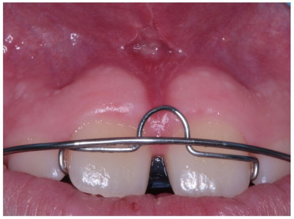
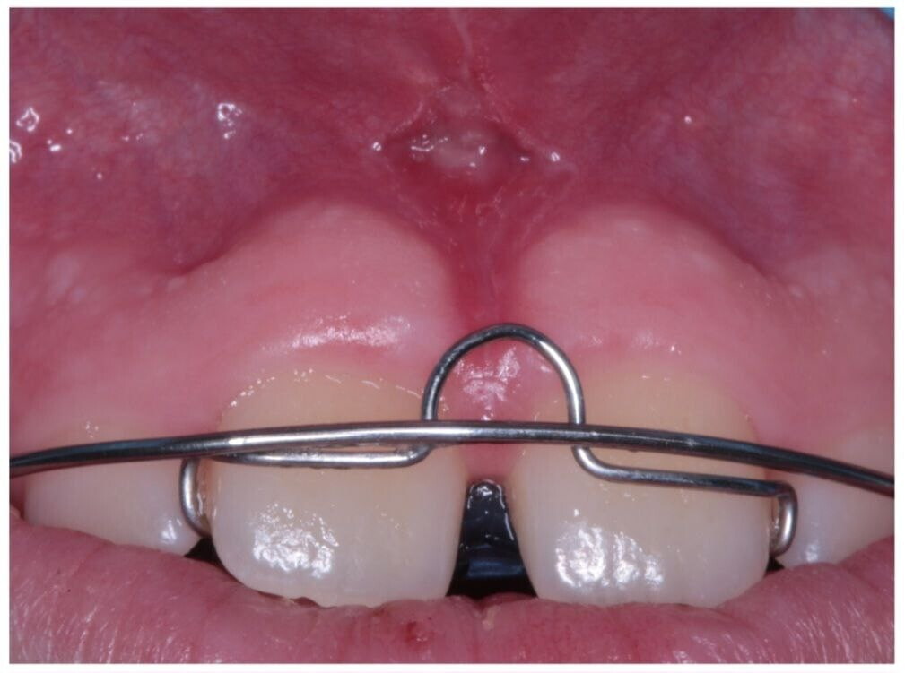
Вот на фото результат пластики уздечки верхней губы, и спустя 5 дней после операции маленькая пациентка может спокойно носить ортодонтическую пластинку.
Достигаем цен, ниже на 20% чем у конкурентов!
- собственная зуботехническая лаборатория;
- работаем без посредников и накруток — закупаем материалы напрямую у производителей;
- не переплачиваем за аренду — все наши кабинеты работают с максимальной загрузкой;
- врачи заинтересованы в результате — мы не гонимся за количеством, а строим долгосрочные отношения с пациентами.
Вернём до 13% от стоимости лечения
Лечение может не только улучшить здоровье, но и вернуть часть потраченных средств!
Наша клиника имеет лицензию, которая позволяет получить налоговый вычет 13% на имплантацию, протезирование и другие виды лечения.
- Заключаем официальный договор;
- Готовим весь пакет документов;
- Предоставляем все чеки для налоговой.
Или свяжитесь с нами по телефону +7 (495) 032-10-17 ежедневно с 9:00 до 21:00.
Сложно разобраться в плане лечения? Мы всё объясним по-человечески. Менеджер клиники «УлыбкаPRO»:
- ● расскажет, за что именно вы платите, и нет ли скрытых услуг;
- ● объяснит, почему в плане лечения именно такие позиции, зачем они нужны и можно ли что-то отложить;
- ● поможет сократить расходы, разделить оплату и подобрать удобный формат лечения;
- ● ответит на любые вопросы — без медицинского жаргона.






