UlybkaPRO
УлыбкаPRO
Цифровая стоматология

Работы стоматологов — до и после | УлыбкаPRO

Сбросить
Коронки

Лечение кариеса и замена пломб перед ортодонтическим лечением

Удалены старая пломба и ткани, поражённые кариесом. Эстетическая реставрация зуба композитом.

Подробнее →
Лечение и пломбирование
6 800 ₽
Коронки

Замена старой пломбы 4.7

Пациент обратился со старой пломбой, установленной на изолирующую прокладку. Такие конструкции со временем становятся уязвимыми.

Подробнее →
Пломба 1 поверхность
6 800 ₽
Коронки

Восстановление и протезирование зубов диоксид-циркониевыми коронками

Комплексное лечение передних зубов с восстановлением анатомии и установкой прочных коронок из диоксида циркония с керамическим покрытием цвета А2.

Подробнее →
Циркониевая коронка
44 900 ₽
Коронки

Лечение кариеса и художественная реставрация (кейс 1)

Лечение кариеса и художественная реставрация зуба под микроскопом

Подробнее →
Лечение и пломбирование
6 800 ₽
Коронки

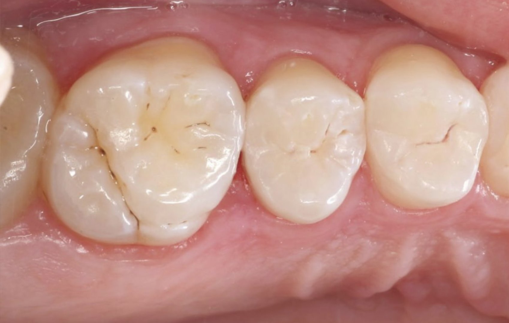
Леч. кариеса 2х зубов и художественная реставрация (кейс 2)

Лечение кариеса 2-х зубов и художественная реставрация под микроскопом

Подробнее →
Лечение и пломбирование
6 800 ₽
Коронки

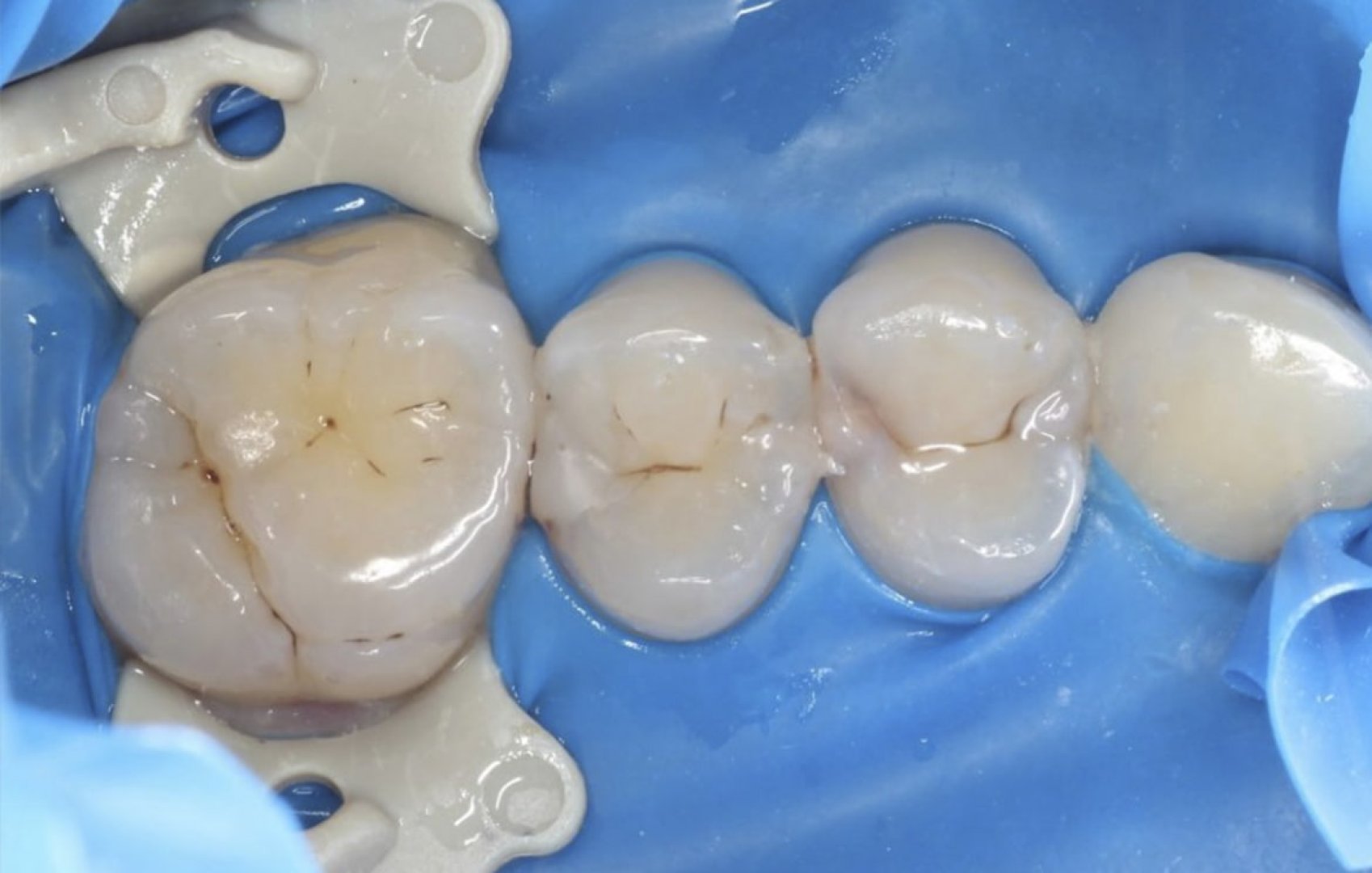
Леч. кариеса 2-х зубов и художественное восст. их под микроскопом (кейс 3)

Лечение кариеса 2-х зубов и художественное восстановление их под микроскопом

Лечение и пломбирование
6 800 ₽
Telegram MAX