Зубосохраняющие операции
Зубосохраняющие операции
Зубосохраняющие операции
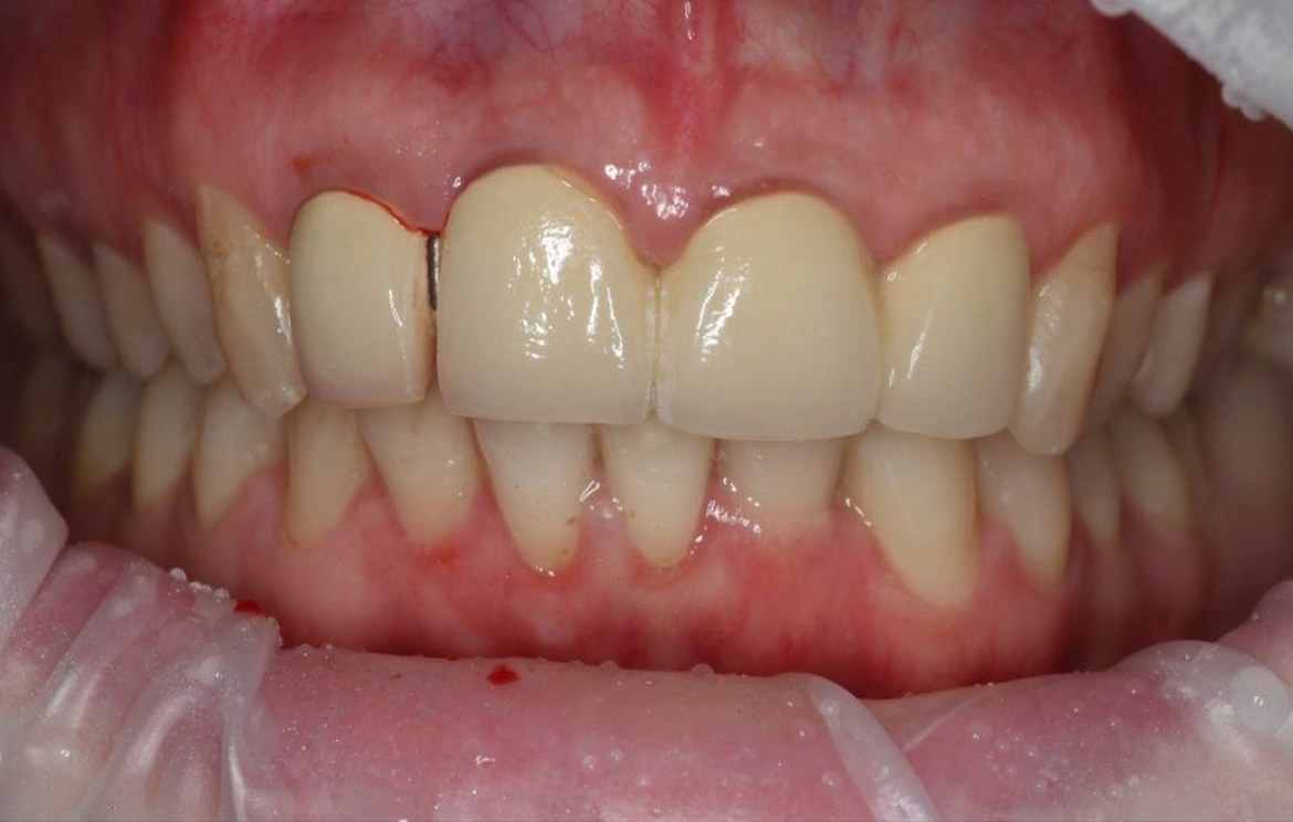
Зубосохраняющие операции — это комплекс хирургических вмешательств, направленных на сохранение естественных зубов пациента, даже в случаях, когда их состояние требует значительных восстановительных манипуляций. Основная цель таких операций — избежать удаления зуба и сохранить его функциональность и эстетику. В стоматологии эти процедуры помогают сохранить здоровье полости рта и предотвратить дальнейшие осложнения.
Достигаем цен, ниже на 20% чем у конкурентов!
- собственная зуботехническая лаборатория;
- работаем без посредников и накруток — закупаем материалы напрямую у производителей;
- не переплачиваем за аренду — все наши кабинеты работают с максимальной загрузкой;
- врачи заинтересованы в результате — мы не гонимся за количеством, а строим долгосрочные отношения с пациентами.
Преимущества и недостатки
Преимущества
Сохранение естественных зубов. Зубосохраняющие операции позволяют сохранить зубы пациента, что является приоритетом в современной стоматологии.
Функциональность и эстетика. Зубы сохраняют свою жевательную функцию и красивый контур улыбки, что особенно важно для передних зубов.
Профилактика осложнений. Сохранение зубов помогает предотвратить атрофию костной ткани и смещение соседних зубов.
Недостатки
Сложность манипуляции. Зубосохраняющие операции требуют высокого уровня мастерства и опыта от стоматолога.
У нас в Улыбка PRO работают квалифицированные врачи-хирурги, которые проведут полную консультацию, ответят на все ваши вопросы и проведут операцию качественно.
У нас в Улыбка PRO работают квалифицированные врачи-хирурги, которые проведут полную консультацию, ответят на все ваши вопросы и проведут операцию качественно.
Риск повторного воспаления. В некоторых случаях возможно развитие повторного воспалительного процесса (рецидива).
Стоимость лечения. Такие операции могут быть более дорогими по сравнению с удалением и протезированием.
Однако в нашей клинике УлыбкаPRO постоянно проводятся акции, благодаря которым вы можете пройти лечение по привлекательной цене!
Отзывы и рейтинги
Отзывы
Особенности хирургического вмешательства
Зубосохраняющие операции в хирургической стоматологии требуют тщательного планирования и использования современных технологий. Основные особенности.
Точное диагностическое оборудование. Использование рентгенографии и 3D-томографии для точной диагностики состояния зуба и окружающих тканей.
Современные методы анестезии. Применение местной анестезии для обеспечения комфорта пациента.
Минимальная инвазивность. Современные техники позволяют минимизировать травматичность хирургического вмешательства, сокращая период восстановления.
Использование биосовместимых материалов. Применение материалов, способствующих быстрому заживлению и регенерации тканей.
Вернём до 13% от стоимости лечения
Лечение может не только улучшить здоровье, но и вернуть часть потраченных средств!
Наша клиника имеет лицензию, которая позволяет получить налоговый вычет 13% на имплантацию, протезирование и другие виды лечения.
- Заключаем официальный договор;
- Готовим весь пакет документов;
- Предоставляем все чеки для налоговой.
Или свяжитесь с нами по телефону +7 (495) 032-10-17 ежедневно с 9:00 до 21:00.
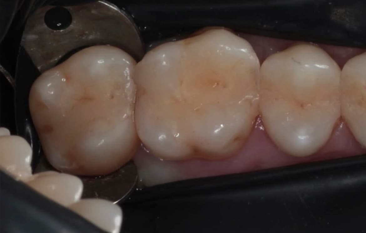
Виды зубосохраняющих операций
- Резекция верхушки корня зуба.
Это операция, при которой удаляется верхушка корня зуба вместе с очагом воспаления. Она проводится в случае хронического периодонтита или при наличии кисты. Резекция верхушки корня позволяет сохранить основную часть зуба и избежать его удаления. - Гемисекция.
Процедура, при которой удаляется один из корней многокорневого зуба вместе с пораженной частью коронки. Гемисекция применяется в случаях, когда один из корней сильно поврежден или инфицирован, но остальная часть зуба остается здоровой. - Ампутация корня.
Операция по удалению одного из корней многокорневого зуба без удаления коронки. Показана при воспалении корня, которое не поддается консервативному лечению. Это позволяет сохранить большую часть зуба и его функциональность. - Пересадка зубов/аутотрансплантация.
Процедура, при которой зуб перемещается из одного места полости рта в другое. Используется в случаях, когда необходимо сохранить зуб, но его текущее положение неудобно или вызывает проблемы.
Врачи
Хирург-имплантолог, к.м.н., врач-эксперт, главный врач
Благушина Наталия Алексеевна
Хирург-имплантолог, к.м.н., врач-эксперт, главный врач
Благушина Наталия Алексеевна
График работы:
Ср 16.00 - 19.00
Сб 12.00 - 18.00
Ср 16.00 - 19.00
Сб 12.00 - 18.00
Хирург-имплантолог
Волкова Мария Юрьевна
Стоматолог-терапевт, эндодонтист, врач-эксперт
Рудометова Марина Алексеевна
Стоматолог-терапевт, эндодонтист, врач-эксперт
Рудометова Марина Алексеевна
Вт 9:00-21:00 | Чт 9:00-21:00 | Пт 9:00-21:00
с 9 до 19 по субботам
с 9 до 19 по субботам
Врач стоматолог-терапевт
Кинзебулатова Анастасия Денисовна
Врач стоматолог-терапевт
Кинзебулатова Анастасия Денисовна
График работы:
Пн 9.00-21.00
Ср 9.00-21.00
Пт 9.00-15.00
Пн 9.00-21.00
Ср 9.00-21.00
Пт 9.00-15.00
Врач терапевт-микроскопист, реставратор
Ибрагимли Эльшад Нарманович
Врач терапевт-микроскопист, реставратор
Ибрагимли Эльшад Нарманович
График работы:
Чт 9:00-21:00
Вс 9:00-21:00
Чт 9:00-21:00
Вс 9:00-21:00
Врач стоматолог-терапевт
Курсакова Татьяна Николаевна
Врач стоматолог-ортопед
Зятева Инна Владимировна
Ортодонт
Гогичайшвили Анита Георгиевна
Стоматолог-хирург
Крамчанинов Иван Николаевич
Стоматолог-хирург
Крамчанинов Иван Николаевич
График работы доктора
Пн 09:00-21:00
Пн 09:00-21:00
В этом месяце — консультация бесплатно!
Пародонтолог, хирург
Оразова Лейли Юсуповна
Наши преимущества
Гарантия на все услуги
Прозрачный план лечения без доплат. Разумные цены
Сочетание цифровых технологий с уникальной подготовкой наших специалистов
Полный спектр стоматологических услуг. Детская стоматология
Рекомендации врача
После проведения зубосохраняющей операции важно соблюдать рекомендации врача для успешного заживления и восстановления функции зуба.
Уход за полостью рта. Регулярная чистка зубов и использование зубной нити. Применение антисептических ополаскивателей для предотвращения инфекции.
Соблюдение диеты. Избегание твердой и острой пищи в первые дни после операции, чтобы не повредить ткани.
Регулярные осмотры. Посещение стоматолога для контроля процесса заживления и динамического наблюдения.
Прием назначенных лекарств. Противовоспалительные и анальгетические препараты по назначению врача.
Сложно разобраться в плане лечения? Мы всё объясним по-человечески. Менеджер клиники «УлыбкаPRO»:
- ● расскажет, за что именно вы платите, и нет ли скрытых услуг;
- ● объяснит, почему в плане лечения именно такие позиции, зачем они нужны и можно ли что-то отложить;
- ● поможет сократить расходы, разделить оплату и подобрать удобный формат лечения;
- ● ответит на любые вопросы — без медицинского жаргона.
Заключение
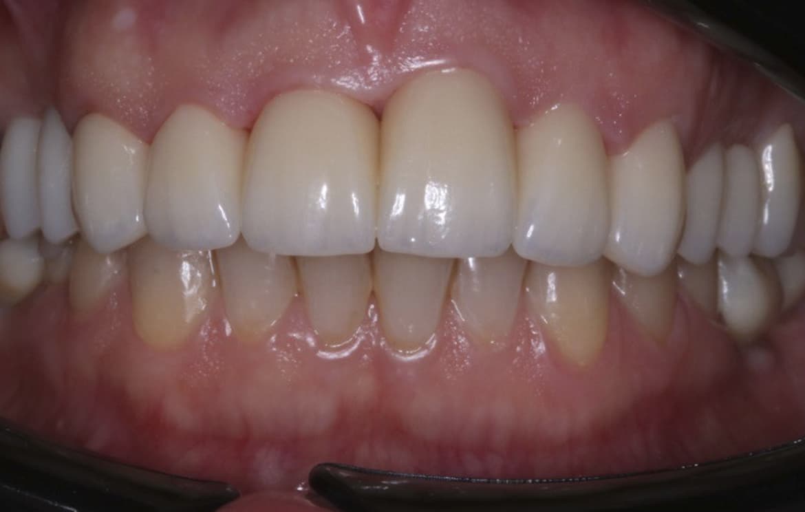
Зубосохраняющие операции являются важной частью современной хирургической стоматологии, позволяя сохранить естественные зубы пациента и предотвратить осложнения. В нашей клинике УлыбкаPRO в Москве мы предлагаем широкий спектр зубосохраняющих операций, проводимых опытными специалистами с использованием новейших технологий. Запишитесь на консультацию и узнайте больше о возможностях сохранения ваших зубов.
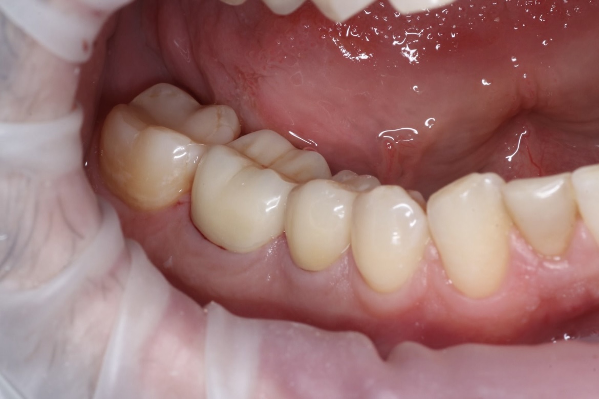
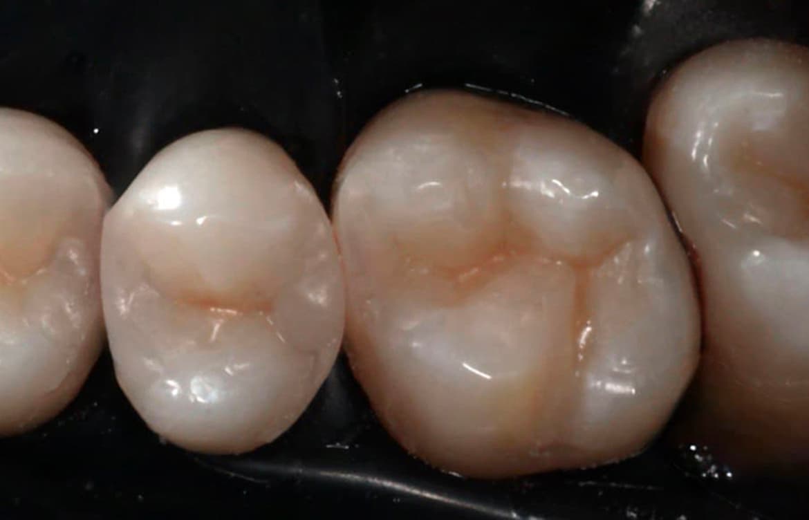
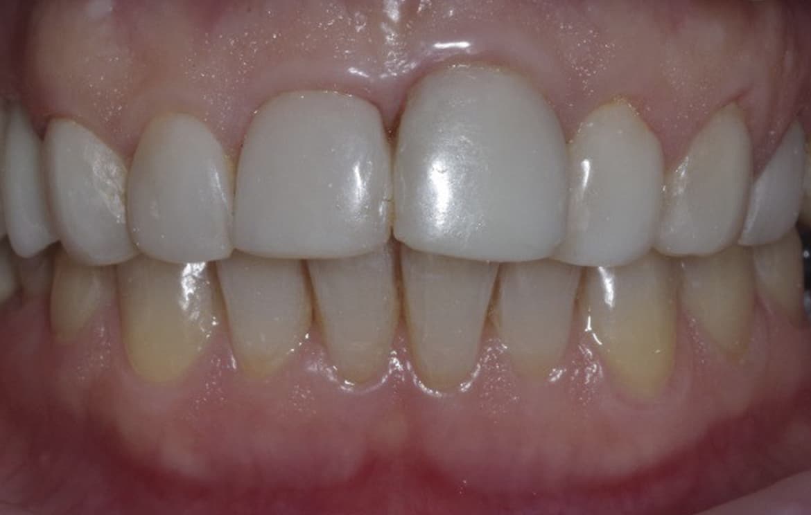
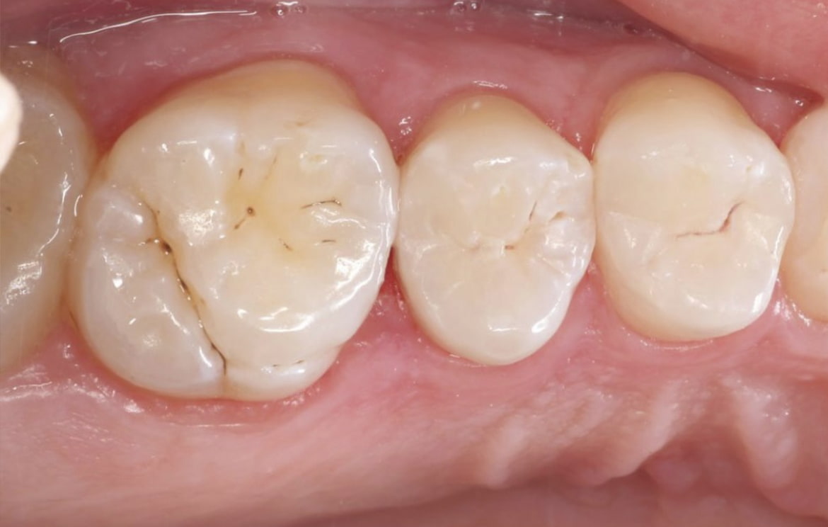
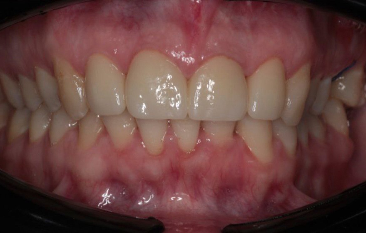
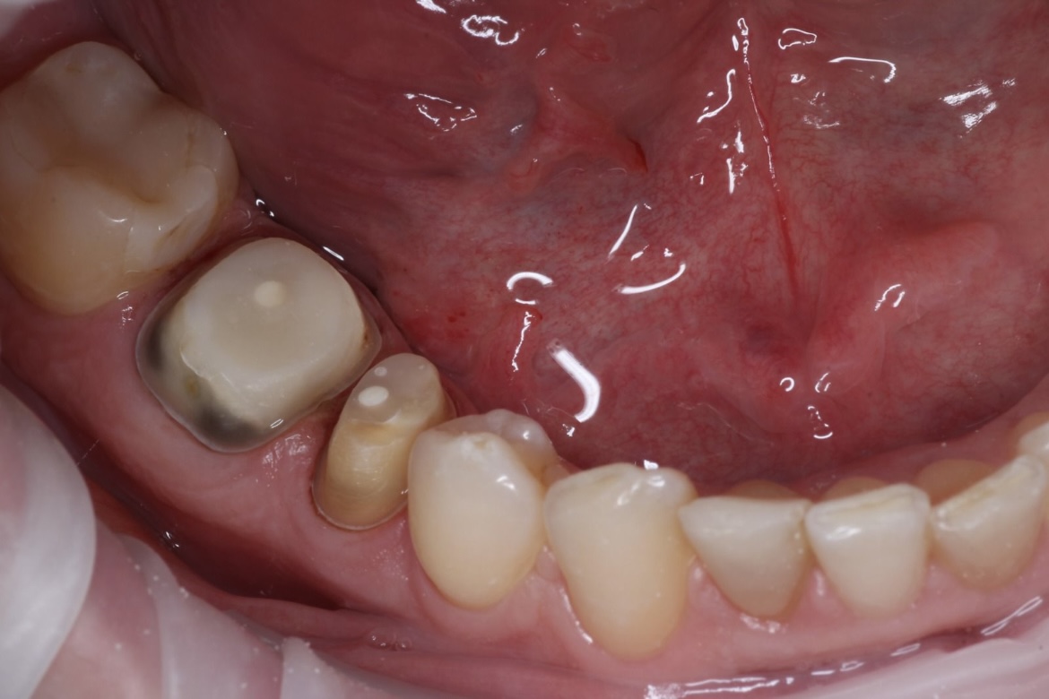
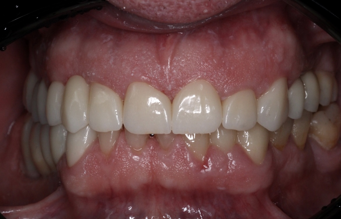
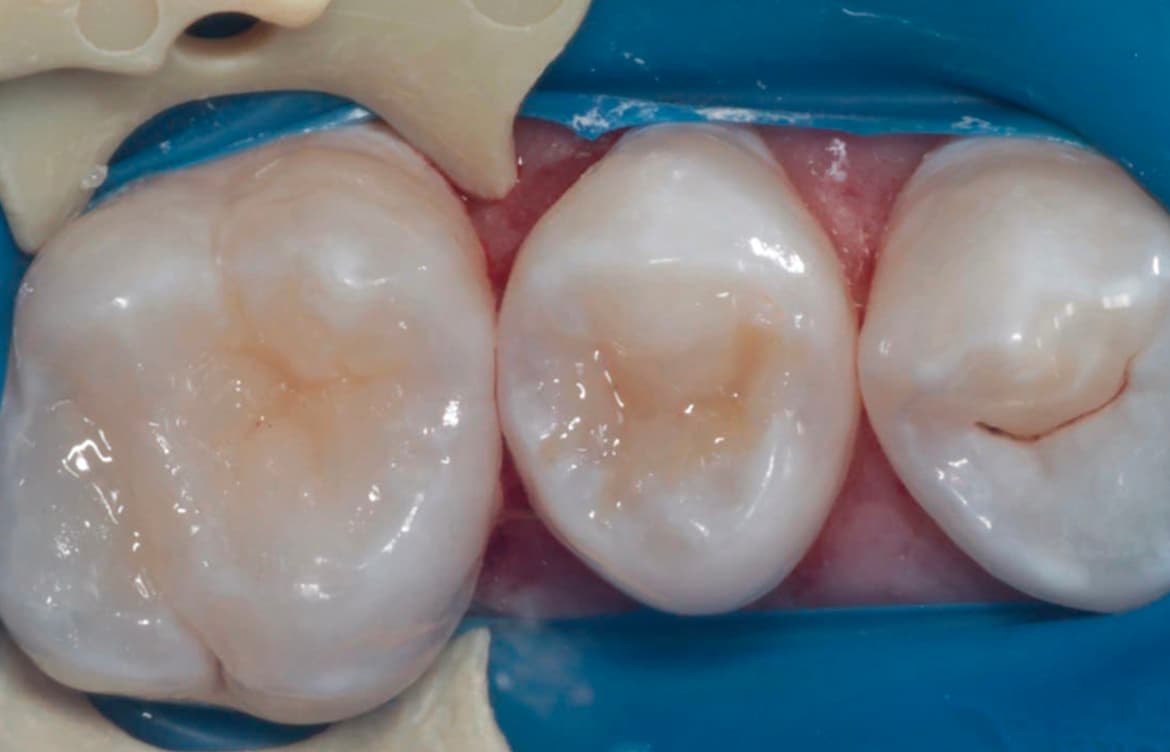
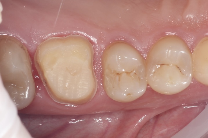
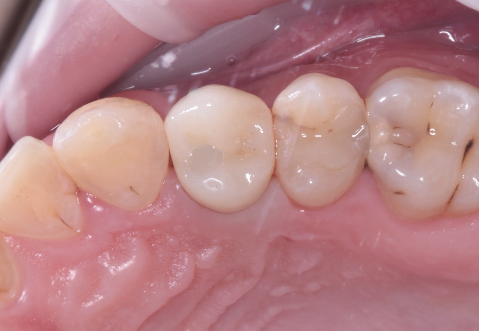
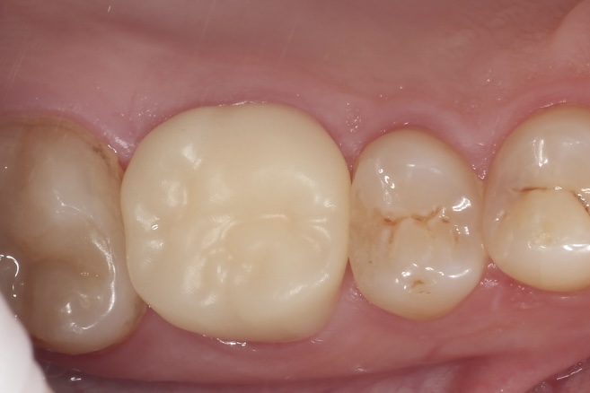
Наши работы
Как нас найти
Современная медицина без страха и боли. Наша клиника – на страже Вашего здоровья!






