УлыбкаPRO
УлыбкаPRO
Цифровая стоматология

Удаление пигментированного налета от курения и кофе по протоколу GBT

Полное удаление всех видов загрязнений: пигментного налета от кофе и сигарет, мягкого бактериального налета и зубного камня. Зубам возвращена природная белизна и гладкость. Свежесть дыхания и здоровый вид десен восстановлены.

Результат лечения

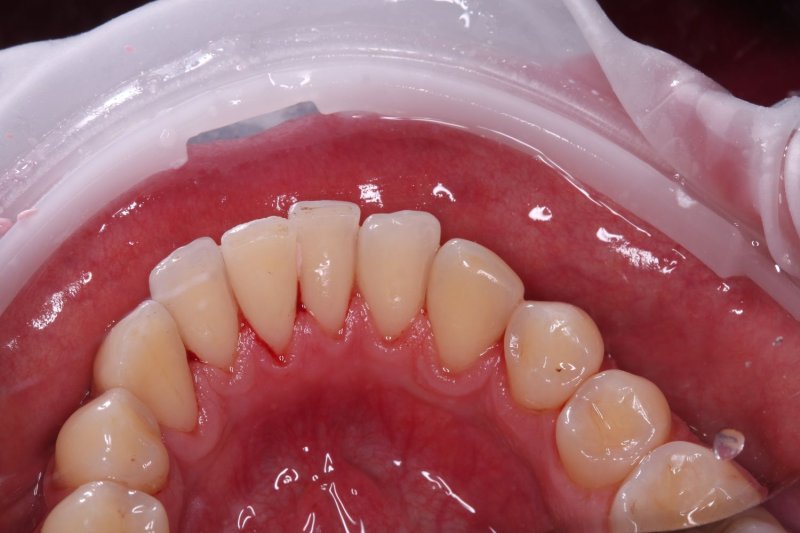
До

До

udalenie-naleta-ot-kureniya-gbt-do
После

После

udalenie-naleta-ot-kureniya-gbt-posle

Проблема пациента

Наличие мягких и твердых зубных отложений, осложненных стойким эстетическим дефектом — пигментированным налетом от курения и употребления кофе, который не удаляется обычной щеткой.

Этапы лечения

1

Диагностика

Оценка характера налета и степени минерализации отложений для выбора оптимального режима очистки.

2

Профессиональная гигиена GBT

Проведение процедуры по протоколу Guided Biofilm Therapy с использованием технологии Airflow для бережного удаления пигментированного налета и последующим ультразвуковым снятием твердых отложений.

3

Полировка и защита

Финальная полировка зубов и нанесение фторидсодержащего состава для закрепления результата и снижения чувствительности.

Результат

Полное удаление всех видов загрязнений: пигментного налета от кофе и сигарет, мягкого бактериального налета и зубного камня. Зубам возвращена природная белизна и гладкость. Свежесть дыхания и здоровый вид десен восстановлены.

Дополнительные фото

udalenie-naleta-ot-kureniya-gbt-rabota-1
udalenie-naleta-ot-kureniya-gbt-rabota-2

Стоимость лечения

Гигиена по GBT протоколу

14 200 ₽

Записаться на приём

Онлайн или по телефону

Беспроцентная рассрочка

Доступна рассрочка на лечение