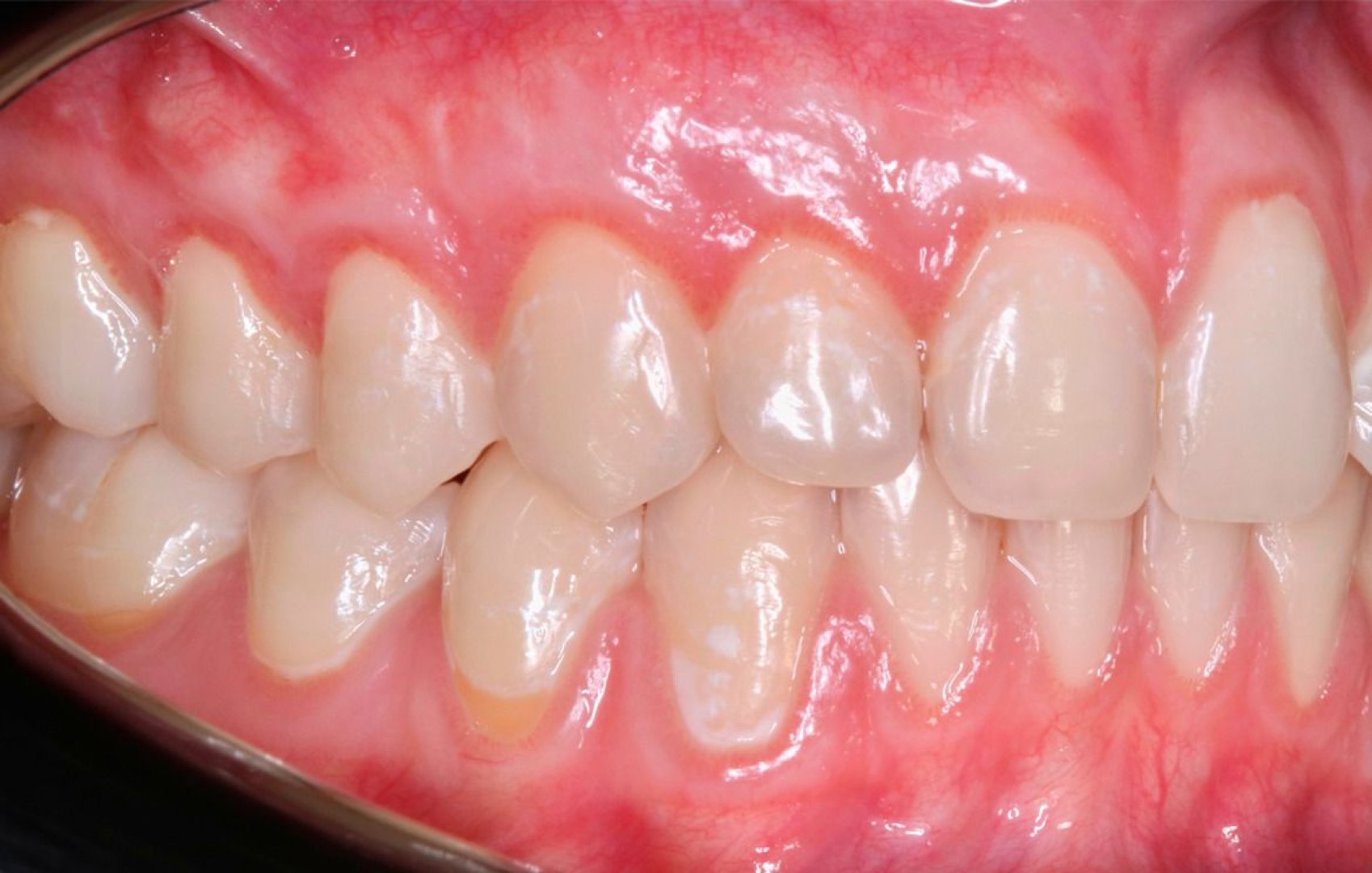
До

До

photo_1_2026-02-05_15-33-48
После

После

posle

Проблема пациента

Нарушение прикуса и неправильное положение зубов, что вызывало функциональные нарушения (сложности при пережевывании пищи) и эстетический дискомфорт, делая улыбку негармоничной.

Этапы лечения

1

Диагностика и 3D-планирование улыбки

Проведено полное ортодонтическое обследование, выполнено 3D-планирование улыбки, которое позволило визуализировать конечный результат лечения еще до его начала — пациент увидел свою будущую улыбку на экране. Изучены гипсовые модели челюстей и выполнены расчеты для планирования перемещения каждого зуба.

2

Фиксация брекет-системы H4

Установка высокоэффективной брекет-системы H4, позволяющей контролировать положение зубов на всех этапах лечения и добиваться предсказуемого результата даже в сложных клинических случаях.

3

Активное лечение

Период ношения брекетов с регулярной активацией дуг для постепенного перемещения зубов в правильное положение в соответствии с утвержденным 3D-планом.

4

Завершающий этап

Снятие брекет-системы и фиксация ретейнеров для закрепления достигнутого результата.

Результат

Достигнуто полное исправление прикуса и выравнивание зубного ряда в точном соответствии с виртуальным 3D-планированием. Зубы заняли правильное положение, что нормализовало жевательную функцию. Улыбка обрела естественную красоту и гармонию, как и было спланировано заранее.

Записаться на приём

Онлайн или по телефону

Беспроцентная рассрочка

Доступна рассрочка на лечение