История проблемы пациента
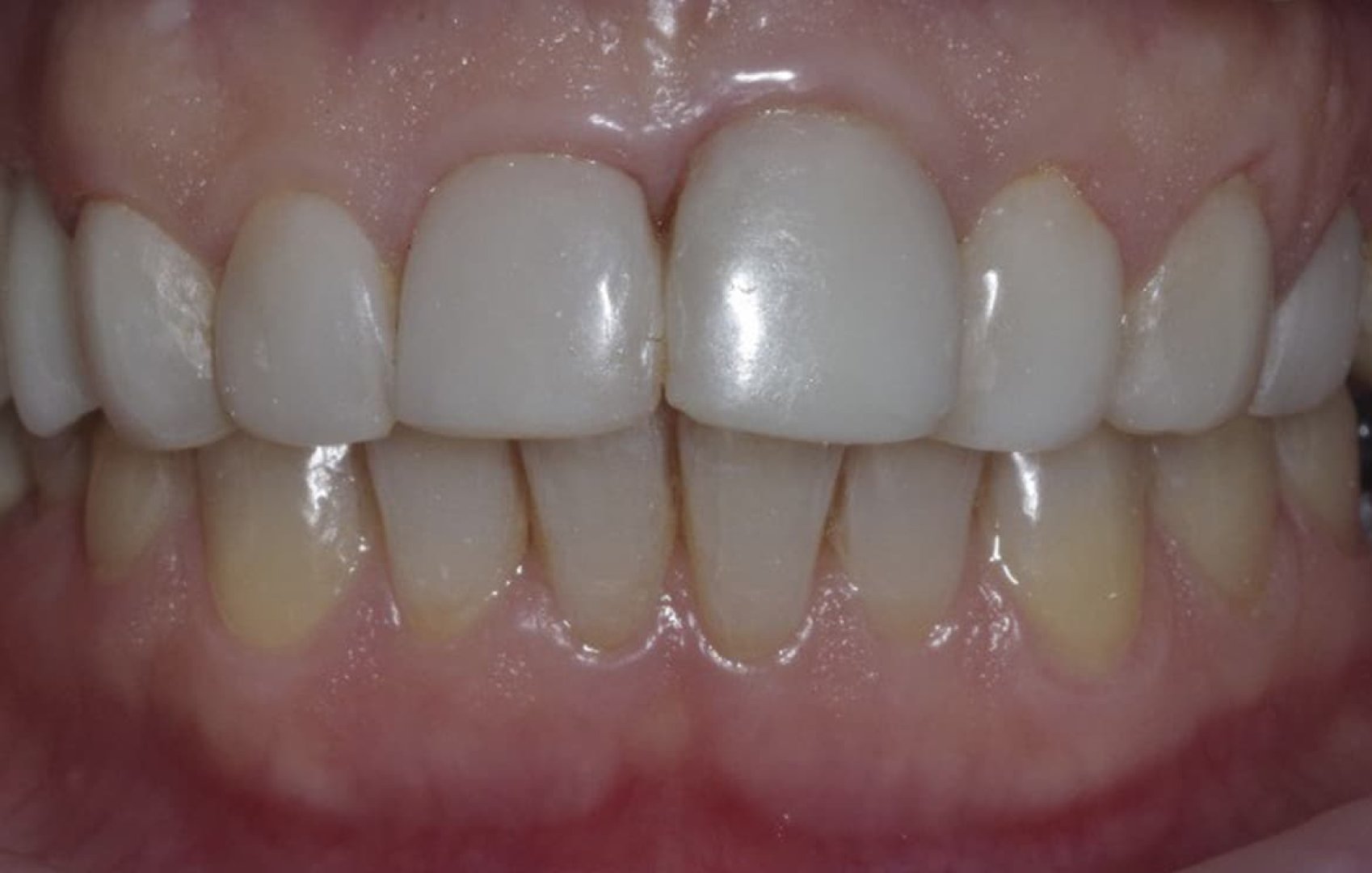
Пациент обратился с жалобами на трудности при жевании и неэстетичный вид улыбки из-за отсутствия двух нижних моляров и выраженного стирания эмали.
Отсутствие жевательных зубов привело к повышенной нагрузке на оставшиеся единицы, что спровоцировало прогрессирующее стирание эмали и изменение высоты прикуса. Пациент испытывал дискомфорт при приёме твёрдой пищи, избегал улыбок на фотографиях и чувствовал неуверенность при общении.
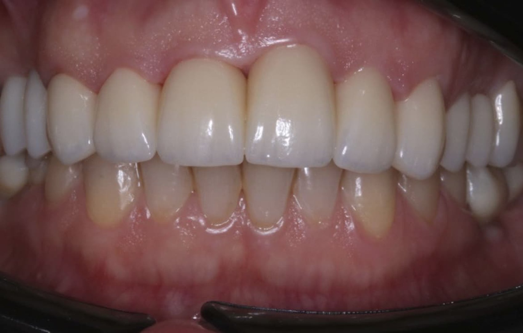
После детального обследования и консультации было принято решение о комплексном подходе: имплантация с одномоментной костной пластикой для восстановления объёма костной ткани и последующее протезирование циркониевыми коронками для достижения оптимальной эстетики и функциональности.






