После проведений манипуляций по устранению рецессий и стабилизации десны в области 21 и 23, приступили непосредственно к протезированию: сняты первичные диагностические оттиски для моделирования будущих конструкций.
Обточка зубов 12-23 под дц коронки, ретракция 000 и 00 нитями, снятие рабочих оттисков а-силиконом, изготовление временных акриловых коронок прямым методом через силиконовый ключ, фиксация на TempBond.
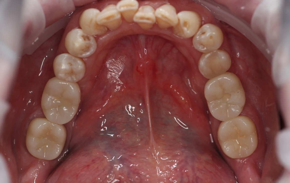
Готовая работа зафиксирована на сиц Fuji I через 7 дней.






