УлыбкаPRO
УлыбкаPRO
Цифровая стоматология

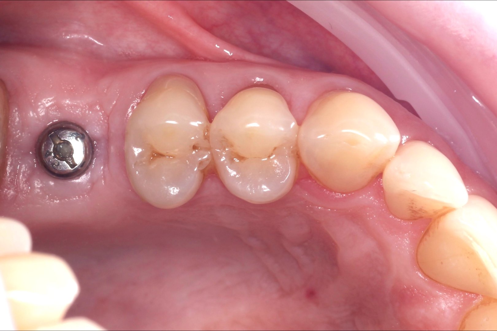
Циркониевая коронка на имплантате

Быстро и качественно

Результат лечения

До

До

Циркониевая коронка на имплантате_before
После

После

Циркониевая коронка на имплантате_after

Стоимость лечения

Циркониевая коронка

44 900 ₽

Записаться на приём

Онлайн или по телефону

Беспроцентная рассрочка

Доступна рассрочка на лечение