УлыбкаPRO
УлыбкаPRO
Цифровая стоматология

Элитные керамические виниры

Виниры E.max

Виниры, которые не отличить от идеальных натуральных зубов! Максимальная эстетика, прочность и долговечность от мирового лидера

Виниры E.max

Виниры E.max — премиальные керамические накладки из стеклокерамики (литий‑дисиликат), которые помогают вернуть зубам форму, цвет и «живой» блеск эмали. Их чаще всего ставят на передние зубы — там, где важны прозрачность и естественность.

Если хочется «голливудскую улыбку», но без эффекта пластмассы — E.max обычно попадает в цель. Это не просто «пластинки»: результат строится на цифровом планировании, точной подготовке и качественной фиксации.

Что такое E.max простыми словами

Это керамика на основе литий‑дисиликата: материал прочный, биосовместимый и очень «эстетичный» — передаёт полупрозрачность натуральной эмали. Поэтому E.max часто выбирают, когда важна зона улыбки.

При правильном уходе такие виниры служат 10–15 лет и дольше.

Отзывы пациентов

Все отзывы
А

Аллан Сидоров

Оразова Лейли Юсуповна удалила мне все 4 зуба мудрости за несколько приемов. Доктор внимательный и профессиональный, процедуры прошли быстро и безболезненно. Даже укол обезболивающий я почти не почувствовал. По завершении процедур доктор меня проинструктировал и все объяснил. Мне очень понравилось, теперь только к этому врачу буду ходить. Большое спасибо, Лейли Юсуповна!

05.05.2024

А

Аминат А.

Обратилась в клинику “УлыбкаPRO” по поводу удаления зуба мудрости. Благодарна врачу Хамидовой Марине Мовсуровне за бережное и внимательное отношение. За время приёма объясняла что будет делать и для чего. После окончания лично дала рекомендации. Довольна качественно выполненной работой, после посещения клиники остались только положительные эмоции, всё прошло быстро и в комфортной обстановке. Буду рекомендовать родным и друзьям)

05.05.2024

К

Кристина Ш.

Больше года хожу в клинику прямо в моем доме! Самый первый поход был с острой болью - администратор нашла подходящее ближайшее окошко и оперативно приняли, теперь хожу регулярно к терапевту Марине Алексеевне, все спокойно, терапевт рассказывает о своих действиях, все показывают на снимках и фотографиях, Так же удаляла первый зуб мудрости у хирурга, все прошло без последствий, на очереди остальные Не первый раз прихожу на проф гигиену к Черепанову Антону, довольна, В целом довольна клиникой, ознакомлению с планами лечения и стоимостью услуг. Отдельно отмечу работу администраторов - всегда своевременно отвечают и помогают найти окна для записи. В день рождения был оооочень приятный бонус на услуги клиники ))

05.05.2024

М

Мадина А.

Доктор Марина Хамидова - лучшее, что может случиться с вашими зубами мудрости, которые показаны к удалению. Чуткая, трепетная и профессиональная работа. При всей моей боязни всех хирургических вмешательств, все 4 мудрых зуба доктор удалила абсолютно безболезненно и ,главное, быстро. Реабилитация также прошла абсолютно мягко, на следующий же день я забыла, что вовсе проходила через удаление. Очень рекомендую данного врача!

05.05.2024

М

Максим Кузнецов

В клинике успешно пролечили все зубы и сделали чистку жене, и я сам хожу лечусь. У меня был сложный зуб, который перелечивали - в нем было 2 обломка сверла, и другие проблемы - в итоге всё отлично. Плюс отлично восстановили 2 зуба, пролечили кариесы на других. Клиника удобно расположена - рядом парковка и метро, есть личный кабинет, где можно записаться, цены приятные при высоком уровне проводимых работ.

05.05.2024

С

Сергей Казюлин

Отправил меня в эту клинику знакомый, который считает ее лучшей. И он прав, очень хорошая. Спасибо врачу Татьяне Николаевне, и пломбу поставила, красивую, и сама девушка очень приятная, все рассказала и объяснила. Сделаю еще пару зубов до НГ. Всех с наступающим, приходите к ней, чтобы есть оливье здоровыми зубами.

31.12.2025

Преимущества и недостатки виниров E.max

01

Естественный внешний вид

Полупрозрачность и оттенок максимально близки к натуральной эмали — виниры выглядят «живыми», а не плоскими.

02

Прочность и долговечность

Литий‑дисиликатная керамика устойчива к сколам и трещинам. При правильном уходе служит 10–15 лет и дольше.

03

Биосовместимость

Материал гипоаллергенный и безопасный для тканей полости рта.

04

Минимальная подготовка зубов

Требуется минимальное и точное препарирование, чтобы сохранить больше естественной эмали и получить надежную фиксацию.

05

Устойчивость к окрашиванию

Керамика сохраняет цвет лучше, чем композитные реставрации (при соблюдении рекомендаций).

06

Минус — цена

E.max относится к премиальным винирам, стоимость выше, чем у альтернатив. Но за счёт эстетики и срока службы это часто оправдано.

07

Минус — риск скола при перегрузке

При привычке грызть твёрдое и при бруксизме возможны сколы — в таких случаях нужна защитная капа.

Показания к установке виниров E.max

Эстетические дефекты передних зубов: диастемы, сколы, трещины, неровная форма

Желание изменить цвет зубов, когда отбеливание не помогает

Коррекция формы и пропорций зубов в зоне улыбки

Лёгкие дефекты прикуса (по решению врача)

Противопоказания

Перед процедурой обязательно проконсультируйтесь с врачом

Активные заболевания дёсен и тканей вокруг зубов — сначала стабилизируем

Бруксизм (скрежетание) без защиты — нужен план защиты/капа

Недостаточный объём эмали для надёжной фиксации

Выраженные нарушения прикуса — сначала ортодонтия, затем виниры

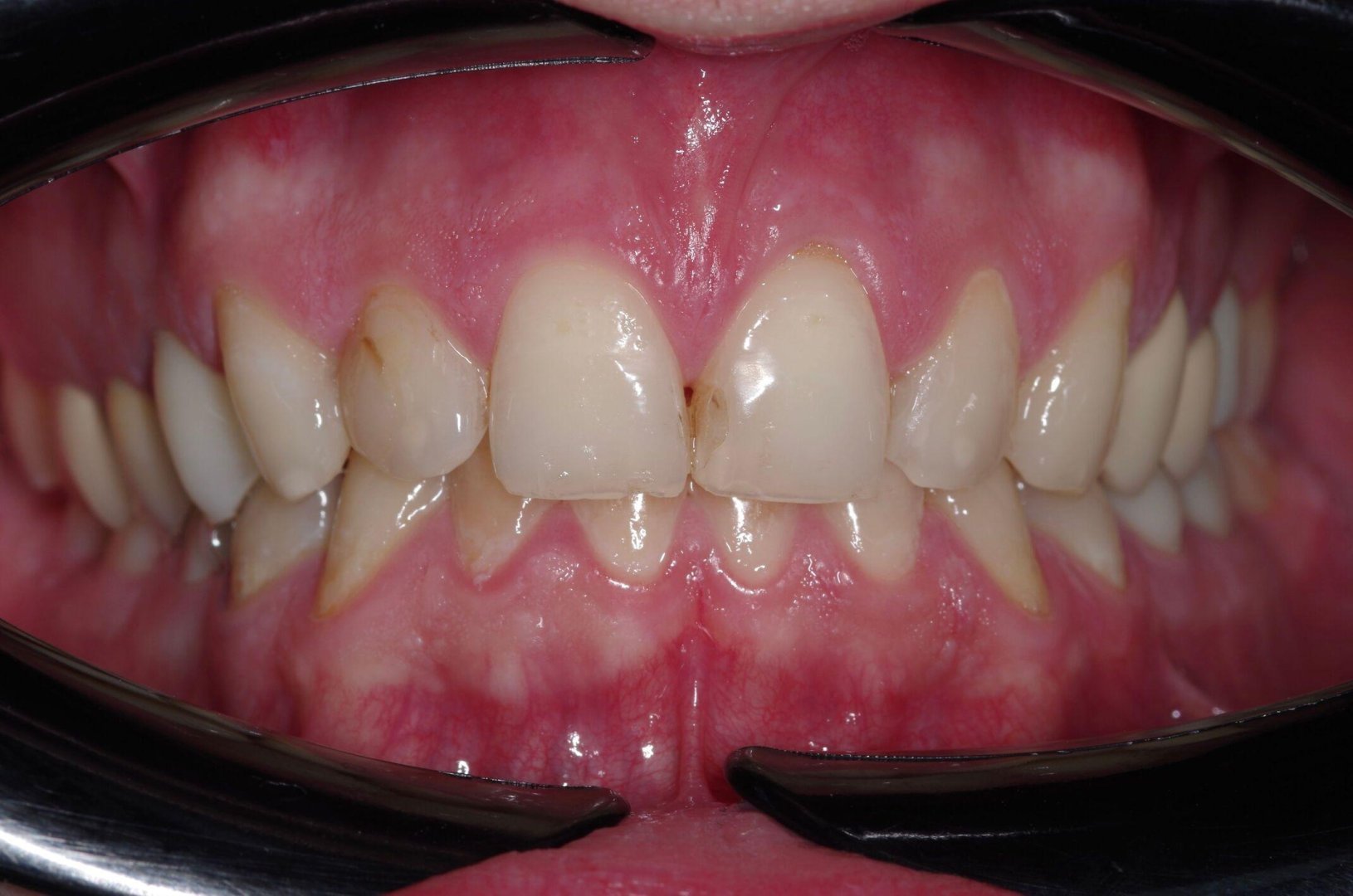
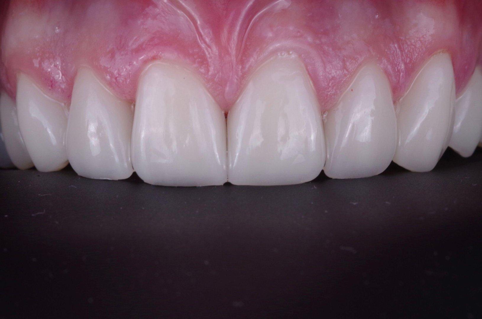
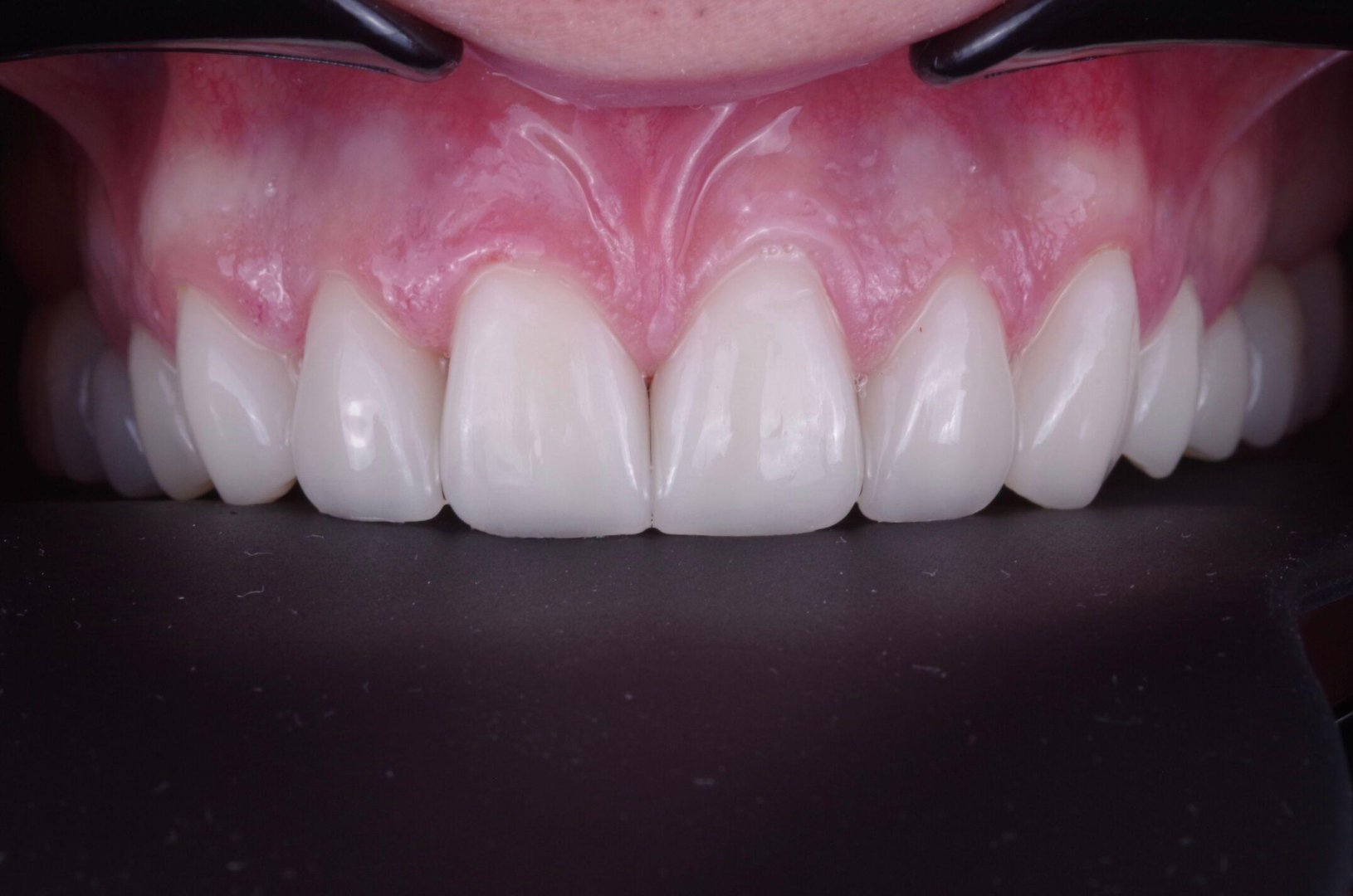
Преображение улыбки винирами E-max

Коррекция формы, цвета и положения передних зубов с помощью ультратонких керамических накладок — виниров из дисиликата лития (E-max). Результат — «голливудская улыбка» с сохранением естественного вида зубов.

ДО реставрации
Состояние зубов до установки виниров
ПОСЛЕ реставрации
Результат после фиксации виниров E-max

Детали преображения

Результат виниров - деталь 1
Результат виниров - деталь 2
Результат виниров - деталь 3
Результат виниров - деталь 4
Керамические виниры E-max
Эстетика премиум-класса

Почему E-max?

Виниры из дисиликата лития (E-max) — это золотой стандарт эстетической стоматологии. Материал обладает высокой прочностью и уникальными светопропускающими свойствами, благодаря чему готовые реставрации практически невозможно отличить от натуральной эмали.

Преимущества

Идеальная эстетика и натуральность
Высокая прочность и износостойкость
Минимальное препарирование зубов
Долговечность и сохранение цвета

Мечтаете об идеальной улыбке?

Запишитесь на консультацию по установке виниров

Записаться на приём

Цифровое планирование и точность

КТ-диагностика Vatech

Оцениваем состояние зубов и тканей, планируем лечение

3D-сканер Sirona Primescan

Цифровые слепки — точная посадка виниров без «жвачки»

Цифровое моделирование улыбки

Виртуальная примерка формы и пропорций до начала лечения

Своя зуботехническая лаборатория

Изготовление и ручная доводка виниров под цвет и форму

Этапы установки виниров E.max

1

Консультация и диагностика

30-40 мин

Осмотр, КТ по показаниям, 3D‑сканирование и цифровое моделирование будущей улыбки.

2

Подготовка зубов

40-60 мин

Минимальное препарирование эмали для создания места под винир и точной посадки.

3

Снятие цифровых слепков

15-20 мин

3D‑сканирование и передача данных в лабораторию для моделирования и изготовления.

4

Временные виниры (Mock‑up)

в тот же день

Временные накладки защищают зубы и сохраняют эстетику, пока делаются постоянные виниры.

5

Примерка и фиксация

40-60 мин

Проверяем посадку и цвет, затем фиксируем виниры на специальный цемент.

6

Финальная полировка

15-20 мин

Доводим поверхность до идеальной гладкости и естественного блеска.

Сроки изготовления и установки

7-14 дней

Срок службы виниров E.max

Факторы долговечности

Примечание: Срок зависит от ухода, прикуса, наличия бруксизма и регулярных профилактических осмотров (раз в 6 месяцев).

Уход за винирами E.max

Гигиена: чистка 2 раза в день, зубная нить и/или ирригатор

Не перегружать: не грызть твёрдое, не открывать зубами упаковки/бутылки

Контроль: осмотры и профгигиена каждые 6 месяцев

Ограничить окрашивающее: кофе, крепкий чай, красное вино, табак — по возможности

При бруксизме: ночная защитная капа

Гарантии

Виниры E.max (ортопедическая конструкция)

2 года

Гарантия действует при соблюдении рекомендаций и контрольных осмотров.

Работа врача

1 год

Коррекция по показаниям в рамках гарантийных условий.

Вопросы и ответы

Из какого материала виниры E.max?
Виниры E.max изготавливаются из цельной литий-дисиликатной керамики. Этот материал прочный, эстетичный и максимально приближен по цвету и прозрачности к натуральной эмали.
Можно ли отличить виниры E.max от натуральных зубов?
Визуально отличить виниры E.max от натуральных зубов почти невозможно. Керамика повторяет прозрачность и оттенки эмали, а при правильной установке всё выглядит естественно и гармонично.
Какие проблемы решают виниры E.max?
Виниры E.max устраняют сколы, трещины, неровности, промежутки между зубами, изменённый цвет и форму зубов, делая улыбку ровной, симметричной и эстетичной.
Какой срок службы виниры E.max?
При правильном уходе и регулярных визитах к стоматологу виниры E.max служат 10–15 лет и дольше, сохраняя форму, цвет и прочность.
Как ухаживать за винирами E.max?
Чистите зубы дважды в день щеткой с мягкой щетиной, пользуйтесь флоссом или ирригатором, избегайте слишком твёрдой пищи и регулярно приходите на профилактические осмотры к стоматологу.
Подпиливают ли зуб под виниры E.max?
Да, но минимально — снимается только необходимый слой эмали, чтобы винир плотно и эстетично прилегал, сохраняя максимальную прочность и здоровье зуба.

Запишитесь на консультацию по винирам E.max

Сделаем осмотр и диагностику, покажем цифровую «примерку» улыбки и объясним, сколько виниров нужно именно вам. Посчитаем стоимость и сроки. Без сюрпризов.

Почему виниры E.max делают у нас

Цифровая диагностика и 3D‑планирование

КТ Vatech и 3D‑сканер Sirona Primescan помогают сделать точный план и посадку виниров.

Своя лаборатория и ручная доводка

Виниры изготавливаются по индивидуальному дизайну и доводятся по цвету и форме до «натурального» результата.

Опытные ортопеды

Работаем по протоколу: эстетика + функция + прикус, чтобы результат был стабильным.

Понятная смета и сроки

До начала лечения вы знаете этапы, сроки и что входит в стоимость.