УлыбкаPRO
УлыбкаPRO
Цифровая стоматология

Новая улыбка за несколько дней!

Прошло менее 2 недель!

Результат лечения

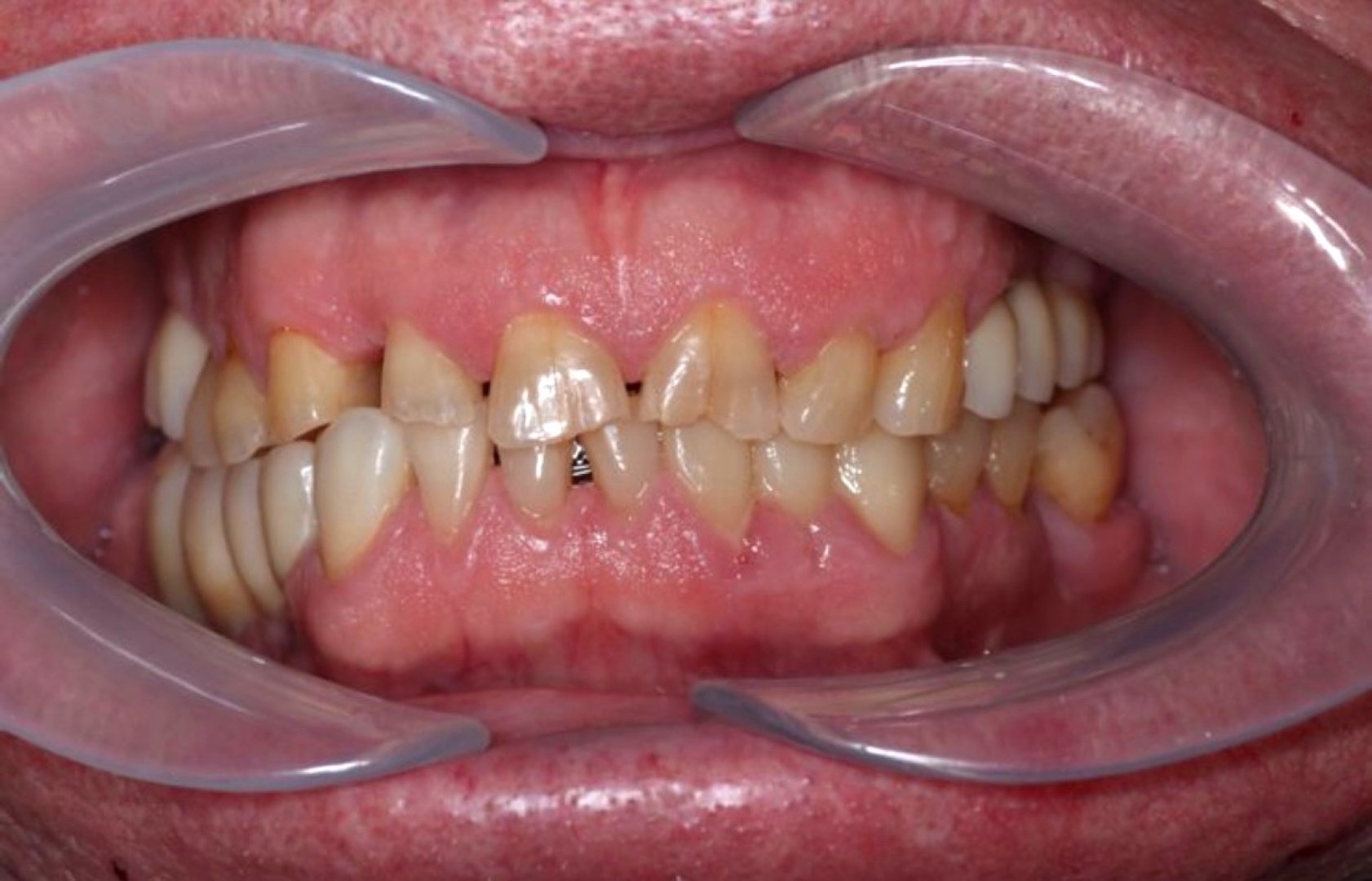
До

До

Новая улыбка за несколько дней!_before
После

После

Новая улыбка за несколько дней!_after

Стоимость лечения

Циркониевая коронка

67 000 ₽ 44 900 ₽

Записаться на приём

Онлайн или по телефону

Беспроцентная рассрочка

Доступна рассрочка на лечение