Циркониевые коронки стали революцией в области эстетической стоматологии, являясь идеальным решением для восстановления и укрепления зубов. Коронки изготавливаются из диоксида циркония, который отличается своей прочностью и эстетикой.
Преимущества этих коронок делают их популярным выбором для пациентов и стоматологов по всему миру.
Врачи
Ср 16.00 - 19.00
Сб 12.00 - 18.00
Пн 9.00-21.00
Ср 9.00-21.00
Пт 9.00-15.00
Преимущества и недостатки
Циркониевые коронки имеют ряд значительных преимуществ, которые делают их частым выбором для протезирования зубов. Однако, как и любая ортопедическая конструкция, они имеют определённые недостатки.
Преимущества:
- Эстетика. Циркониевые коронки имеют естественный, прозрачный цвет, который идеально сочетается с натуральными зубами, обеспечивая естественный вид улыбки.
- Прочность. Диоксид циркония обладает высокой прочностью, что делает коронки стойкими к разрушению и идеальными для восстановления функции жевания зубов.
- Долговечность. С правильным уходом циркониевые коронки могут прослужить десятилетия, что делает их выгодным долгосрочным вложением в здоровье.
- Биосовместимость. Цирконий гипоаллергенен и не вызывает реакций отторжения, что делает его безопасным выбором для пациентов.
Недостатки:
- Стоимость. Циркониевые коронки стоят дороже, чем другие виды коронок, из-за сложности их изготовления.
- Риск скола. При сильном ударе может произойти скол или трещина, хотя это и редко, учитывая прочность материала.
У нас в Улыбка PRO работают квалифицированные врачи-ортопеды, которые проведут полную консультацию, ответят на все ваши вопросы и установят керамические накладки качественно и надежно! В УлыбкаPRO — экспертная команда, кандидаты наук, преподаватели и выпускники престижного Первого МГМУ имени И. М. Сеченова (Сеченовского Университета), члены международных ассоциаций.
Коронки. Современные коронки — это эстетика, комфорт и надёжность. Мы делаем их с точностью до микрона
Обычная стоматология
Цена циркониевой коронки
Материал
Страна квалификации
Срок изготовления
Точность

УлыбкаPROцифровая стоматология
Цена циркониевой коронки
Материал
Страна квалификации
Срок изготовления
Точность

Хорошее место:
Честный рейтинг 5 из 5 на основе 1000+ отзывов
Отзывы и рейтинги
Отзывы
Виды коронок из диоксида циркония
Циркониевые коронки могут быть различных видов.
Циркониевые коронки представляют собой современное решение для восстановления зубного ряда. Благодаря высокой прочности и эстетическим качествам диоксида циркония, эти коронки стали популярным выбором в современной стоматологии. Существует несколько видов циркониевых коронок, каждый из которых подходит для различных клинических ситуаций и нужд пациентов.
Выбор подходящего типа циркониевой коронки зависит от многих факторов, включая анатомические особенности и эстетические предпочтения пациента. Консультация врача-ортопеда поможет определить наиболее подходящий вариант, учитывая индивидуальные особенности и условия у каждого пациента.
Коронки
Восстановление зубов — естественно, надежно и красиво
Мы используем циркониевые и керамические коронки премиум-класса, которые обеспечивают идеальное сочетание эстетики и прочности. Благодаря цифровому моделированию и индивидуальному подбору цвета, коронки выглядят максимально естественно и служат десятилетиями без потери качества.
Идеальная эстетика
Цирконий и керамика полностью имитируют природный цвет и прозрачность зубов.
Долговечность и прочность
Коронки выдерживают высокие жевательные нагрузки и служат более 15 лет.
Бережное отношение к зубам
Минимальная обточка и идеальная посадка благодаря цифровому моделированию.
Быстрая установка
Полное восстановление зуба за 1–2 визита.
Монолитные циркониевые коронки
Монолитные циркониевые коронки изготавливаются из одного блока диоксида циркония, что обеспечивает их исключительную прочность и долговечность. Эти коронки идеально подходят для жевательных зубов, так как они способны выдерживать значительные жевательные нагрузки без риска скола или трещины. Благодаря современным технологиям цвет коронок можно точно подобрать под цвет натуральных зубов пациента, что делает их практически незаметными.
Циркониевые коронки с керамическим нанесением
Циркониевые коронки с керамическим нанесением сочетают в себе монолитное циркониевое основание и керамическое покрытие. Этот слой керамики придает коронке дополнительную эстетику, делая её более естественной. Такие коронки чаще всего используются для передних зубов, где важна не только прочность, но и эстетика. Циркониевые коронки с керамическим нанесением позволяют добиться более точного попадания в цвет натуральных зубов.
Коронки на имплантах из диоксида циркония
Эти коронки фиксируются на дентальные имплантаты и используются для замены одного или нескольких отсутствующих зубов. Циркониевые коронки на имплантатах обладают всеми преимуществами диоксида циркония, включая прочность и эстетику, и являются долгосрочным решением для восстановления функции.
Циркониевые мостовидные конструкции
Для пациентов, нуждающихся в замене нескольких зубов, циркониевые мосты представляют собой эффективное решение. Мосты из диоксида циркония обеспечивают прочность и стабильность, необходимые для замены отсутствующих зубов, и изготовлены так, чтобы гармонично вписаться в общий вид зубного ряда.
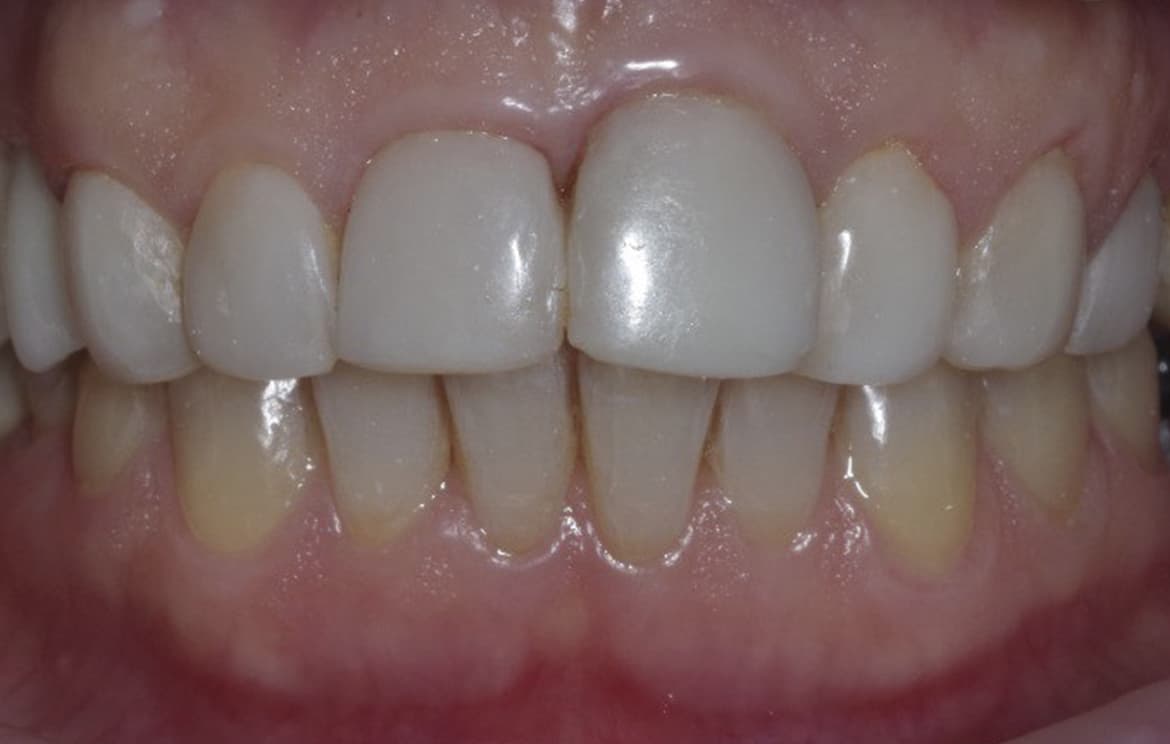
ДО
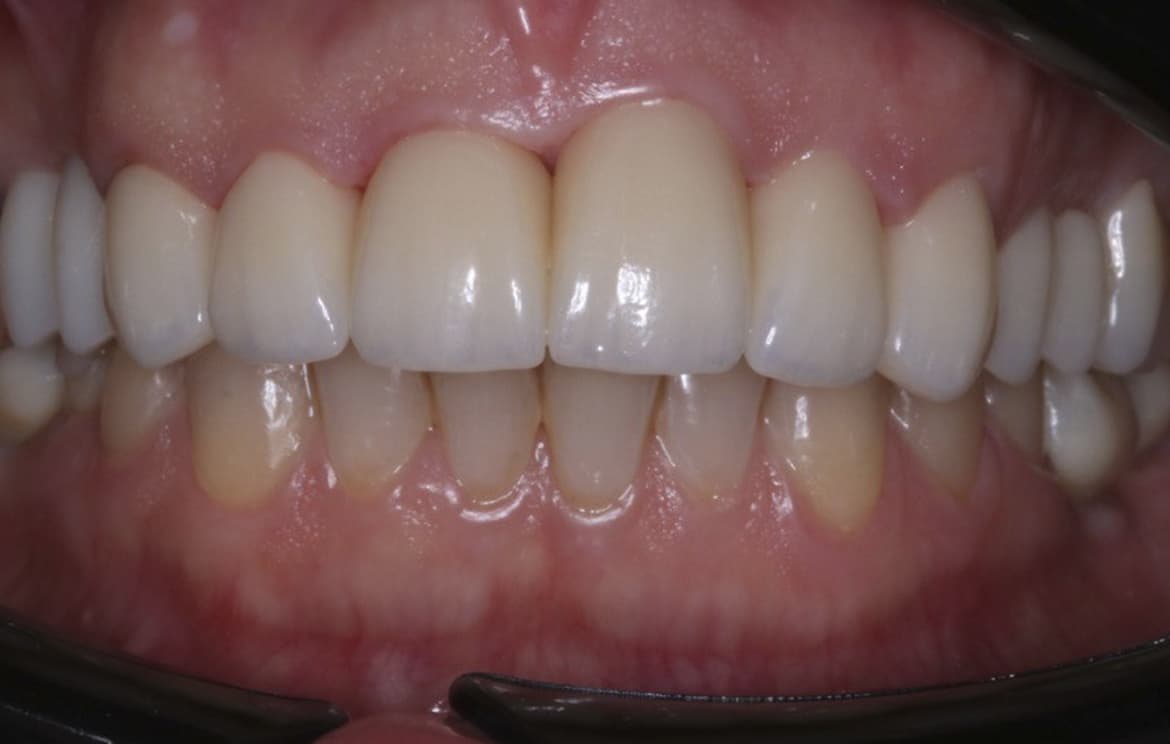
ПОСЛЕ
Восстановление улыбки: циркониевые коронки на фронтальную группу зубов
Улыбка пациента после завершённого протезирования и вид фронтальной группы зубов
Жалобы пациента
Пациент обратился с жалобами на разрушенные фронтальные зубы и эстетический дефект улыбки. Для достижения долгосрочного результата потребовался комплексный подход: терапевтическое восстановление и последующее ортопедическое протезирование.
Проведённые этапы лечения:
- 1 Терапевтическая подготовка витальных зубов 13–23 (лечение кариозных поражений)
- 2 Восстановление девитального зуба 24 с использованием стекловолоконного штифта (СВШ)
- 3 Формирование анатомической формы и подготовка зубов под коронки
- 4 Изготовление и фиксация индивидуальных коронок из диоксида циркония с нанесением керамики (оттенок А2)
Результат:
Достигаем цен, ниже на 20% чем у конкурентов!
- собственная зуботехническая лаборатория;
- работаем без посредников и накруток — закупаем материалы напрямую у производителей;
- не переплачиваем за аренду — все наши кабинеты работают с максимальной загрузкой;
- врачи заинтересованы в результате — мы не гонимся за количеством, а строим долгосрочные отношения с пациентами.
Стоимость
Имплантация
Коронки
Стоимость циркониевых коронок может варьироваться в зависимости от региона, статуса клиники и сложности случая.
В нашей клинике УлыбкаPRO проводятся акции, благодаря которым вы можете получить ортопедическое лечение по выгодной цене!
Вернём до 13% от стоимости лечения
Лечение может не только улучшить здоровье, но и вернуть часть потраченных средств!
Наша клиника имеет лицензию, которая позволяет получить налоговый вычет 13% на имплантацию, протезирование и другие виды лечения.
- Заключаем официальный договор;
- Готовим весь пакет документов;
- Предоставляем все чеки для налоговой.
Или свяжитесь с нами по телефону +7 (495) 032-10-17 ежедневно с 9:00 до 21:00.
Как проходит изготовление и установка
Процесс изготовления и установки циркониевых коронок требует точности и внимания к деталям. Сначала стоматолог проводит полную диагностику и подготовку зуба, включая препарирование зуба. Затем делается оттиск (цифровое сканирование зубов), на основе которого в зуботехнической лаборатории изготавливается коронка. После изготовления коронка примеряется, и если всё идеально, она фиксируется с использованием цемента.
Изготовление и установка циркониевых коронок — это многоэтапный процесс, требующий высокой точности и современных технологий. Циркониевые коронки, благодаря своей прочности и эстетике, стали популярным выбором для восстановления зубов. Весь процесс от первоначальной консультации до окончательной установки коронки включает в себя несколько ключевых этапов.
У нас в УлыбкаPRO работают отличные гигиенисты, которые выполнят профессиональную гигиену полости рта бережно и качественно! С их работой ваши циркониевые коронки будут служить вам намного дольше!
Каждый этап требует высокой квалификации специалистов и современного оборудования, что позволяет достичь оптимального результата и гарантировать долговечность и эстетику установленных коронок.
Советы врача: уход после протезирования и как увеличить срок службы коронок
Чтобы максимально продлить срок службы циркониевых коронок, необходимо соблюдать ряд простых правил ухода:
Соблюдение этих простых, но важных правил ухода за циркониевыми коронками позволит вам наслаждаться красивой и здоровой улыбкой долгие годы. Ваш стоматолог может предоставить дополнительные индивидуальные рекомендации, основанные на вашем здоровье.
Альтернативные варианты протезирования
К альтернативным вариантам протезирования в нашей клинике УлыбкаPRO относятся керамические коронки.
Цельнопрессованные керамические коронки изготовлены из керамической массы без использования металла. Они предлагают улучшенную эстетику благодаря индивидуализации при изготовлении.
Сложно разобраться в плане лечения? Мы всё объясним по-человечески. Менеджер клиники «УлыбкаPRO»:
- ● расскажет, за что именно вы платите, и нет ли скрытых услуг;
- ● объяснит, почему в плане лечения именно такие позиции, зачем они нужны и можно ли что-то отложить;
- ● поможет сократить расходы, разделить оплату и подобрать удобный формат лечения;
- ● ответит на любые вопросы — без медицинского жаргона.







