UlybkaPRO
УлыбкаPRO
Цифровая стоматология

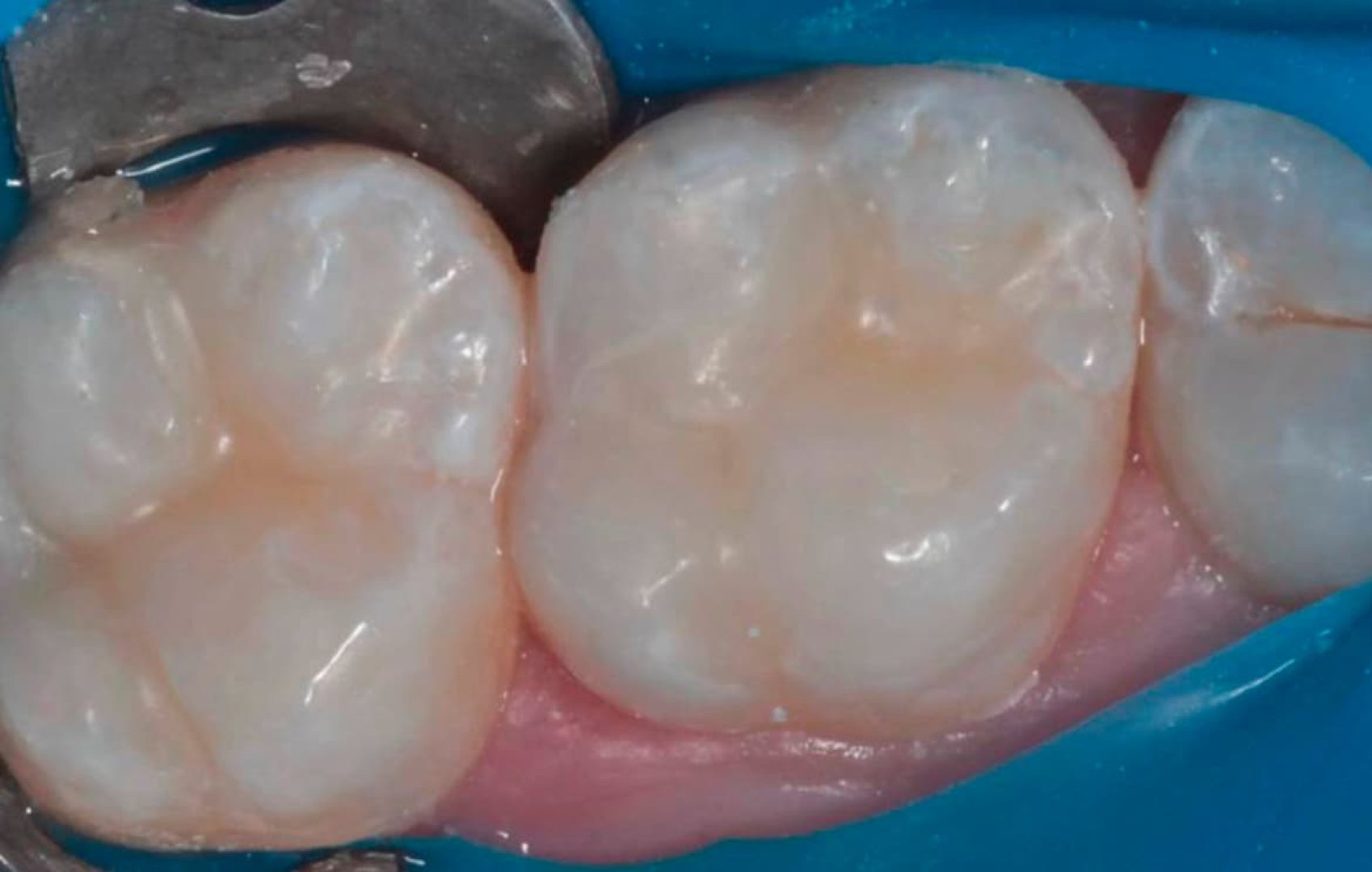
Кариес на жевательной поверхности (Зубы 2.6, 2.7)

Кариес на жевательной поверхности (Зубы 2.6, 2.7)

Результат лечения

До

До

Кариес на жевательной поверхности (Зубы 2.6, 2.7)_before
После

После

Кариес на жевательной поверхности (Зубы 2.6, 2.7)_after

Стоимость лечения

Лечение и пломбирование

6 800 ₽

Записаться на приём

Онлайн или по телефону

Беспроцентная рассрочка

Доступна рассрочка на лечение

Онлайн запись
Telegram MAX