УлыбкаPRO
УлыбкаPRO
Цифровая стоматология

Временное протезирование PMMA коронкой

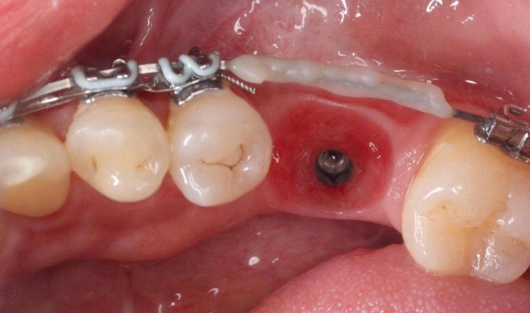
Временное протезирование PMMA коронкой с опорой на имплантат Dentium с винтовой фиксацией для завершения ортодонтического лечения

Результат лечения

До

До

Временное протезирование PMMA коронкой_before
После

После

Временное протезирование PMMA коронкой_after

Стоимость лечения

Имплантация Dentium

51 900 ₽

Записаться на приём

Онлайн или по телефону

Беспроцентная рассрочка

Доступна рассрочка на лечение