UlybkaPRO
УлыбкаPRO
Цифровая стоматология

Установка имплантата с пластикой десны

Установка имплантата с пластикой десны в один этап. Фиксация коронки на имплантат через 3 месяца.

Результат лечения

До

До

ustanovka-implantata-s-plastikoy-desny-1
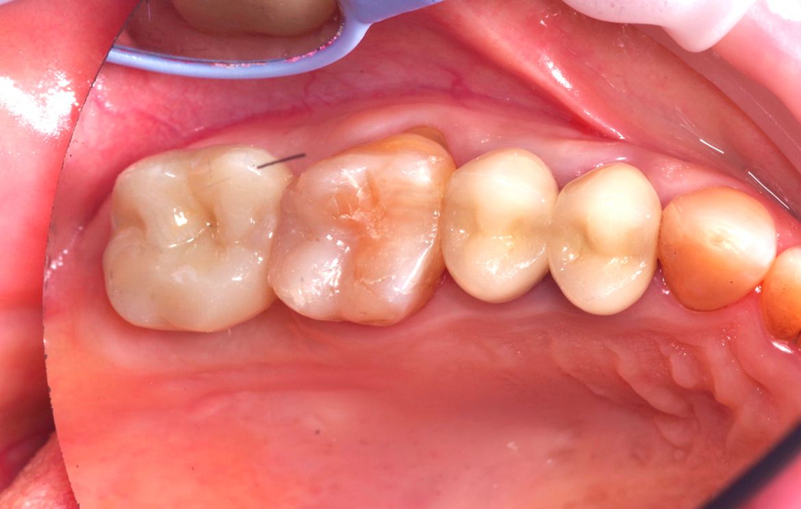
После

После

ustanovka-implantata-s-plastikoy-desny-2

Проблема пациента

Длительное (более 10 лет) отсутствие зуба на верхней челюсти слева привело к значительной убыли (атрофии) костной ткани и усадке десны в этой области, что осложняет эстетическое восстановление.

Этапы лечения

1

Хирургический этап (единовременно)

Установка зубного имплантата с одновременной пластикой десны (костная пластика или подсадка мягкотканного трансплантата) для восстановления утраченного объема тканей.

2

Остеоинтеграция

Период заживления длительностью 3 месяца, необходимый для приживления (интеграции) имплантата в кости.

3

Ортопедический этап

Снятие слепков, изготовление и постоянная фиксация искусственной коронки на установленный имплантат.

Результат

Полностью восстановлен отсутствующий зуб. Эстетический результат достигнут благодаря одновременному наращиванию объема десны, что обеспечило естественный и гармоничный контур мягких тканей вокруг новой коронки. Восстановлена жевательная функция и целостность зубного ряда.

Стоимость лечения

Имплантация Dentium Implantium

27 500 ₽

Записаться на приём

Онлайн или по телефону

Беспроцентная рассрочка

Доступна рассрочка на лечение

Онлайн запись
Telegram MAX