UlybkaPRO
УлыбкаPRO
Цифровая стоматология

Пластика десны и реставрация зубов

Результат лечения

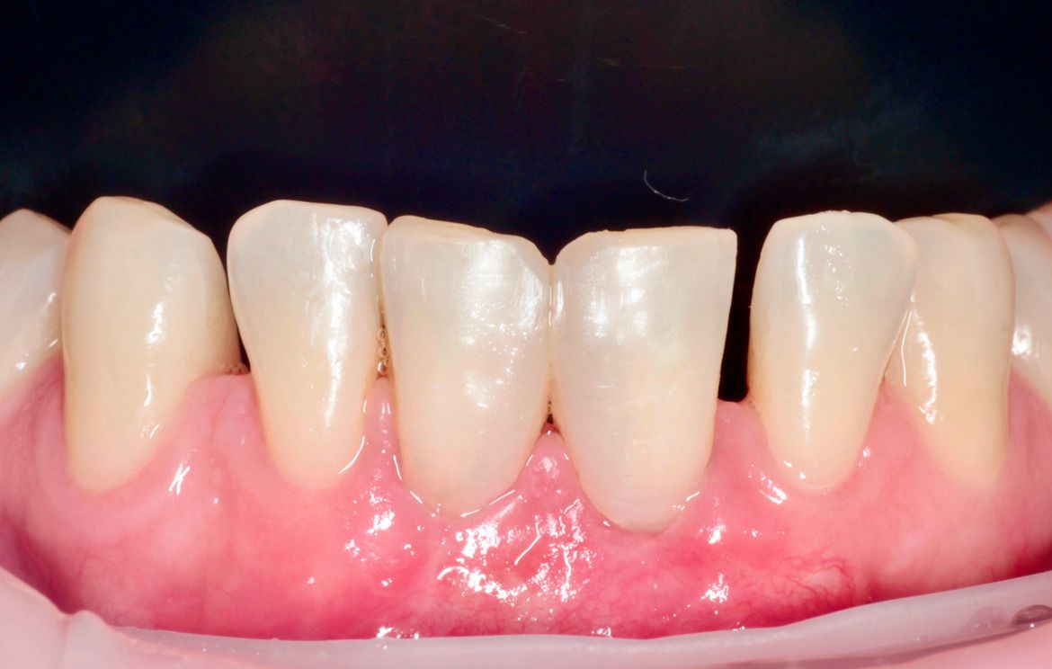
До

До

plastika-desny-i-restavratsiya-zubov-1
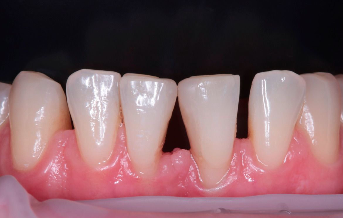
После

После

plastika-desny-i-restavratsiya-zubov-2

Проблема пациента

Рецессия десны (оголение корней) в области передних нижних зубов, приведшая к появлению неэстетичного черного треугольника (промежутка) между центральными резцами.

Этапы лечения

1

Хирургический этап

Проведение пластики десны (вероятно, лоскутная операция с использованием мягкотканного трансплантата) для закрытия рецессии и восстановления физиологического контура мягких тканей.

2

Терапевтический этап

После полного заживления десны (период 3 месяца) выполнена художественная реставрация зубов композитным материалом для коррекции формы, закрытия промежутка и гармонизации эстетики.

Результат

Достигнут стабильный эстетический результат: десневой контур восстановлен, корни прикрыты, неэстетичный черный треугольник между зубами устранен. Восстановлена естественная и гармоничная улыбка.

Стоимость лечения

Реставрация зуба фронтальной группы

11 900 ₽

Записаться на приём

Онлайн или по телефону

Беспроцентная рассрочка

Доступна рассрочка на лечение

Онлайн запись
Telegram MAX