UlybkaPRO
УлыбкаPRO
Цифровая стоматология

Работы стоматологов — до и после | УлыбкаPRO

Лечение кариеса и восстановление естественной формы зуба

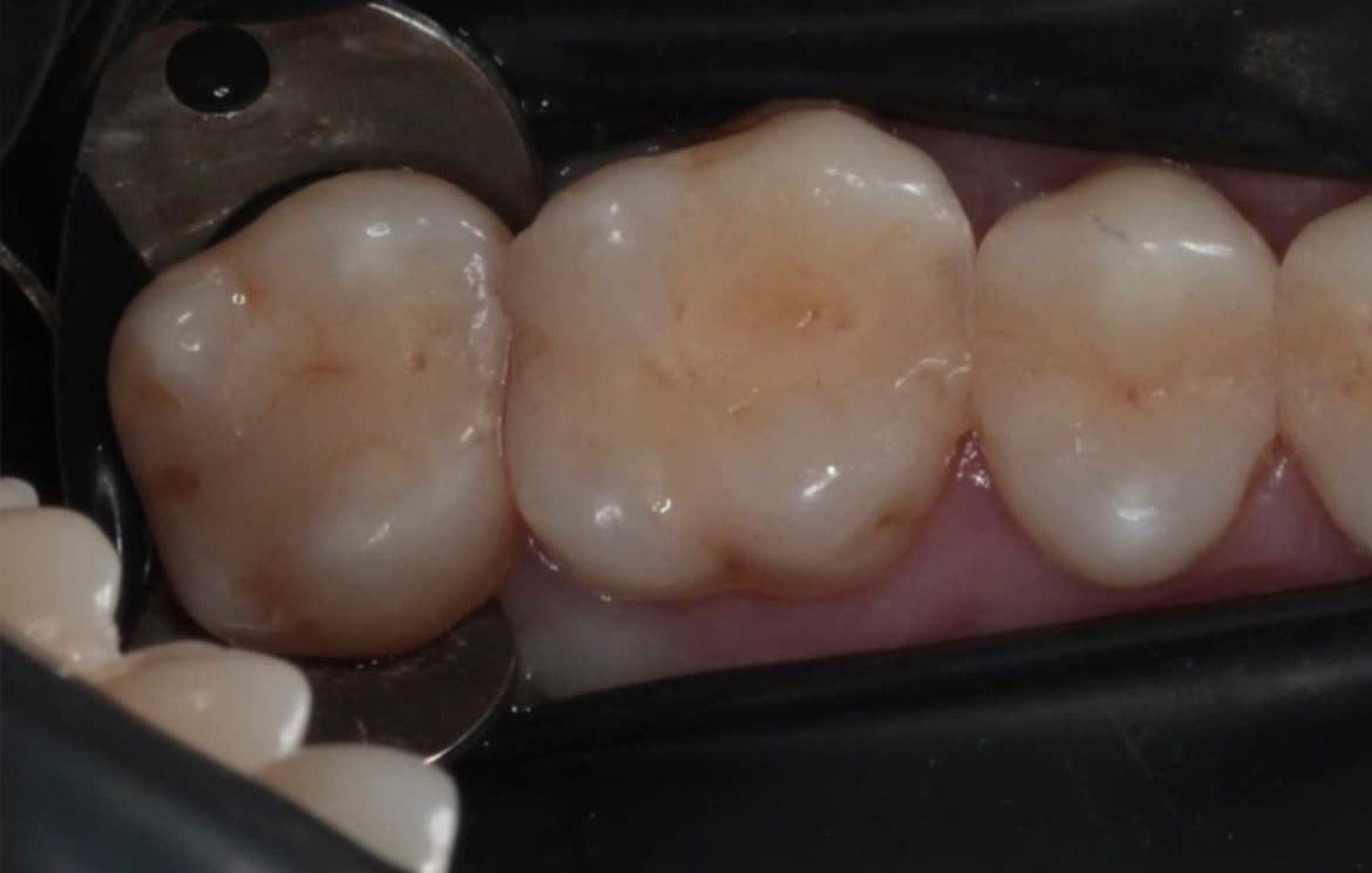
Пациент обратился с кариесом в области зуба 2.7,2.6,2.5.

Подробнее →
Лечение и пломбирование
6 800 ₽

Лечение кариеса

-

Лечение и пломбирование
6 800 ₽

Кариес на жевательной поверхности (Зубы 2.6, 2.7)

Кариес на жевательной поверхности (Зубы 2.6, 2.7)

Лечение и пломбирование
6 800 ₽

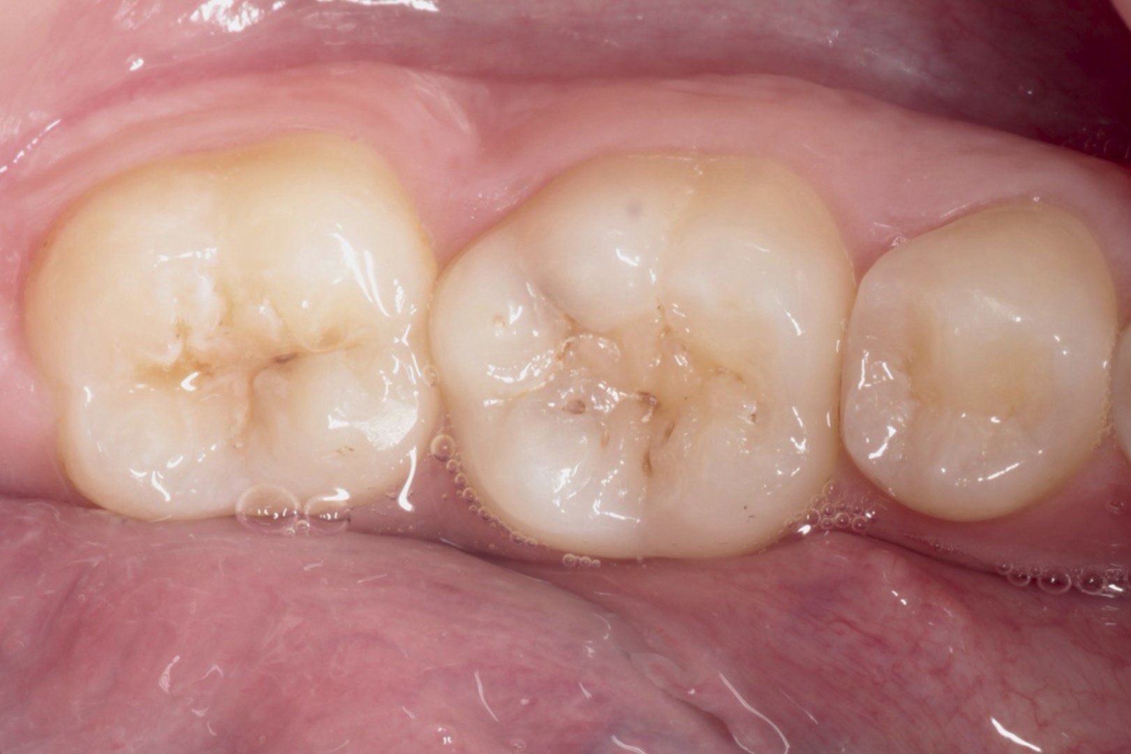
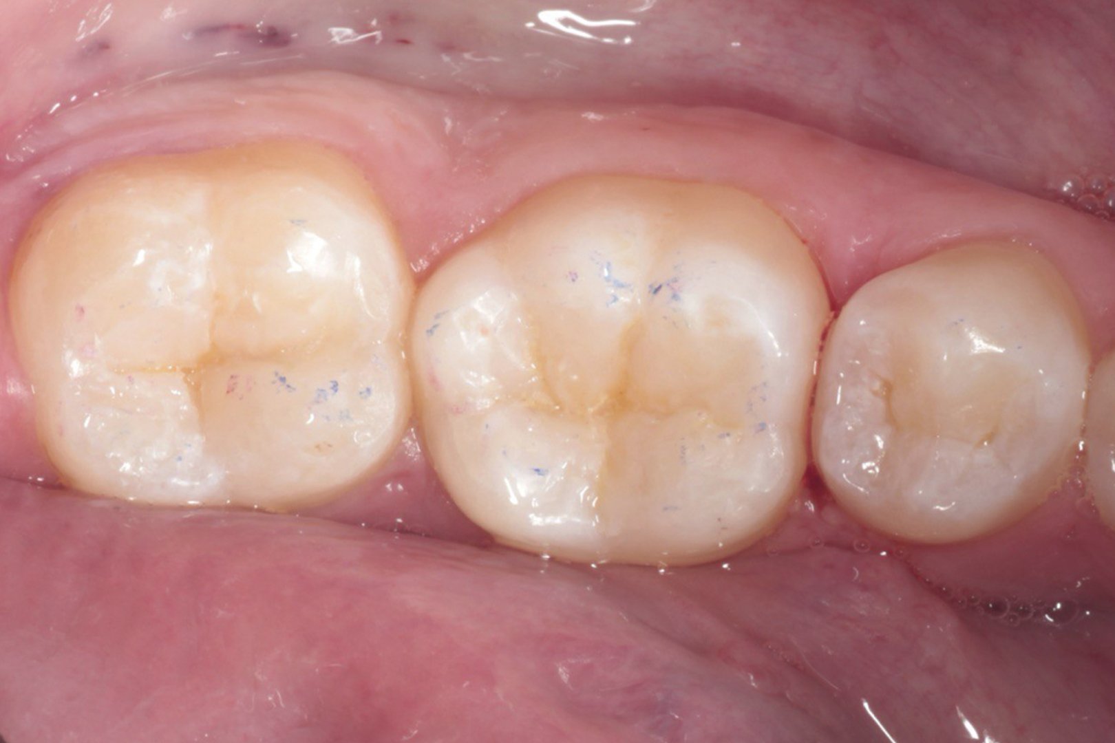
Лечение кариеса, Восстановление анатомии зуба (2.7, 2.6)

Лечение кариеса, Восстановление анатомии зуба (2.7, 2.6)

Лечение и пломбирование
6 800 ₽

Лечение глубокого кариеса

Пациент обратился с кариесом 36-го зуба (I класс).

Подробнее →
Лечение и пломбирование
6 800 ₽
Элайнеры

Лечение на элайнерах. Кейс 2

Лечение на элайнерах. Кейс 2

Лечение на элайнерах - короткий курс ( до 8 - и месяцев)
179 000 ₽
Telegram MAX