UlybkaPRO
УлыбкаPRO
Цифровая стоматология

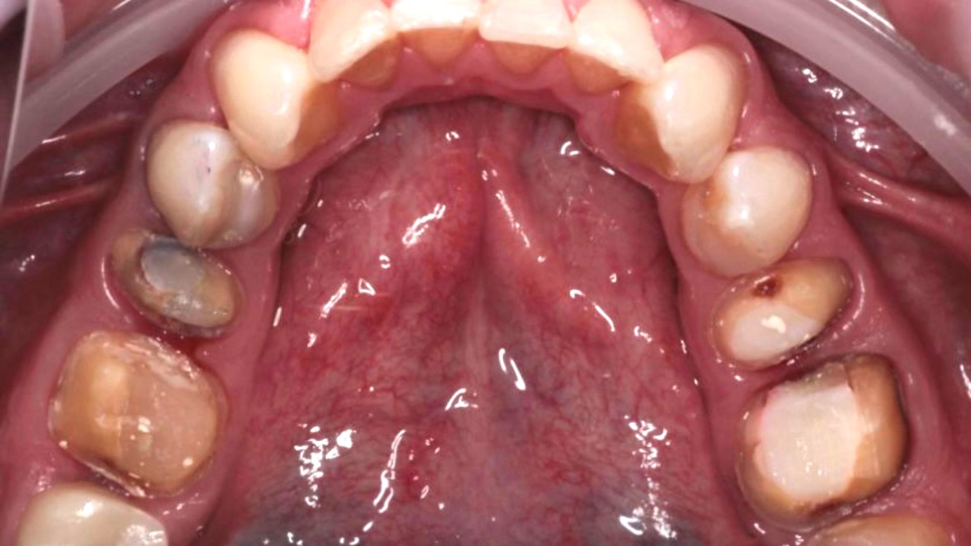
Циркониевые коронки на жевательные зубы. 3.5-3.6, 4.5-4.6

Всего в несколько помещений

Результат лечения

До

До

Циркониевые коронки на жевательные зубы. 3.5-3.6, 4.5-4.6_before
После

После

Циркониевые коронки на жевательные зубы. 3.5-3.6, 4.5-4.6_after

Стоимость лечения

Циркониевая коронка

44 900 ₽

Записаться на приём

Онлайн или по телефону

Беспроцентная рассрочка

Доступна рассрочка на лечение

Онлайн запись
Telegram MAX