Имплантация одного зуба — это современный и надежный метод восстановления целостности зубного ряда без необходимости обтачивать соседние зубы. При правильной установке и использовании качественных материалов результат ничем не отличается от естественного зуба — ни по эстетике, ни по жевательной функции.
В клинике УлыбкаPRO в Москве мы проводим имплантацию 1 зуба по международным стандартам. Работаем с премиальными системами (Straumann, Osstem, Astra Tech), используем 3D-диагностику, а лечение ведут врачи с опытом более 10 лет.
Какой имплант поставить на 1 утраченный зуб?
Выбор импланта зависит от клинической картины, состояния костной ткани и зоны потери — верхней челюсти, нижней челюсти или эстетически значимой области. Мы предлагаем:
Виды систем:
Имплант Osstem
Сбалансированное решение по цене и качеству
Имплант Straumann
Швейцарская премиум-система с высокой приживаемостью
Astra Tech
Идеально подходит для немедленной нагрузки
Корейские системы
Высокотехнологичные решения для доступной имплантации
Выбор системы подбирается индивидуально на этапе диагностики и планирования, с учетом анатомии, прикуса и желаемой эстетики.
Методы имплантации 1 зуба
Местная
Стандартный вариант | входит
Седация
Медикаментозный сон | 15000
Общий наркоз
Полное отключение сознания | 25000
Материалы
Импланты
Straumann BLX
Osstem TS III
Еще категория
бренд
Оборудование
КТ Planmeca
3D-снимки с минимальной дозой облучения
Микроскоп Carl Zeiss
Увеличение до 25x
Показания к имплантации одного зуба
Отсутствие 1 зуба в любом отделе челюсти
Нежелание использовать мостовидные протезы
Желание восстановить функцию и эстетику без обточки здоровых зубов
Противопоказания
Наличие системных заболеваний в стадии декомпенсации
Недостаточный объем кости без возможности костной пластики
Несоблюдение гигиены полости рта и низкая мотивация пациента
Этапы установки имплантата на 1 зуб
Первичный прием и диагностика
30-60 минПроводится КТ, анализ анатомии и прикуса, определяется тактика лечения.
Хирургический этап
40-90 минУстановка титанового имплантата. В отдельных случаях возможна одномоментная установка сразу после удаления зуба (по показаниям).
Установка формирователя десны
15-30 минФормируем контур мягких тканей для будущей коронки.
Протезирование
1-2 часаУстановка временной, а затем постоянной коронки из диоксида циркония или другого высококачественного материала.
Контроль и наблюдение
15-30 минРегулярные осмотры, рекомендации по уходу и контроль приживления.
Реабилитация
Первые 2-3 часа
Не есть, не пить горячее, не полоскать рот
Подготовка
Пройти КТ-диагностику [!]
Сдать анализы крови [!]
Пройти профессиональную гигиену полости рта
Вылечить кариес при наличии
За 2 часа до не есть
Исключить алкоголь за 3 дня
Предупредить врача о принимаемых лекарствах
Уход
Прикладывать холод каждые 20 минут первые 3 дня
Не полоскать рот 24 часа
Принимать назначенные препараты [!]
Чистить зубы мягкой щёткой, избегая зоны операции
Не курить минимум 2 недели [!]
Спать на высокой подушке
Избегать твёрдой и горячей пищи 7-10 дней
Прийти на контрольный осмотр через 7 дней [!]
Риски
Инфекция
Отторжение импланта
Повреждение нерва
Перфорация гайморовой пазухи
Отёк и гематома (норма, проходит за 3-5 дней)
Болезненность в первые дни
Обезболивающие
Местная
Стандартный вариант
Входит в стоимостьСедация
Медикаментозный сон
15 000 ₽Общий наркоз
Полное отключение сознания
25 000 ₽Болезненность
Операция под анестезией
Легкий дискомфорт
Сроки лечения
Количество визитов
Консультация + КТ
Операция
Снятие швов
Установка формирователя
Снятие слепков
Фиксация коронки
Преимущества нужна временная коронка
Не нужно обтачивать соседние зубы
В отличие от мостовидного протеза
Срок службы 25+ лет
При правильном уходе — пожизненно
Недостатки
Более высокая стоимость
По сравнению с мостовидным протезом
Длительный срок лечения
3-6 месяцев до постоянной коронки
Сравнение
| Критерий | Имплант | Мост |
|---|---|---|
| Обточка соседних зубов | Нет | Да |
| Срок службы | 25+ лет | 7-10 лет |
| Нагрузка на кость | Есть | Нет |
| Эстетика | Отличная | Хорошая |
| Удобство | Максимальное | Хорошее |
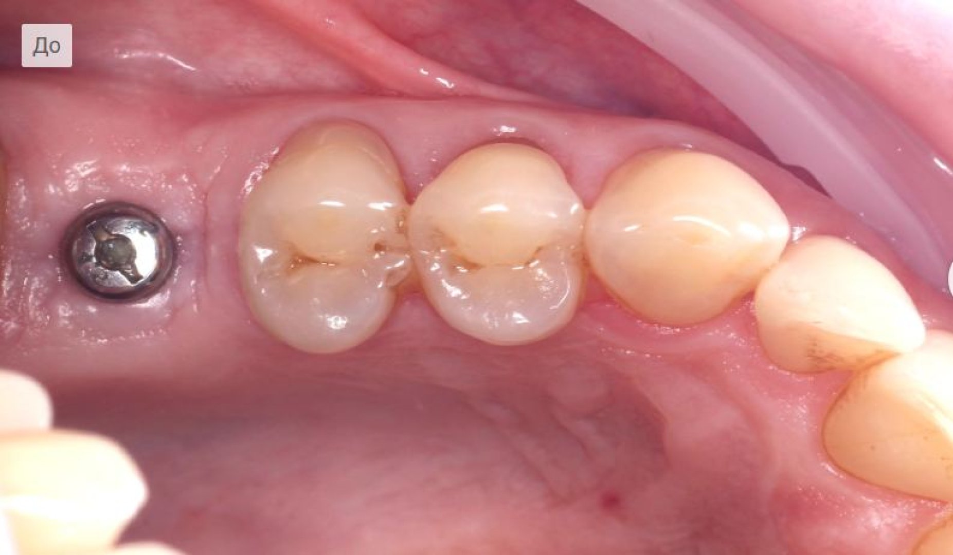
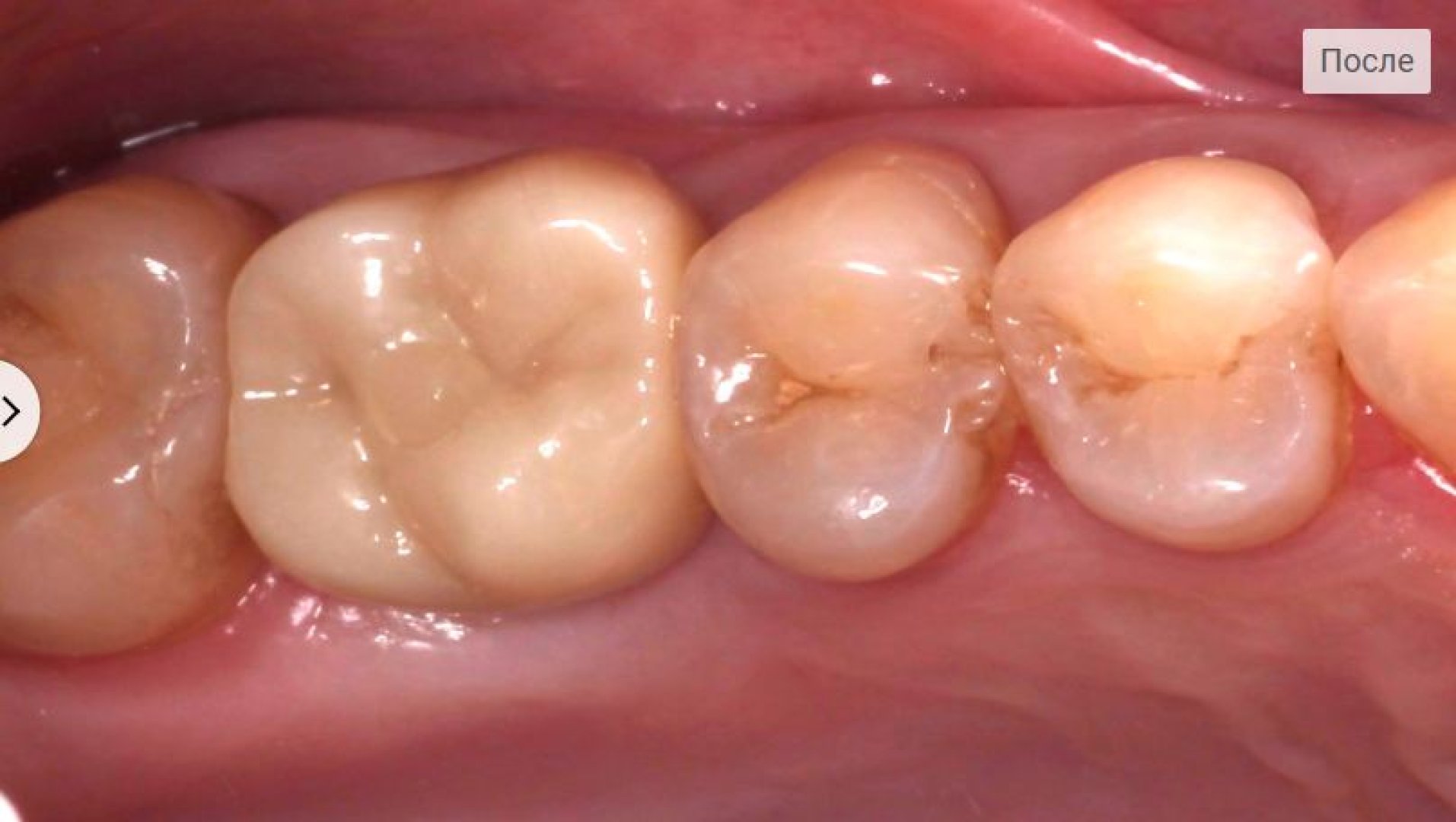
Кейс пациента


Проблема
Обратился с проблемой
Решение
Крутое решение
женщина, 55 лет
2 дня
Отличный
"Ура! "
Ожидаемый результат
Полное восстановление жевательной функции
Естественная улыбка
Несъемный протез
Сохранение костной ткани
Комфорт как со своими зубами
Срок службы
Факторы долговечности
Качество гигиены полости рта
Регулярные профосмотры
Отсутствие вредных привычек
Имплантация одного зуба позволяет восстановить зубной ряд без обточки соседних здоровых зубов. При правильной установке и качественных материалах результат выглядит естественно и полноценно работает при жевании.
Вы получаете функциональную и эстетичную замену утраченного зуба, которая не отличается от натурального и помогает сохранить правильную нагрузку на зубной ряд.
Чем дольше откладывать имплантацию, тем сильнее атрофируется костная ткань. Это может потребовать дополнительной костной пластики и увеличить стоимость лечения на 25-50 тыс. рублей.
Что входит в стоимость
Входит в стоимость
- Консультация
Оплачивается отдельно
- Протез
От чего зависит цена
Бренд имплантов
СильноOsstem от 18 900 ₽, Straumann от 55 000 ₽
Материал протеза
СреднеМеталлокерамика или E-max
Рассрочка
Стоимость
Имплантация Dentium Superline
41 900 ₽
Сколько стоит имплантация 1 зуба под ключ? Это один из самых частых вопросов. Полная стоимость имплантации одного зуба включает:
- ✓ Сам имплант и хирургическую установку импланта
- ✓ Формирователь десны и абатмент
- ✓ Изготовление и фиксацию постоянной коронки
- ✓ Возможные дополнительные процедуры: костная пластика, удаление, временное протезирование
Цена на имплантат в нашей клинике зависит от выбранной системы, объема работ и протокола лечения. Но мы всегда предлагаем:
Честный прайс
без скрытых доплат
Рассрочка 0%
без процентов
Фиксация цены
после составления плана
У нас доступна имплантация одного зуба под ключ с применением современных материалов и технологий — эстетично, точно и надолго.
Вопросы и ответы
Больно ли делать имплантацию зубов?
Что входит в процедуру имплантации зубов?
Что можно и нельзя есть и пить после имплантации зубов?
Что такое одномоментная имплантация зубов и в чём её особенности?
Что такое синус-лифтинг при имплантации зубов?
Как ухаживать за зубами после имплантации?
Можно ли курить или пить алкоголь после имплантации зубов?
Можно ли сделать зубы в рассрочку?
Сколько можно вернуть по налоговому вычету?
Условия и сроки гарантии
Почему выбирают УлыбкаPRO
Имплантация по международным стандартам
Работаем по современным протоколам и планируем лечение на основе 3D-диагностики.
Проверенные системы имплантов
Подбираем решение под клиническую ситуацию: Osstem, Straumann, Astra Tech.
Опытные врачи
Лечение ведут хирурги-имплантологи с опытом более 10 лет.
Прозрачная стоимость
Честный прайс без скрытых доплат и фиксация цены после составления плана лечения.
Так что же выбрать?
Многие пациенты стоят перед выбором: поставить мостовидный протез или имплант.
Мостовидный протез
- Требует обточки соседних зубов
- Служит 7-10 лет
- Не предотвращает атрофию кости
- Дешевле в моменте
Имплант
- Не затрагивает соседние зубы
- Служит 25+ лет (пожизненно)
- Сохраняет костную ткань
- Выгоднее в долгосрочной перспективе
Вывод: Если позволяет бюджет — выбирайте имплантацию.
Восстановите утраченный зуб раз и навсегда!
Имплантация одного зуба в клинике УлыбкаPRO — это современные технологии, опытные врачи и гарантированный результат. Запишитесь на консультацию прямо сейчас!
Записаться на приём