UlybkaPRO
УлыбкаPRO
Цифровая стоматология

Работы стоматологов — до и после | УлыбкаPRO

Сбросить
Имплантация

Хирургический 3D-шаблон для имплантации: планирование установки имплантов

Необходимость восстановления отсутствующих зубов с помощью имплантации. Требовалось максимально точное и безопасное позиционирование имплантов в костной ткани для долгосрочного прогноза и эстетики.

После
До
До
После
Имплантация

Установка имплантата с пластикой десны

Установка имплантата с пластикой десны в один этап. Фиксация коронки на имплантат через 3 месяца.

Подробнее →
После
До
До
После
Имплантация Dentium Implantium
27 500 ₽
Имплантация

Имплантация зубов и пластика

Пластика мягких тканей, восстановление объема десны вокруг имплантата

После
До
До
После
Пластика мягких тканей в области 1 имплантата
15 300 ₽
Имплантация

Протезирование жевательной группы зубов на имплантатах

Протезирование жевательной группы зубов на имплантатах

После
До
До
После
Коронка диоксид циркония на имплантате
53 900 ₽
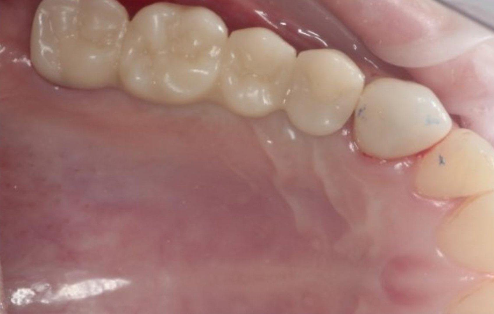
Имплантация

Протезирование коронками из диоксида циркония

Протезирование ранее установленных и интегрированных имплантатов Dentium коронками из диоксида циркония с винтовой фиксацией 46, 36, 37 зубы

Подробнее →
Циркониевая коронка
44 900 ₽
Имплантация

Временное протезирование PMMA коронкой

Временное протезирование PMMA коронкой с опорой на имплантат Dentium с винтовой фиксацией для завершения ортодонтического лечения

Имплантация Dentium
51 900 ₽
Telegram MAX