UlybkaPRO
УлыбкаPRO
Цифровая стоматология

Лечение рецессии дёсен

Закрытие рецессий с использованием соединительнотканного трансплантата

Результат лечения

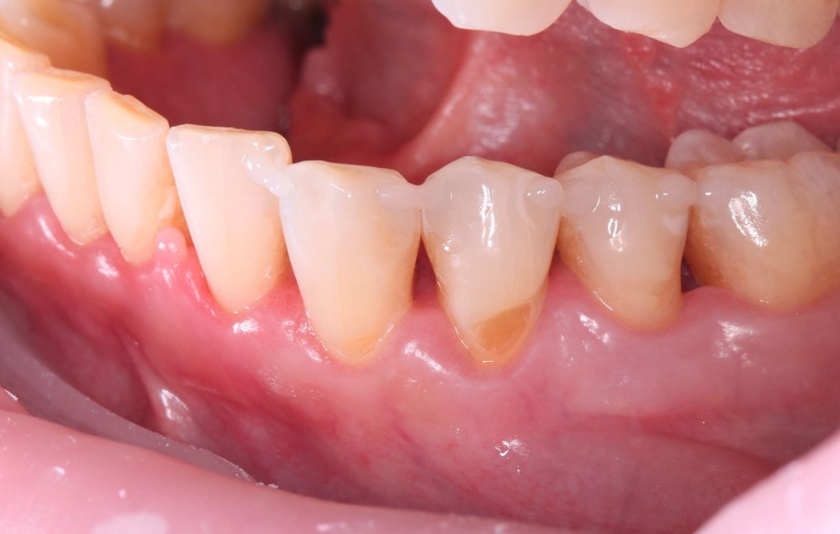
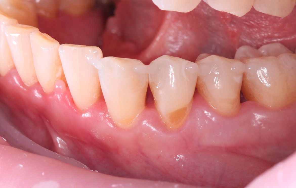
До

До

lechenie-retsessii-dyesen-1
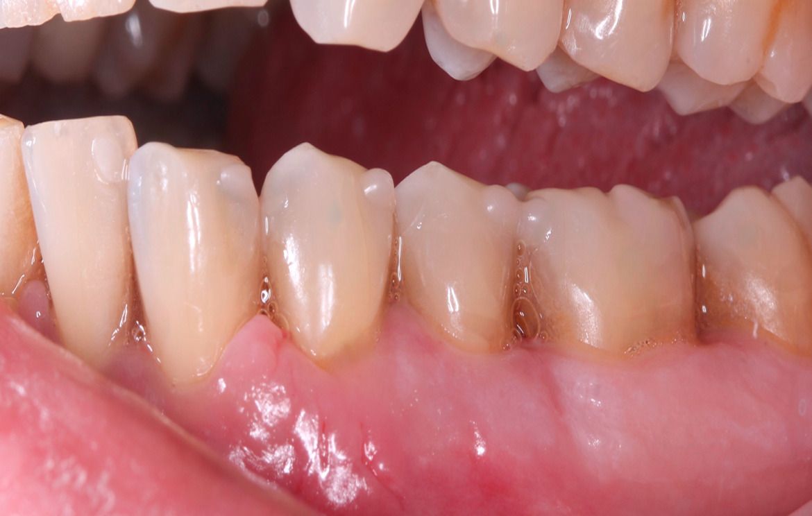
После

После

lechenie-retsessii-dyesen-2

Проблема пациента

Множественные рецессии десны (оголение корней), вызывающие повышенную чувствительность зубов, риск развития пришеечного кариеса и неудовлетворительную эстетику.

Этапы лечения

1

Планирование и забор трансплантата

Определение зон рецессии и забор небольшого лоскута соединительной ткани с нёба пациента для использования в качестве трансплантата.

2

Хирургический этап

Микрохирургическая операция по закрытию рецессий. В области оголенных корней формируется лоскут, под который подсаживается и фиксируется трансплантат для увеличения объема и толщины десны.

3

Заживление

Период послеоперационного восстановления с соблюдением рекомендаций по гигиене и питанию.

Результат

Через 2 недели достигнут первичный результат: десневой контур восстановлен, корни зубов полностью прикрыты. Устранена причина повышенной чувствительности. Созданы условия для долгосрочного здоровья пародонта и улучшена эстетика улыбки.

Стоимость лечения

Закрытие рецессии десны в области 1 зуба

14 200 ₽

Записаться на приём

Онлайн или по телефону

Беспроцентная рассрочка

Доступна рассрочка на лечение

Онлайн запись
Telegram MAX